
Maxwell Cretcher
@mcretcher
Vascular & Interventional Radiologist | BAMC IR | @dotter_IR | @OHSURadiology
ID: 1190864431825055749
03-11-2019 05:33:10
17 Tweet
72 Followers
95 Following

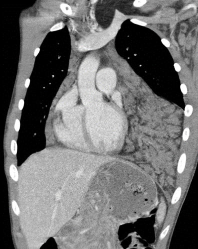
56 year-old man with sudden onset chest pain & shortness of breath… presented by Drs. Maxwell Cretcher, Gurion Lantz, and Dr. Cristina Fuss from @OHSUsurgery & OHSU Radiology. thoracicrad.org/assets/index/2…

New post on jviraccess.org by Ningcheng (Peter) Li, MD from The Dotter Institute on MR guided transurethral US ablation of localized #prostatecancer. A safe and effective treatment? SIR RFS SIR ECS Ziv J Haskal MD

Oregon coast. This photo speaks for itself. #radres #radtwitter #futureradres OHSU Radiology OHSU Radiology Chiefs ow.ly/Ms1V30r3mMb


Perfect Oregon summer day at Cascade Head. #radres #radtwitter #futureradres OHSU Radiology OHSU Radiology Chiefs ow.ly/gVOd30r3mMd


OHSU radiology residents and family love hiking! #radres #radtwitter #futureradres OHSU Radiology OHSU Radiology Chiefs ow.ly/H0BX30r3mMe

September 2020 Thoracic Case of the Month: Asymptomatic 15-year-old boy presented for evaluation of a thoracic finding on prior scoliosis radiograph. History of nevus lipomatosis… presented by Drs. Neel Patel & Katharine Hopkins from OHSU Radiology. thoracicrad.org/assets/index/2…


Check out the latest on jviraccess.org by Maxwell Cretcher from The Dotter Institute on the alphapump system. Could your patients benefit from this new technology? Ziv J Haskal MD SIR RFS SIR ECS



Check out the birthplace of #IRad. The Dotter Institute for New Ventures! Cook Vascular Tia Bochnakova Ryan Schenning, MD OHSU Radiology OHSU Radiology Chiefs

New post on jviraccess.org by Maxwell Cretcher from The Dotter Institute on same day holmium-166 simulation and treatment of hepatic mets. A new paradigm for treating mets? SIR RFS SIR ECS Ziv J Haskal MD Riad Salem


Charles Dotter performed the first ever angioplasty on this day in 1964 #WithoutAScalpelDay #IRad #IR The Dotter Institute UK IR UK HealthCare


So very excited for our newest OHSU Radiology and The Dotter Institute residents! Can’t wait! 🎉


We cannot WAIT to meet our newly matched radiology fam! Welcome to the PNW! 🎉🍾🏔#MatchDay2022 Future Radiology Residents OHSU Radiology The Dotter Institute


Congratulations to our newly match #IRAD IR-Integrated residents!! Welcome to OHSU and the Dotter! Tia Bochnakova The Dotter Institute OHSU Radiology OHSU Radiology Chiefs SIR RFS



Congratulations to our newly matched radiology fam! Welcome to Portland! 🙌🎉 #MatchDay2023 Future Radiology Residents The Dotter Institute


It is my distinct pleasure to say CONGRATS to our newly matched #irad IR-Integrated residents, Jabre Millon and Spencer Cushen!! Welcome to OHSU and the Dotter! Tia Bochnakova The Dotter Institute OHSU Radiology OHSU Radiology Chiefs SIR RFS APDIR
