Maria Maslyanko, MD, MHSA (@mmaslyanko) 's Twitter Profile
Maria Maslyanko, MD, MHSA

@mmaslyanko

Pathology resident at Houston Methodist. EVMS MD23. DnD enthusiast; servant of my cat Marx and dog Lily .

ID: 773452128438411264

calendar_today07-09-2016 09:25:32

1,1K Tweet

848 Takipçi

1,1K Takip Edilen

Ziad El-Zaatari (@ziad_zaatari) 's Twitter Profile Photo

Membranous Nephropathy and Crescent in the same glomerulus (Jones silver stain), in a patient with Lupus ISN/RPS classes III + V. #renalpath #nephrology #kidney #pathology

Membranous Nephropathy and Crescent in the same glomerulus (Jones silver stain), in a patient with Lupus ISN/RPS classes III + V. #renalpath #nephrology #kidney #pathology
Democratic Wins Media (@democraticwins) 's Twitter Profile Photo

BREAKING: In a stunning announcement, Vice President Harris announces that medical debt can no longer be used to help determine your credit score. This is a big deal. Retweet so all Americans hear this incredible news.

Occupy Democrats (@occupydemocrats) 's Twitter Profile Photo

BREAKING: Donald Trump gets devastating news as it's revealed that the New Jersey attorney general's office is considering stripping away the liquor licenses for three of his golf courses because he's a convicted felon. And it gets even better... A spokeswoman for the New

BREAKING: Donald Trump gets devastating news as it's revealed that the New Jersey attorney general's office is considering stripping away the liquor licenses for three of his golf courses because he's a convicted felon.

And it gets even better...

A spokeswoman for the New
Democratic Wins Media (@democraticwins) 's Twitter Profile Photo

BREAKING: New polling shows President Biden is more likely than Donald Trump to win Michigan, Pennsylvania, and Wisconsin. This would secure President Biden’s reelection.

Ziad El-Zaatari (@ziad_zaatari) 's Twitter Profile Photo

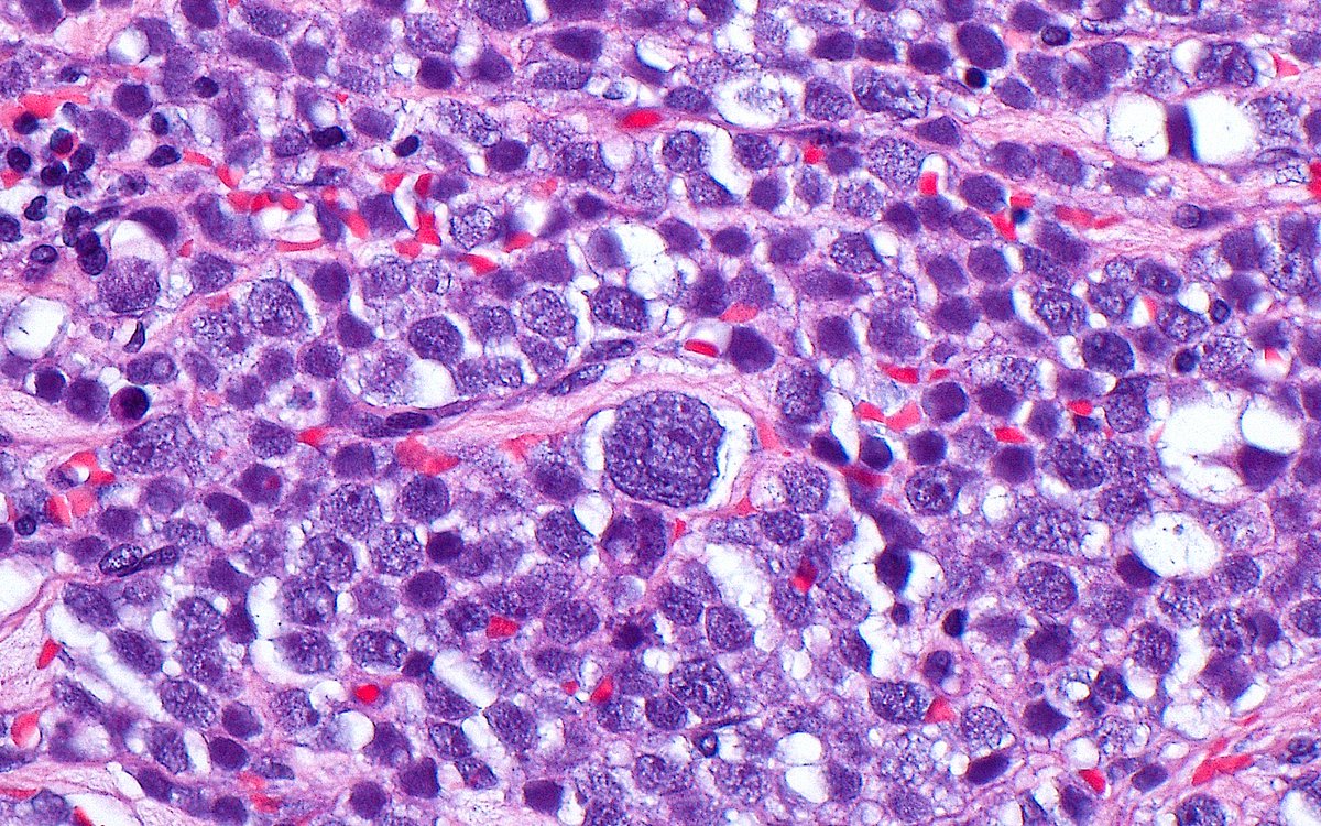
Spermatocytic Tumor ~ 🔬 #GUpath Remember 3 cell populations and sizes ◾️⬛️▪️ ➡️ Giant cells (like the big one in the middle of picture!) ➡️ Small cells (fewer, smallest, dense chromatin look like lymphocytes!) ➡️ Intermediate cells (the rest, most of the cells in the picture)

Spermatocytic Tumor ~ 🔬 #GUpath 
Remember 3 cell populations and sizes ◾️⬛️▪️ 
➡️ Giant cells (like the big one in the middle of picture!)
➡️ Small cells (fewer, smallest, dense chromatin look like lymphocytes!) 
➡️ Intermediate cells (the rest, most of the cells in the picture)
Barack Obama (@barackobama) 's Twitter Profile Photo

Bad debate nights happen. Trust me, I know. But this election is still a choice between someone who has fought for ordinary folks his entire life and someone who only cares about himself. Between someone who tells the truth; who knows right from wrong and will give it to the

KPRC 2 Houston (@kprc2) 's Twitter Profile Photo

CenterPoint Energy: 1 million customers should have power restored by end of day Wednesday click2houston.com/news/local/202…

BBQ Bryan (@bbqbryan) 's Twitter Profile Photo

The Whataburger app works as a power outage tracker, handy since the electric company doesn't show a map. Still nearly 1.9 million power outages.

The Whataburger app works as a power outage tracker, handy since the electric company doesn't show a map.
Still nearly 1.9 million power outages.
A_Blackheart (@_a_blackheart) 's Twitter Profile Photo

CenterPoint Energy People are confirming in Katy and near Willowbrook y’all chilling until 9 am in parking lots and wont pay OT after 8 pm while people are suffering in TX heat running out of gas for generators as their food rots. Who’s the real killer here? Heat advisory of 105 today.

Chris D. Jackson (@chrisdjackson) 's Twitter Profile Photo

🚨UPDATE: President Biden just released the following statement: “I look forward to getting back on the campaign trail next week to continue exposing the threat of Donald Trump’s Project 2025 agenda while making the case for my own record and the vision that I have for America:

🚨UPDATE: President Biden just released the following statement:

“I look forward to getting back on the campaign trail next week to continue exposing the threat of Donald Trump’s Project 2025 agenda while making the case for my own record and the vision that I have for America:
Democratic Wins Media (@democraticwins) 's Twitter Profile Photo

BREAKING: In a shocking leak, JD Vance calls women who cannot biologically have children miserable people. Retweet to make sure every American sees this and knows how vile Vance is.

Maria Maslyanko, MD, MHSA (@mmaslyanko) 's Twitter Profile Photo

Guys I am trying to help this stray cat who was hit by a car . My friend started a fundraiser . Surgery is on Thursday . Please consider throwing in a few dollars ! gofund.me/b72fe6577