AlAli Meshari , MD د.مشاري العلي (@mesharyalali) 's Twitter Profile
AlAli Meshari , MD د.مشاري العلي

@mesharyalali

Assistant professor/Neuro and body intervention Radiologist Consultant at @ksmcmedia @umajmaah اكاديمي، واستشاري الأشعة التداخلية العصبية والطرفية

ID: 440589129

calendar_today19-12-2011 05:32:47

265 Tweet

1,1K Followers

462 Following

AlAli Meshari , MD د.مشاري العلي (@mesharyalali) 's Twitter Profile Photo

كلي سعادة وفخر بحمدلله لحصول كلية الطب على الاعتماد البرامجي الوطني من هيئة تقويم والتدريبب وهذا ينعكس على تميز الكلية ومخرجاتها كلية الطب #جامعة_المجمعة

كلي سعادة وفخر بحمدلله
لحصول كلية الطب على الاعتماد البرامجي الوطني من هيئة تقويم والتدريبب

وهذا ينعكس على تميز الكلية ومخرجاتها

<a href="/Medicine_MU/">كلية الطب</a> 
#جامعة_المجمعة
AlAli Meshari , MD د.مشاري العلي (@mesharyalali) 's Twitter Profile Photo

حالة من أصعب الحالات التي أجريتها لمسن ثمانيني يعاني من جلطة حادة أدت إلى شلل حاد في الجهة اليمنى من الجسم مع صعوبة في الإدراك والتحدث. القسطرة أكدت وجود تسلخ حاد في الشريان السباتي الأيسر وبحمد اللّٰه تم سحب الجلطات وإعادة التروية. بفضل اللّٰه المريض أصبح قادرًا على التحدث

حالة من أصعب الحالات التي أجريتها
لمسن ثمانيني يعاني من جلطة حادة أدت إلى شلل حاد في الجهة اليمنى من الجسم مع صعوبة في الإدراك والتحدث.
القسطرة أكدت وجود تسلخ حاد في الشريان السباتي الأيسر وبحمد اللّٰه تم سحب الجلطات وإعادة التروية.
بفضل اللّٰه المريض أصبح قادرًا على التحدث
AlAli Meshari , MD د.مشاري العلي (@mesharyalali) 's Twitter Profile Photo

سعيد بتواجدي بالأمس كمقيم لأطباء الزمالة الدقيقة في الأشعة التشخيصية العصبية والمقام في مدينة جدة، برفقة نخبة من الزملاء . أسأل الله التوفيق لجميع الأطباء .

سعيد بتواجدي بالأمس كمقيم لأطباء الزمالة الدقيقة في الأشعة التشخيصية العصبية والمقام في مدينة جدة، برفقة نخبة من الزملاء .
أسأل الله التوفيق لجميع الأطباء .
AlAli Meshari , MD د.مشاري العلي (@mesharyalali) 's Twitter Profile Photo

سعيد جدا بمشاركتي في المؤتمر السعودي الأكبر للأشعة التداخلية كمتحدث ومحاور لعدة محاضرات علمية .. الشكر موصول لكل المسؤولين من الزملاء على هذا الانجاز والتنظيم الرائع.. #SIRS_2025

سعيد جدا بمشاركتي في المؤتمر السعودي الأكبر للأشعة التداخلية كمتحدث ومحاور لعدة محاضرات علمية ..
الشكر موصول لكل المسؤولين من الزملاء على هذا الانجاز والتنظيم الرائع..

#SIRS_2025
AlAli Meshari , MD د.مشاري العلي (@mesharyalali) 's Twitter Profile Photo

عِشْ ما بَدَا لكَ سالماً، في ظِلّ شاهقَة ِ القُصورِ يسْعَى عليكَ بِمَا اشتهيْتَ لدَى الرَّوَاح أوِ البُكُورِ فإذا النّفوسُ تَقعَقَعَتْ، في ظلّ حَشرجَة ِ الصّدورِ فَهُناكَ تَعلَم، مُوقِناً، مَا كُنْتَ إلاَّ فِي غُرُورِ ابوالعتاهية

AlAli Meshari , MD د.مشاري العلي (@mesharyalali) 's Twitter Profile Photo

حقيقة.. كثرة حالات الجلطات الدماغية برمضان غالبا ماتكون قبل أذان المغرب ، قد يكون أحد أسبابها الجفاف ؟ لذلك وقت الإفطار حتى السحور خذ مايكفيك من السوائل،أما وقت الصيام اعمل لكن بدون إجهاد لجسمك.. أسأل الله العافية للجميع . فالوقاية خير من العلاج

AlAli Meshari , MD د.مشاري العلي (@mesharyalali) 's Twitter Profile Photo

On maximum medical therapy for 2 years Although, Last week developed multiple posterior fossa infarction.(as patient was dependent on diseased RT) Chose LT which was near occlusion of V1/V2 total occlusion of V4, successful stenting using multiple Coronary DES

On maximum medical therapy for 2 years
Although,
Last week developed multiple posterior fossa infarction.(as patient was dependent on diseased RT) 
Chose LT which was near occlusion of V1/V2 total occlusion of V4, successful stenting using multiple Coronary DES
Abdulrahman Hamad Al-Abdulwahhab (@da7om206) 's Twitter Profile Photo

High-grade, concentric calcified internal carotid artery stenosis successfully managed with carotid artery baloon angioplasty wiyh stenting through transradial approach. Despite complex plaque morphology, optimal luminal restoration achieved.#Neurointervention #StrokePrevention

High-grade, concentric calcified internal carotid artery stenosis successfully managed with carotid artery  baloon angioplasty wiyh stenting through transradial approach.
Despite complex plaque morphology, optimal luminal restoration achieved.#Neurointervention #StrokePrevention
AlAli Meshari , MD د.مشاري العلي (@mesharyalali) 's Twitter Profile Photo

Young patient with Large complex facial AVM , complaining of tinnitus On examination feel the thrill on Rt cheek DSA showed large fistula component with large indranidal aneurysm via facial artery -superior thyroid and lingual contributing more into nidus. - Decision was made

AlAli Meshari , MD د.مشاري العلي (@mesharyalali) 's Twitter Profile Photo

Interested case, middle age patient presented with LT exophthalmos With past hx of trauma , DSA showed Type D(barrow classification )CCF, via RT inferior petrosal embo was done using Coil does the job 👌

Interested case, middle age patient presented with LT exophthalmos
With past hx of trauma , DSA showed 
Type D(barrow classification )CCF, 
via RT inferior petrosal embo was done using Coil does the job 👌
AlAli Meshari , MD د.مشاري العلي (@mesharyalali) 's Twitter Profile Photo

What a beautiful and eventful week, at مدينة الملك سعود الطبية the variety and number of cases was amazing , as well as the wonderful outcomes Al hamdullah.. DSA… AVM(ruptured) CCF(past hx of trauma neglected) VOG(preterm) Aneurysm(dissecting ruptured)

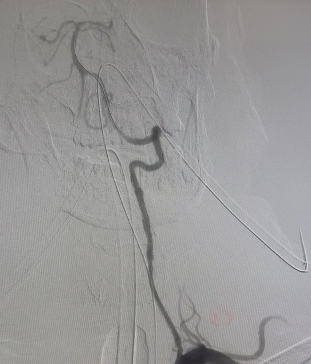
AlAli Meshari , MD د.مشاري العلي (@mesharyalali) 's Twitter Profile Photo

Successful carotid artery stenting in near total occlusion symptomatic stenosis case. 🧠 Timely intervention is key to stroke prevention. #Neurointervention #StrokePrevention #CarotidStenting #Endovascular

Successful carotid artery stenting in near total occlusion symptomatic stenosis case.
🧠 Timely intervention is key to stroke prevention.
#Neurointervention #StrokePrevention #CarotidStenting #Endovascular