Natalia Rodríguez Otero
@nataliarot
ID: 229221481
21-12-2010 21:08:22
216 Tweet
99 Followers
173 Following
En el día que ha acabado #seaic2021 me siento afortunado de compartir uno de los posters que hemos traído al congreso, gracias a la Dra. Natalia Rodríguez, Elena Granados, Cristiana Solorzano, María Blázquez ن, Dra.Berges y Belen de la Hoz
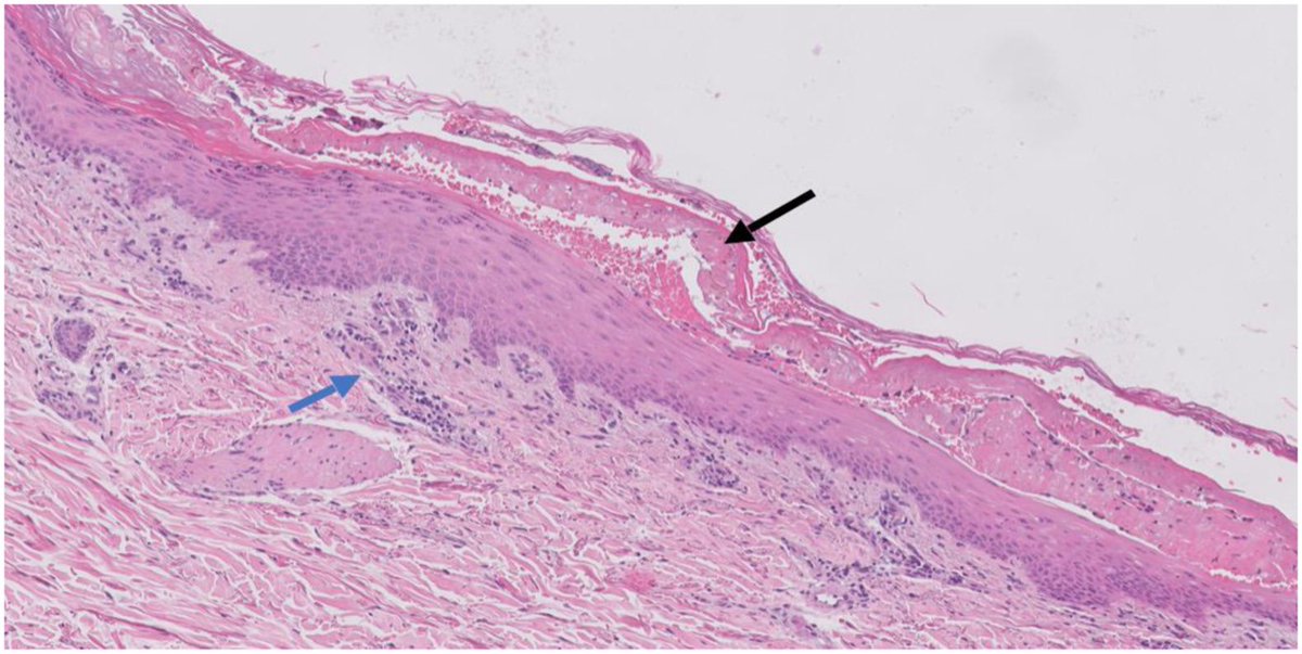
Check our last paper published in JACI In Practice, Nivolumab-induced Stevens-Jonhson syndrome: 🎯PD-1 inhibition? 🤧Type IV hipersensitivity reaction? 🌪️ The perfect storm 🌩️ Jesús Chamorro Natalia Rodríguez Otero Emilio Solano Solares
Great opinion piece by Leopoldo López about how #Venezuela has become a failed state. nyti.ms/1ixeSyI #SOSVzla