
Igor
@igor_dermpath
ID: 183040705
26-08-2010 00:47:53
2,2K Tweet
191 Takipçi
171 Takip Edilen









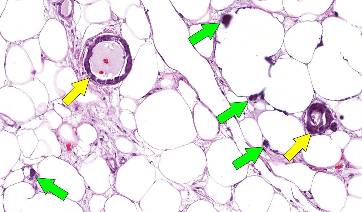
33 yo F Arm. Rare entity...have you seen it yet? Answer ✅ youtu.be/lDbdr2J9SKg?si… Digital slide: kikoxp.com/posts/7015. Handout: kikoxp.com/posts/8496. #pathology #pathologists #pathTwitter #dermpath #dermatology #dermtwitter Arnaud de la Fouchardiere MD, PhD Sara Shalin

