Camila Escobar (@milafees) 's Twitter Profile
Camila Escobar

@milafees

26 años, triple capri, intento politólogo

ID: 107533098

calendar_today22-01-2010 22:03:46

16,16K Tweet

317 Followers

313 Following

MonedadeCobre (@monedadecobre) 's Twitter Profile Photo

El año 1974 aprox, mi Mamá parió a dos mellizos que ella vió vivos y le dijeron que nacieron muertos y nada se pudo hacer, nunca le mostraron los cuerpos, no tomaron en cuenta sus reclamos y para afuera, los milicos armados por todas partes, se terminó conformando.

Sebastián_nickname  (@sebast_nickname) 's Twitter Profile Photo

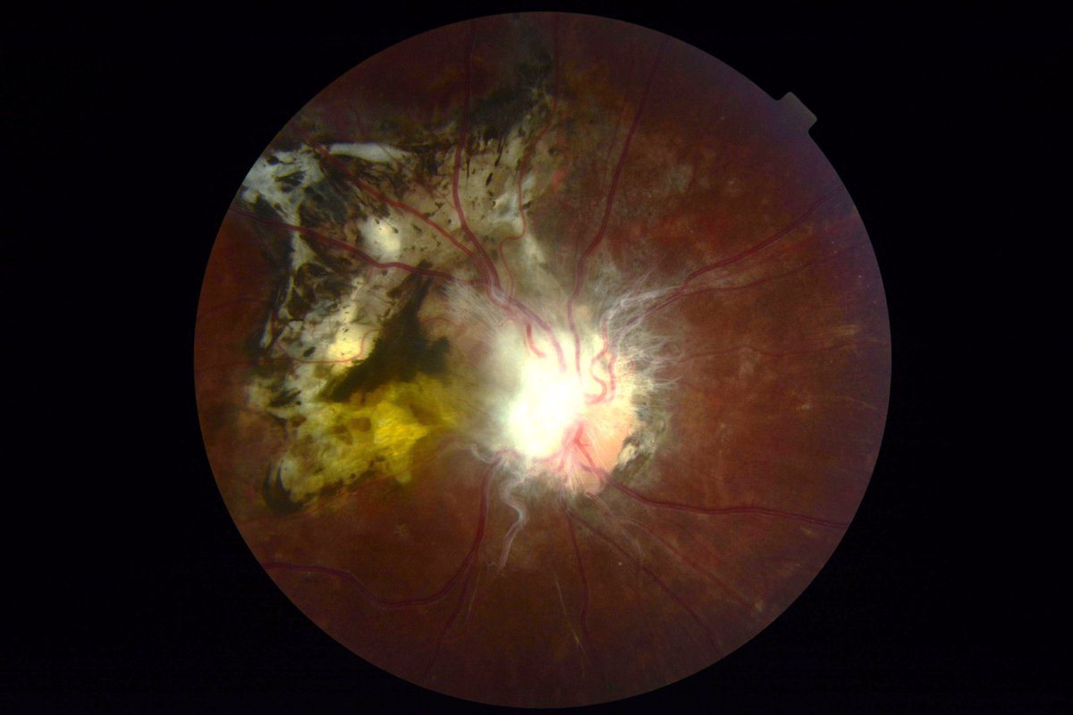
Me tocó un caso de una pcte de 18 años, sexo femenino, que acudió a la consulta por lentes, se le hizo la refracción y decía que desde que nació nunca veía por su ojo derecho así que la pasaron al otro box para hacerle un fondo de ojo y vaya sorpresa cuando le tome la foto 🙃

Me tocó un caso de una pcte de 18 años, sexo femenino, que acudió a la consulta por lentes,  se le hizo la refracción y decía que desde que nació nunca veía por su ojo derecho así que la pasaron al otro box para hacerle un fondo de ojo y vaya sorpresa cuando le tome la foto 🙃
Lántiān🦋💙🪷 (@ruciahipatia) 's Twitter Profile Photo

En el canal 13 están mostrando Una TENS que robaba y traficaba fentanilo, que pena que ya están traficando la droga zombie en Chile, desaparecen las ampollas y a los pacientes terminales le inyectan paracetamol o quizás que cosa😤

En el canal 13 están mostrando Una TENS que robaba y traficaba fentanilo, que pena que ya están traficando la droga zombie en Chile, desaparecen las ampollas y a los pacientes terminales le inyectan paracetamol o quizás que cosa😤
T13 (@t13) 's Twitter Profile Photo

Condenan a papá por violar a su hija en Algarrobo: mamá disparó al sujeto tras enterarse y ahora está en la cárcel t13.cl/592352-tw

Bot Checker 🤖 (@botcheckercl) 's Twitter Profile Photo

El alza en las tarifas eléctricas es más complejo aún de lo que te han contado. - Incluye la instalación de medidores inteligentes en todo el país - En pocos años las cuentas subirán mas de un 160%, es decir si hoy pagas $50.000, terminarás pagando $130.000. Mas detalles:

El alza en las tarifas eléctricas es más complejo aún de lo que te han contado.
 
- Incluye la instalación de medidores inteligentes en todo el país
- En pocos años las cuentas subirán mas de un 160%, es decir si hoy pagas $50.000, terminarás pagando $130.000. 

Mas detalles:
Bot Checker 🤖 (@botcheckercl) 's Twitter Profile Photo

🔴ÚLTIMA HORA | Nicolás Maduro bombardea el sur de Venezuela dejando 186.000 muertos, la mitad de las víctimas son niños. Ah no, era Netanyahu en Palestina, pero ahí la gente no se indigna tanto y lo que es peor, hasta apoya al genocida.