الباطنية مع حسين (@med_hus) 's Twitter Profile
الباطنية مع حسين

@med_hus

ID: 1842875182731464704

calendar_today06-10-2024 10:31:45

11 Tweet

9 Takipçi

51 Takip Edilen

الباطنية مع حسين (@med_hus) 's Twitter Profile Photo

اجاك المريض وقالوا طلع من حادث اصطدام على خط سريع شو اول شي تفكر فيه بعد ما تشوف ال x ray؟

اجاك المريض وقالوا طلع من حادث اصطدام على خط سريع شو اول شي تفكر فيه بعد ما تشوف ال x ray؟
Hussein Alfakeer (@hus_im1) 's Twitter Profile Photo

ريان | MD1TALK🌟 رح تنزل ال preload وال afterload بس لل Left ventricle! بسبب ارتفاع ال intrathoracic pressure هاد يخفف ال Right ventricular preload ويرفع ال RV afterload وهالشي يخفف ال LV preload. وبنفس الوقت ارتفاع ال intrathoracic pressure رح ينزل ال MAP الي يخفف ال LV afterload. وسلامتكم ☺️

الباطنية مع حسين (@med_hus) 's Twitter Profile Photo

اجاك مريض عنده كحه أكثر من 3 اسابيع وما عنده حرارة وولا شي وما يستخدم علاجات. شو الأمراض الي تفكر فيها وشو التحاليل والخطوات التالية؟ chronic cough for more than 3 weeks no other chronic disease, what's your next step and your differential diagnosis?

الباطنية مع حسين (@med_hus) 's Twitter Profile Photo

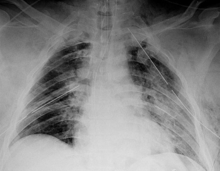
اجاك المريض عنده wheezing ولكن unilateral وعنده كمان hyperlucency مع ضيق بالتنفس وعنده هيك X-ray شو اول شي تفكر فيه؟ وكيف تعالجه؟

اجاك المريض عنده wheezing ولكن unilateral وعنده كمان hyperlucency مع ضيق بالتنفس وعنده هيك X-ray شو اول شي تفكر فيه؟
وكيف تعالجه؟
الباطنية مع حسين (@med_hus) 's Twitter Profile Photo

اجاك مريض كبير بالعمر يدخن وعنده وضيق نفس وهيك ال ECG تبعه شو اول شي ييجي بعقلك وشو اول خطوة بتاخذها بعد هيك؟ الصعوبة: متوسطة

اجاك مريض كبير بالعمر يدخن وعنده وضيق نفس وهيك ال ECG تبعه
شو اول شي ييجي بعقلك وشو اول خطوة بتاخذها بعد هيك؟
الصعوبة: متوسطة
dima (@d_maqableh) 's Twitter Profile Photo

١-مافي حياة بدون صلاة و البعد عن ربنا اكبر ذنب بترتكبه بحق حالك 2-don’t put ppl in a higher place than they put u , don’t give too much and don’t be always available. 3-stop looking behind if you’re willing to move forward ٤- مَن عتب على الدهر طالت مَعتَبته