
Adolfo E. Lizardo
@alizardor
Interventional Radiologist in Mexico City. #IRad. Passionate about AVM embo, pediatric IR, oncologic interventions.
ID: 141043125
07-05-2010 01:42:57
228 Tweet
98 Takipçi
257 Takip Edilen







Quite the honor and all credit to our team for this publication 🙏🏽 thank you to Mohammad Arabi and The Arab Journal of Interventional Radiology for this award 🙏🏽🙏🏽 #irad

Awesome experience at #PAIRS2023. Great cases and extraordinary lectures from brilliant interventional radiologists. Always excited to learn from my mentor Osman Ahmed. PAIRS The Arab Journal of Interventional Radiology




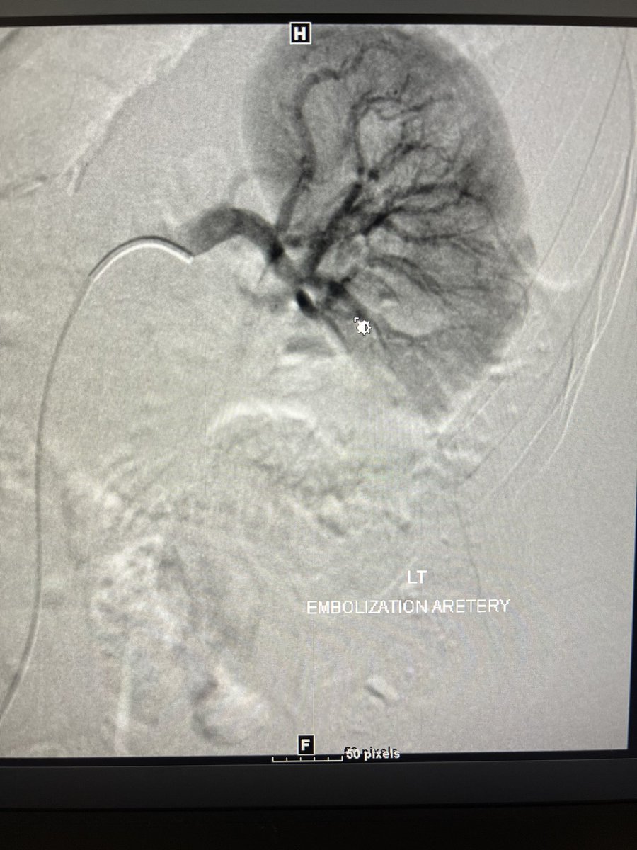
Prophylactic pre-pregnancy TAE decreased the growth and bleeding of renal AMLs during pregnancy.Dr.Othman Alshehri د.عثمان الشهري,Saudi Interventional Radiology Society,Society of Interventional Radiology,UT Houston_IR,PAIRS,Osman Ahmed,Ahmed Kamel MD, PhD, FSIR



Superior mesenteric vein access for portal vein recanalization - Transjugular Intrahepatic Portosystemic Shunt in Chronic Portal Vein Thrombosis PAIRS PAIRS Society of Interventional Radiology CIRSE JVIR The Arab Journal of Interventional Radiology #irad #interventionalradiology #radiologia #mexico #tips


AVM embo with liquid. I luv what I do!!! Society of Interventional Radiology The Arab Journal of Interventional Radiology PAIRS CIRSE #avm #irad #ir #embo



