Clarissa E. Jordan, MD (@pathcejmd) 's Twitter Profile
Clarissa E. Jordan, MD

@pathcejmd

Chief Resident🔜#HemePath fellow @MayoClinicPath🔬MD @bcmhouston👩🏻‍⚕️Bioinf/CS @baylorecs👩🏻‍💻 #CouplesMatch advocate💌#ASCP40UnderForty #PathTweetAward2022

ID: 1260055043950161920

linkhttps://www.pathcejmd.com/ calendar_today12-05-2020 03:51:56

1,1K Tweet

2,2K Takipçi

960 Takip Edilen

Melanie Bourgeau, MD (@melanocytemd) 's Twitter Profile Photo

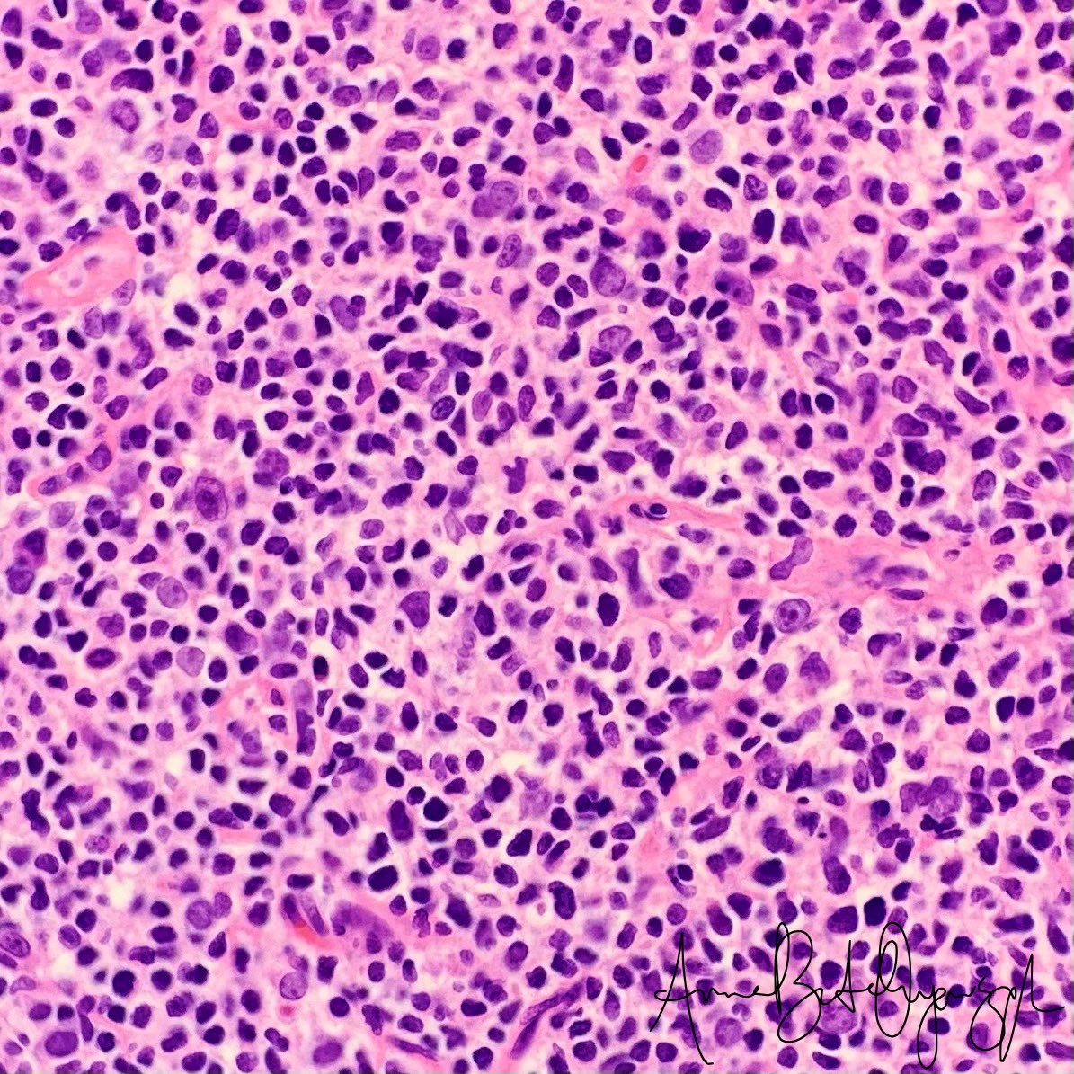
In my last video, I briefly discussed my method for approaching & describing unknowns cases... I also figured that it would make a great #pathtweetorial! 1/

In my last video, I briefly discussed my method for approaching & describing unknowns cases...

I also figured that it would make a great #pathtweetorial!

1/
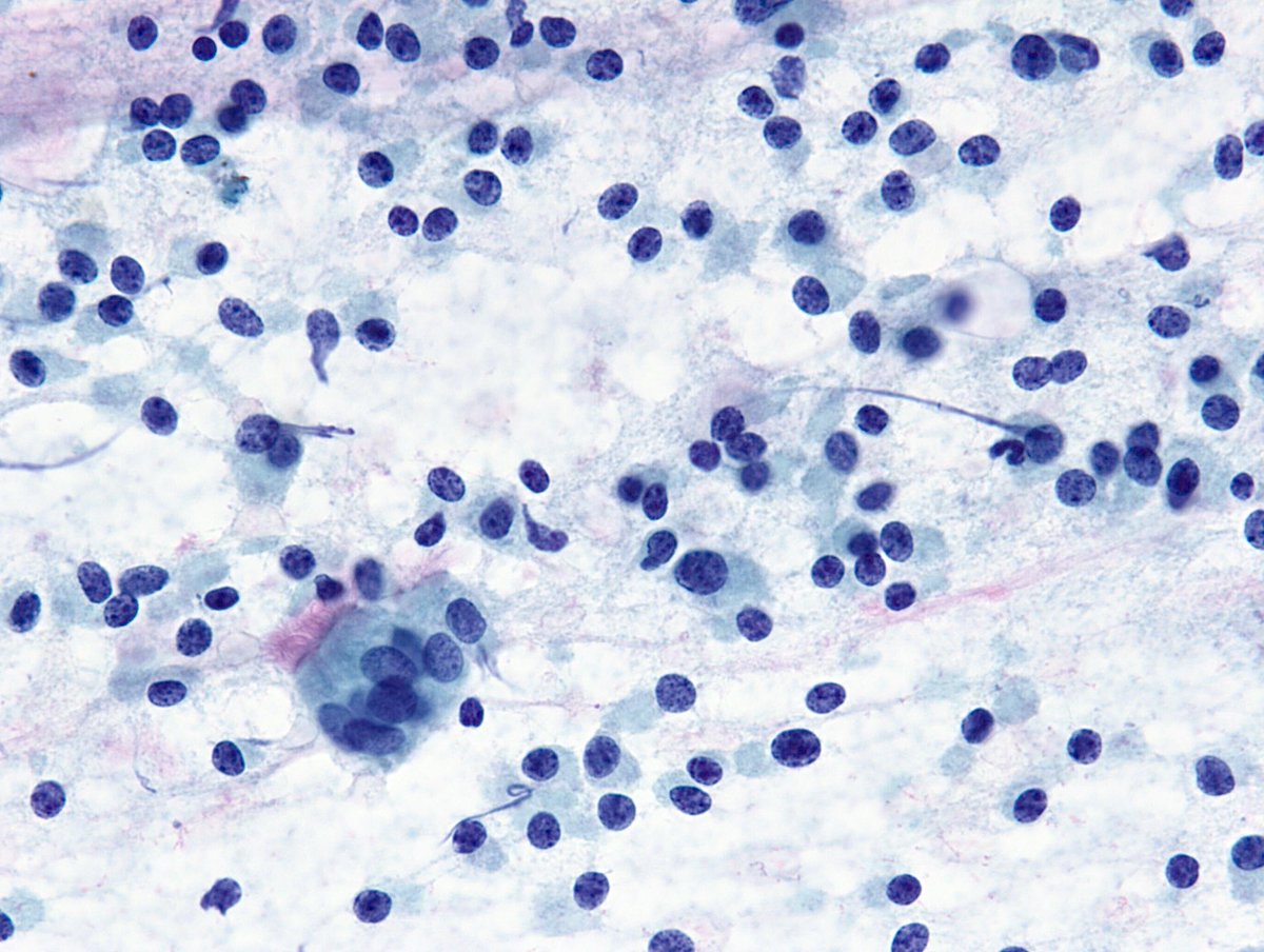
Syed Z. Ali (@sza_jhcyto) 's Twitter Profile Photo

SLAM DUNK dx of “Carcinoid Tumor” on Bronchial Brushing. Diagnosis is easy when you have an in-field comparison with benign bronchial epithelium. Just a gorgeous example.

SLAM DUNK dx of “Carcinoid Tumor” on Bronchial Brushing. Diagnosis is easy when you have an in-field comparison with benign bronchial epithelium. Just a gorgeous example.
Mayo Clinic Pathology (@mayoclinicpath) 's Twitter Profile Photo

Struggling to decide where you should apply for your pathology residency?! Let us help! The Mayo path residency has AP/CP, AP/NP, and research tracks, and we want to tell you all about them! Sign up here for one of our Virtual Open House dates (8/17, 8/27) forms.gle/J8znc6dN3BwRNT…

Mayo Clinic Pathology (@mayoclinicpath) 's Twitter Profile Photo

On Friday, we said goodbye to our program director, Dr. Chuck Sturgis. He has done incredible things with our program and made us all better pathologists. We wish him the best in all his future endeavors! 🥹❤️

On Friday, we said goodbye to our program director, Dr. Chuck Sturgis. He has done incredible things with our program and made us all better pathologists. We wish him the best in all his future endeavors! 🥹❤️
Mayo Clinic Labs (@mayocliniclabs) 's Twitter Profile Photo

Looking to enhance your #pathology knowledge? Clarissa E. Jordan, MD, chief resident in anatomic and clinical pathology for the Department of Laboratory Medicine and Pathology at Mayo Clinic, shares online resources in this episode of "Lab Medicine Rounds." bit.ly/3PcCyOL

Justin Kreuter, MD (@kreutermd) 's Twitter Profile Photo

Thank you so much for this shoutout, Joe Chaffin, MD! I am so proud of our learning community at Mayo Clinic— in addition to our diverse team with deep expertise, we have a 6 person education resource team specifically dedicated to facilitating learning 😊🙌 #AABB23

Clarissa E. Jordan, MD (@pathcejmd) 's Twitter Profile Photo

Truly an honor to serve as a chief resident Mayo Clinic Pathology w/ @pathophil 🎉 Faculty and staff: thank you for all the support & guidance this year! Fellow residents: thank you for the trust you placed in us with this role 🥰 You have all made this experience truly remarkable!

Mayo Clinic Pathology (@mayoclinicpath) 's Twitter Profile Photo

Congratulations to our new chief residents, Dr. Rosalie Sterner and Dr. Aswath Padmanabhan Chandrasekar! Looking forward to a successful year of training under your leadership. 🎉🎉 #ChiefResidents cc Yi Zhu, MD PhD Saadiya Nazli, MD, BSc, QIA(ASCP) @pathophil Clarissa E. Jordan, MD Chuan Chen, MD PhD

Congratulations to our new chief residents, Dr. Rosalie Sterner and Dr. Aswath Padmanabhan Chandrasekar! Looking forward to a successful year of training under your leadership. 🎉🎉 #ChiefResidents cc <a href="/doctorYiZhu/">Yi Zhu, MD PhD</a> <a href="/docsaadiya/">Saadiya Nazli, MD, BSc, QIA(ASCP)</a> @pathophil <a href="/pathcejmd/">Clarissa E. Jordan, MD</a> <a href="/DrChuanChen/">Chuan Chen, MD PhD</a>
SocforHemepath (@socforhemepath) 's Twitter Profile Photo

EA4HP (European Association for Haematopathology) is calling for applications for the 2024 David Y. Mason Award, which serves to foster interest of young #hemepath researchers. The awardee will be announced at the September 2024 EA4HP meeting in Croatia. Please see link for info: …-association-for-haematopathology.org/david-y-mason-…

EA4HP (<a href="/haematopath/">European Association for Haematopathology</a>) is calling for applications for the 2024 David Y. Mason Award, which serves to foster interest of young #hemepath researchers. The awardee will be announced at the September 2024 EA4HP meeting in Croatia. Please see link for info: …-association-for-haematopathology.org/david-y-mason-…
SocforHemepath (@socforhemepath) 's Twitter Profile Photo

Mark your calendars for the 2025 Tutorial on Neoplastic Hematopathology (1/20-1/24) in Phoenix, AZ. Don't miss this opportunity to learn from top #hemepath experts & earn up to 33.75 CME credits! Note: Trainees get a registration discount! See info: cme.uchicago.edu/TNH2025

Mark your calendars for the 2025 Tutorial on Neoplastic Hematopathology (1/20-1/24) in Phoenix, AZ. Don't miss this opportunity to learn from top #hemepath experts &amp; earn up to 33.75 CME credits!

Note: Trainees get a registration discount!

See info: cme.uchicago.edu/TNH2025
SocforHemepath (@socforhemepath) 's Twitter Profile Photo

🎉Congratulations to all the newly-matched future #HemePath fellows! To view your result, log in to the NRMP website: nrmp.org/fellowship-app…. Share where you matched with #HemePathMatch26 #FellowMatch ! For more information check out SH’s webpage: society-for-hematopathology.org/web/education-…

🎉Congratulations to all the newly-matched future #HemePath fellows! To view your result, log in to the NRMP website: nrmp.org/fellowship-app….
Share where you matched with #HemePathMatch26 #FellowMatch ! 
For more information check out SH’s webpage: society-for-hematopathology.org/web/education-…