Henry Tazelaar (@htazmd) 's Twitter Profile
Henry Tazelaar

@htazmd

Pathologist at Mayo Clinic in Arizona; all opinions mine, not employer's

ID: 475906745

calendar_today27-01-2012 15:27:23

26 Tweet

550 Takipçi

23 Takip Edilen

Henry Tazelaar (@htazmd) 's Twitter Profile Photo

Leadership Lessons for Lung Pathologists: “I’m sorry. I don’t know. I need help. I was wrong.: Chief Inspector Armand Ganache.

Henry Tazelaar (@htazmd) 's Twitter Profile Photo

Agree, but the study also seems to say the just a few days of steroids likely won't get rid of ALL inflammation. x.com/MelanieBoisMD/…

Melanie Bois (@melanieboismd) 's Twitter Profile Photo

Meso/monocytic incidental cardiac excrescences (MICE): Histiocytes, mesos, fibrin& inflam. #Pitfall ddx: metastasis #CardiacPath #MayoCVPath

Meso/monocytic incidental cardiac excrescences (MICE): Histiocytes, mesos, fibrin& inflam. #Pitfall ddx: metastasis #CardiacPath #MayoCVPath
Emilio Madrigal, DO (@emadrigaldo) 's Twitter Profile Photo

Acute-phase Chagas w/ many parasites forming intracytoplasmic perinuclear pseudocysts. T. cruzi via Reduviidae "assassin" bug. #microbiology

Acute-phase Chagas w/ many parasites forming intracytoplasmic perinuclear pseudocysts. T. cruzi via Reduviidae "assassin" bug. #microbiology
Melanie Bois (@melanieboismd) 's Twitter Profile Photo

An egg-cellent post for Easter; but these aren't chocolate-filled. Taenia saginata eggs: identical to T. solium; ~35 μm; radial striations

An egg-cellent post for Easter; but these aren't chocolate-filled. Taenia saginata eggs: identical to T. solium; ~35 μm; radial striations
SCVP (@scvp1) 's Twitter Profile Photo

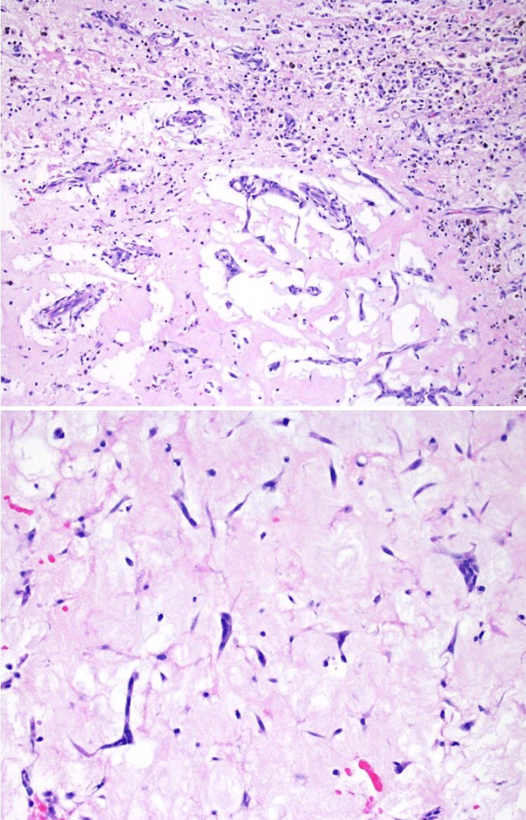
65-year-old man with a left atrial mass.... Diagnosis? What syndrome can this be seen in? scvp.net/com/ucom16.html #cardiacpath Saranya Singaravel

65-year-old man with a left atrial mass.... Diagnosis? What syndrome can this be seen in?  scvp.net/com/ucom16.html #cardiacpath <a href="/_SaranyaS_/">Saranya Singaravel</a>
Mayo Clinic Med Ed (@mayomeded) 's Twitter Profile Photo

.@optimistpath w/ update on appendiceal lesions at Mayo Clinic #Pathology Update, Jan 25-27. Join us in Phoenix! mayocl.in/2y7AvpM

.@optimistpath w/ update on appendiceal lesions at Mayo Clinic #Pathology Update, Jan 25-27. Join us in Phoenix! mayocl.in/2y7AvpM