
James A. Ramirez
@jramirezmd
Dermatopathologist at CTAlab. Digital dermpath :)
Tweets are my own and not medical advice.
ID: 777502164709146624
https://twitter.com/cta_pathology 18-09-2016 13:38:56
3,3K Tweet
2,2K Followers
210 Following











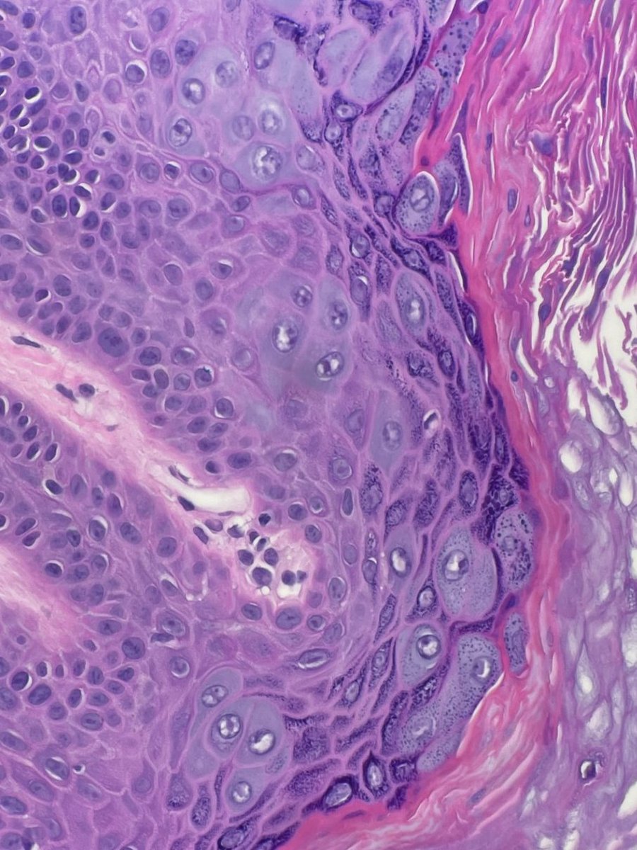
Nasal mucosal mass. Your diagnosis? Answer & more pics here: kikoxp.com/posts/5703. Many thanks to Sadiq M Amer, MD for these incredible images! #pathology #pathologists #pathTwitter #dermpath #dermatology #dermatologia #dermtwitter #ENTpath #microbiology




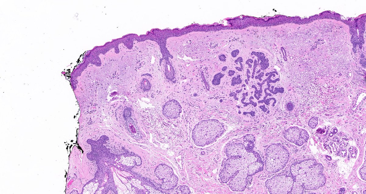
Another Bluemor: Rapidly growing, ulcerated nodule on the chest of a 90 y/o #dermpath Henry YANG David Terrano Etan Marks, DO Diego Morales, MD Gonzalo De Toro @sgottesmanmd Allison Osmond MD MSc FRCPC @alomaridermpath @vhnguyenmd





