
Jonathan O'Donnell
@jemodonnell
ID: 1513077851633098754
10-04-2022 08:54:24
11 Tweet
9 Followers
25 Following


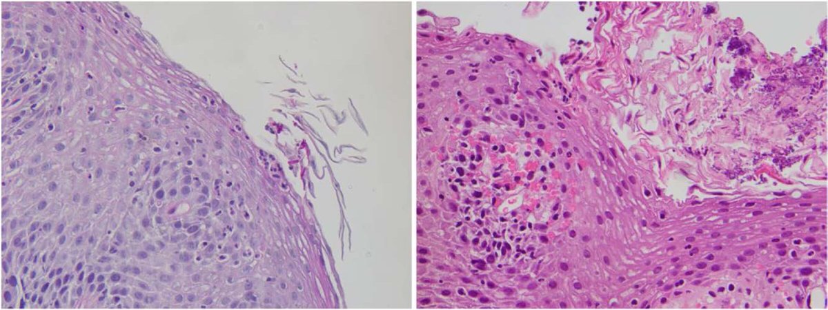
Infectious esophagitis in children - risk factors, symptoms, diagnosis and treatment journals.lww.com/jpgn/Abstract/… Usha Krishnan



Infectious #esophagitis is the third most common cause of esophagitis after gastroesophageal reflux disease and #EoE. Jonathan O'Donnell et al. reviews risk factors, symptoms, and treatment of a wide range of organisms causing infectious esophagitis in children. bit.ly/3FIIImI?utm_so…


Delighted to collaborate with expert colleagues and friends globally to share issues and thoughts regarding management of #extrapulmonary disease in the era of #CFTR modulator therapy in #CysticFibrosis in this publication. #CF Jonathan O'Donnell UNSW Medicine & Health onlinelibrary.wiley.com/doi/10.1002/pp…

Amazing to work with all these brilliant people to help patients with IBD. #mIBD, #veoibd, Helmsley Charitable Trust



Think about offering STOSS for Vit D deficiency in PIBD - non-inferior to oral vitamin D3 daily! Digestive Diseases and Sciences link.springer.com/article/10.100….