Dr.Mohammed Alsalem (@mo0on2323) 's Twitter Profile
Dr.Mohammed Alsalem

@mo0on2323

البورد السعودي في إصلاح وتجميل الاسنان ، Saudi board certified in Restorative Dentistry

ID: 1527804962

calendar_today18-06-2013 13:35:20

1,1K Tweet

823 Takipçi

803 Takip Edilen

Dr.Mohammed Alsalem (@mo0on2323) 's Twitter Profile Photo

يا ضمير ٍفيك من جاير الفرقى رسوم وبينك وبين الشقا مابقى الا فاصله ! دام ترهقك الطواري وتسهر كل يوم لو تدوّر ( راحة البال ) ماهي بـ حاصله ادري انك صاير ٍماش وعلومك علوم والحزن له مدّه ( يواصلك وتواصله ) ومبطي من السجّه اللي تنسيك الهموم والمزاج الزين ( والنومه المتواصله )

د. هادي الفهادي (@hadialfahadi) 's Twitter Profile Photo

حصلت و لله الحمد والشكر على شهادة البورد السعودي في علاج جذور و عصب الأسنان

حصلت و لله الحمد والشكر على شهادة البورد السعودي في علاج جذور و عصب الأسنان
Dr.Mohammed Alsalem (@mo0on2323) 's Twitter Profile Photo

اللهم لك الحمد والشكر تم بحمد الله اجتيازي للاختبار الكتابي للبورد السعودي في اصلاح وتجميل الاسنان

اللهم لك الحمد والشكر تم بحمد الله اجتيازي للاختبار الكتابي للبورد السعودي في اصلاح وتجميل الاسنان
Dr.Mohammed Alsalem (@mo0on2323) 's Twitter Profile Photo

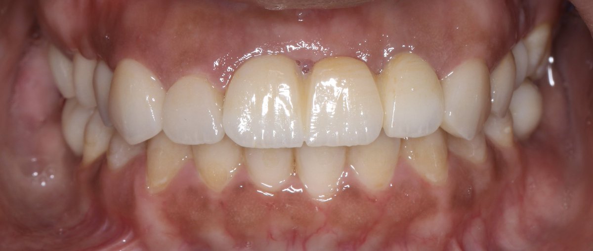
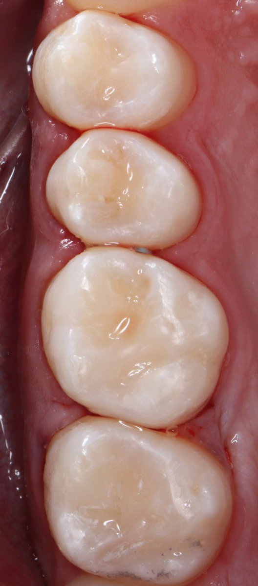
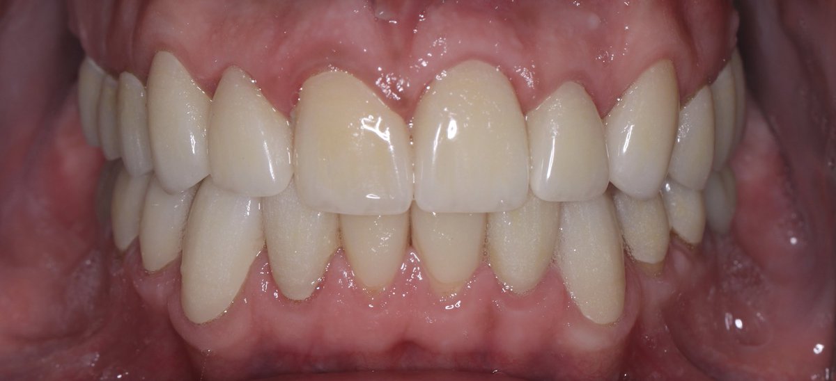
اللهم لك الحمد تم حصولي على البورد والزمالة السعودية في تخصص اصلاح وتجميل الاسنان 🌷

اللهم لك الحمد تم حصولي على البورد والزمالة السعودية في تخصص اصلاح وتجميل الاسنان 🌷
Dr.Mohammed Alsalem (@mo0on2323) 's Twitter Profile Photo

غفلنا وانشغلنا بالزمن ياربنا رحماااك ورجعنا خاشعين ولا معانا إلا هقاوينا وقفنا عند بابك مالنا مطلوب غير رضاك معاصينا كبار وعفوك أكبر من معاصينا