Kashif M M, MD, FRCPath (@kashifhazim) 's Twitter Profile
Kashif M M, MD, FRCPath

@kashifhazim

Pathologist; loves to learn and teach through sharing.T/RTs are not medical advice.

ID: 900135591945408514

calendar_today22-08-2017 23:20:23

4,4K Tweet

2,2K Takipçi

1,1K Takip Edilen

𝗡𝗶𝗵𝗮𝗿 𝗗𝗲𝘀𝗮𝗶 MD, DM (@nihardesai89) 's Twitter Profile Photo

An easy way to remember serum protein electrophoresis for #MedstudentTwitter ! In myeloma, the thumb goes ⤴️ and the pinky finger goes ⤵️ Read 👇🏼 to learn more! #MedTwitter

An easy way to remember serum protein electrophoresis for #MedstudentTwitter !

In myeloma, the thumb goes ⤴️ and the pinky finger goes ⤵️

Read 👇🏼 to learn more!

#MedTwitter
Janira Navarro (@janiranavarro) 's Twitter Profile Photo

#EverydayGYN Algorithm to screen uterine smooth muscle tumors for FH-deficiency and HLRCC FH-d morphology -Alveolar pattern edema -Staghorn blood vessels -Chain-like growth of tumor cells -Macronucleoli surrounded by halo -Cytoplasmic eosinophilic globules Dr. Turashvili #CCSP24

#EverydayGYN
Algorithm to screen uterine smooth muscle tumors for FH-deficiency and HLRCC
FH-d morphology
-Alveolar pattern edema
-Staghorn blood vessels
-Chain-like growth of tumor cells
-Macronucleoli surrounded by halo
-Cytoplasmic eosinophilic globules

Dr. Turashvili #CCSP24
Anthony J Gill (@cadxpath) 's Twitter Profile Photo

Infarct necrosis important to separate from true tumour necrosis in NETs.2 show true necrosis(abrupt transition, karyorrhectic debris, comedo-like)& 2 show infarct(gradual transition, zonal granulation tissue/myobroblasts) If you think easy -> retweet If you think hard -> like

Infarct necrosis important to separate from true tumour necrosis in NETs.2 show true necrosis(abrupt transition, karyorrhectic debris, comedo-like)& 2 show infarct(gradual transition, zonal granulation tissue/myobroblasts)

If you think easy -> retweet
If you think hard -> like
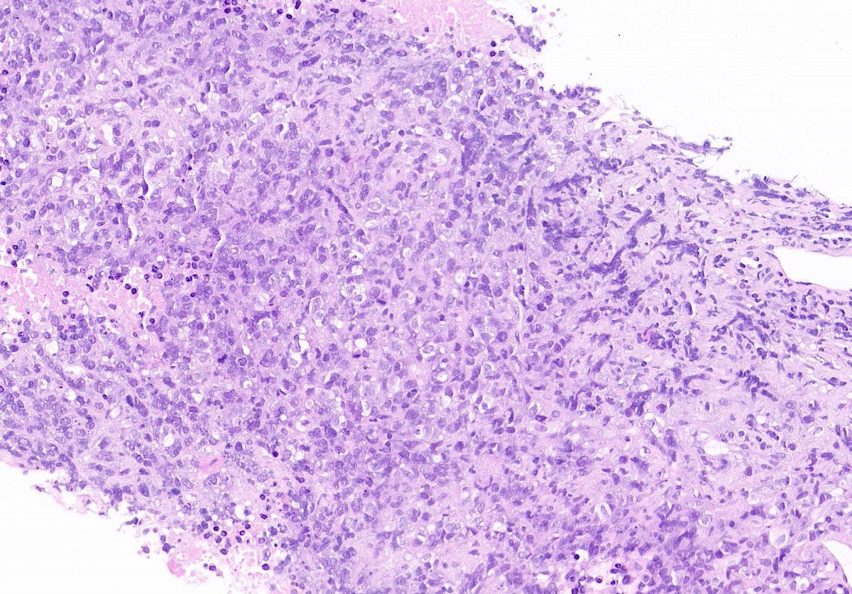
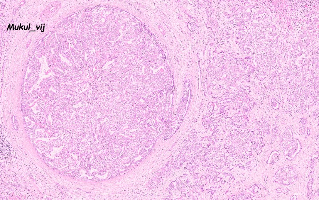
Mukul Vij, MD 🇮🇳 (@vij_mukul) 's Twitter Profile Photo

Super rare biliary tumour Intraductal tubular neoplasms of the bile duct (ITPN) with invasive adenocarcinoma (small duct type) MUC6 positive #liverpath #pathx #pathology

Super rare biliary tumour
Intraductal tubular neoplasms of the bile duct (ITPN) with invasive adenocarcinoma (small duct type)
MUC6 positive
#liverpath #pathx #pathology
Tristan Rutland MBBS FRCPA IFCAP (@tristanrutland7) 's Twitter Profile Photo

Professor Richard Scolyer AO I am so sorry to hear this Richard. Sharing your experience and going through the treatment is one of the bravest things. You have brought hope to so many around the globe and inspired many more. You have lite a torch that will be handed on and continue to change the world. We

Fouad Boulos (@fouad_boulos) 's Twitter Profile Photo

One last case before a long-winded discussion of the in-situ vs. invasive dilemma in the absence of positivity for myoepithelial markers. Images show H&E, p63 (apologies about the weak counterstain), and SMM. What is your diagnosis? WashU Medicine Pathology & Immunology WashU Medicine Pathology & Immunology Education #breastpath

One last case before a long-winded discussion of the in-situ vs. invasive dilemma in the absence of positivity for myoepithelial markers.

Images show H&E, p63 (apologies about the weak counterstain), and SMM.

What is your diagnosis?

<a href="/washu_pathology/">WashU Medicine Pathology & Immunology</a> <a href="/washupathedu/">WashU Medicine Pathology & Immunology Education</a> #breastpath
Modern Pathology (@modernpathology) 's Twitter Profile Photo

Accumulating evidence shows that esophageal epidermoid metaplasia (the presence of a granular layer) is a precursor to squamous cell carcinoma. Here it is associated with high-grade squamous dysplasia, first studied in detail in Modern Pathology. Singhi AD, et al. Targeted

Accumulating evidence shows that esophageal epidermoid metaplasia (the presence of a granular layer) is a precursor to squamous cell carcinoma.  Here it is associated with high-grade squamous dysplasia, first studied in detail in Modern Pathology.
Singhi AD, et al. Targeted
Toby Schmitt, MD (@tobyaschmitt) 's Twitter Profile Photo

Couldn't be more excited to announce the launch of pathlibrary.com, the virtual slide site I wish had existed during my pathology residency. You can: - Order special stains to work up cases - See annotated histologic features - Prepare for exams with board-style questions

Couldn't be more excited to announce the launch of pathlibrary.com, the virtual slide site I wish had existed during my pathology residency. You can:
- Order special stains to work up cases
- See annotated histologic features
- Prepare for exams with board-style questions
C. Christofer Juhlin (@drjuhlin) 's Twitter Profile Photo

Young female patient with enlarged thyroid lobes, Bethesda II. Thyroidectomy performed due to discomfort. Multiple adenomatoid nodules observed, some showing striking lipomatous metaplasia. Short thread, promise!

Young female patient with enlarged thyroid lobes, Bethesda II. Thyroidectomy performed due to discomfort. Multiple adenomatoid nodules observed, some showing striking lipomatous metaplasia. Short thread, promise!
Felipe Templo Jr. 🕊 (@thejourneymate) 's Twitter Profile Photo

Pleomorphic Hyalinizing Angiectatic Tumor (PHAT) of soft parts 🔬 It is a rare, nonmetastasizing tumor of uncertain lineage characterized by clusters of ectatic, fibrin-lined, thin-walled vessels surrounded by a mitotically inert, spindled, pleomorphic, neoplastic stroma.

Pleomorphic Hyalinizing Angiectatic Tumor (PHAT) of soft parts 🔬

It is a rare, nonmetastasizing tumor of uncertain lineage characterized by clusters of ectatic, fibrin-lined, thin-walled vessels surrounded by a mitotically inert, spindled, pleomorphic, neoplastic stroma.
Int J Surg Pathol (@ijspjournal) 's Twitter Profile Photo

You've heard of SMARCB1-deficient (medullary) RCC But have you heard of RCC unclassified with medullary phenotype? INI1- RCC + medullary Ca-like H&E BUT no sickle cell trait? Read more➡️Zhang Y, Zhao J, Teng X, Chen G @ IJSP Journal journals.sagepub.com/doi/10.1177/10… #GUPath #PathTwitter

You've heard of SMARCB1-deficient (medullary) RCC
But have you heard of RCC unclassified with medullary phenotype?
INI1- RCC + medullary Ca-like H&amp;E BUT no sickle cell trait?
Read more➡️Zhang Y, Zhao J, Teng X, Chen G @ IJSP Journal
journals.sagepub.com/doi/10.1177/10…
#GUPath #PathTwitter
Elizabeth Montgomery, MD (@lizmontgomerymd) 's Twitter Profile Photo

Plexiform schwannomas can be associated with central neurofibromatosis (NF2); finding this lesion may be a clue to screen the patient for central nervous system schwannomas. Note the intranuclear cytoplasmic invagination (arrow). #UMiamiPath Modern Pathology Innovative Science Press

Plexiform schwannomas can be associated with central neurofibromatosis (NF2); finding this lesion may be a clue to screen the patient for central nervous system schwannomas. Note the intranuclear cytoplasmic invagination (arrow). #UMiamiPath <a href="/ModernPathology/">Modern Pathology</a> <a href="/science_press/">Innovative Science Press</a>
Francesco Fortarezza (@ffortarezzamd) 's Twitter Profile Photo

Squamous metaplasia in sebaceous neoplasms can be a clue for microsatellite instability (consider possible Muir-Torre syndrome) #dermpath #pathology #dermatology #dermatopathology #MedX #PathX

Squamous metaplasia in sebaceous neoplasms can be a clue for microsatellite instability (consider  possible Muir-Torre syndrome) #dermpath #pathology #dermatology #dermatopathology #MedX #PathX