McKey Lab (@mckey_lab) 's Twitter Profile
McKey Lab

@mckey_lab

Our team studies perinatal determinants of female fertility with a focus on the relationship between establishment of ovarian architecture and function.

ID: 1719458393155371008

calendar_today31-10-2023 20:57:07

13 Tweet

50 Followers

105 Following

McKey Lab (@mckey_lab) 's Twitter Profile Photo

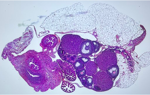
Meet Jaelyn, a summer intern in the McKey Lab. She grew up in CO & is currently an undergrad @ Emory. This summer she learned essential lab techniques, including manual oocytes counts & worked on imaging the ovary & rete ovarii. Check out her H&E staining! WE WILL MISS YOU!

Meet Jaelyn, a summer intern in the McKey Lab. She grew up in CO & is currently an undergrad @ Emory.
This summer she learned essential lab techniques, including manual oocytes counts & worked on imaging  the ovary & rete ovarii. Check out her  H&E staining! WE WILL MISS YOU!
McKey Lab (@mckey_lab) 's Twitter Profile Photo

Meet Anthony, the McKey Lab, Lab Manager! Anthony graduated from CSU & brings an abundance of technical experience & genuine curiosity! In addition to keeping the lab running, Anthony is working on a number of cool projects (stay tuned). He's SUCH a joy to have on the team!⭐️🔬🧪

Meet Anthony, the McKey Lab, Lab Manager! Anthony graduated from CSU & brings an abundance of technical experience & genuine curiosity! In addition to keeping the lab running, Anthony is working on a number of cool projects (stay tuned). He's SUCH a joy to have on the team!⭐️🔬🧪
McKey Lab (@mckey_lab) 's Twitter Profile Photo

Another McKey Lab member intro! Meet Lily, a grad student in the Cell Bio, Stem Cells & Development program. Lily is studying the role of the rete ovarii in the development of the ovary. Lily is also an active member of the community! Stay tuned for more on Lily's achievements!🤩

Another McKey Lab member intro! Meet Lily, a grad student in the Cell Bio, Stem Cells & Development program. Lily is studying the role of the rete ovarii in the development of the ovary. Lily is also an active member of the community! Stay tuned for more on Lily's achievements!🤩
ESHRE (@eshre) 's Twitter Profile Photo

September is PCOS Awareness Month Polycystic Ovary Syndrome (PCOS) is a complex hormonal disorder that affects 10% of women worldwide, yet it remains often misunderstood or overlooked. Join us in advocating for better understanding and care. #PCOSAwareness #PCOSAwarenessMonth2024

September is PCOS Awareness Month
Polycystic Ovary Syndrome (PCOS) is a complex hormonal disorder that affects 10% of women worldwide, yet it remains often misunderstood or overlooked.
Join us in advocating for better understanding and care.
#PCOSAwareness #PCOSAwarenessMonth2024
McKey Lab (@mckey_lab) 's Twitter Profile Photo

Finally meet Jen McKey -our fearless leader! Jen grew up loving photography & was captivated by the visual nature of developmental & reproductive biology. In her free time, she likes to paint, take pictures, or engage in other crafty activities. S'lucky to have her!

Finally meet <a href="/jen_mckey/">Jen McKey</a> -our fearless leader! Jen grew up loving photography &amp; was captivated by the visual nature of developmental &amp; reproductive biology. In her free time, she likes to paint, take pictures, or engage in other crafty activities. S'lucky to have her!
McKey Lab (@mckey_lab) 's Twitter Profile Photo

Meet the newest McKey lab member, Courtney (and her pup Hazel)! Since receiving her BS in Chem, Courtney has worked in contract pharma for 7 yrs and is getting her MLA in Biotech through Harvard Extension School. Outside of the lab and school, she enjoys reading & rock climbing!

Meet the newest McKey lab member, Courtney (and her pup Hazel)! Since receiving her BS in Chem, Courtney has worked in contract pharma for 7 yrs and is getting her MLA in Biotech through Harvard Extension School. Outside of the lab and school, she enjoys reading &amp; rock climbing!
McKey Lab (@mckey_lab) 's Twitter Profile Photo

Lastly, meet Jenn, the McKey lab postdoc! Jenn received her PhD in neuroscience from University of Michigan , where she studied the properties of GnRH neurons & how they are altered in a mouse model of PCOS🧠. When she's not working, she's hiking☀️, reading📚 or watching sports⚽️🏈🏀 Jenn Jaime, PhD

Lastly, meet Jenn, the McKey lab postdoc! Jenn received her PhD in neuroscience from <a href="/UMich/">University of Michigan</a> , where she studied the properties of GnRH neurons &amp; how they are altered in a mouse model of PCOS🧠. When she's not working, she's hiking☀️, reading📚 or watching sports⚽️🏈🏀 <a href="/jaime_jenn/">Jenn Jaime, PhD</a>
McKey Lab (@mckey_lab) 's Twitter Profile Photo

Congratulations to our first grad student on passing her comprehensive exam! She knocked it out of the park. WE ARE SO PROUD OF YOU LILY!!

Congratulations to our first grad student on passing her comprehensive exam! She knocked it out of the park. WE ARE SO PROUD OF YOU LILY!!
Donita Brady of Brady Lab UPenn (@bradylabupenn) 's Twitter Profile Photo

To my science framily, As we reflect on this election season, I want to take a moment to acknowledge that things may not have gone as we had hoped or expected. I wish I was shocked that America did not elect its first woman and woman of color to the presidency but I am angry and