Journal of Histology and Histopathology Research (@histohistopatho) 's Twitter Profile
Journal of Histology and Histopathology Research

@histohistopatho

Histology and Histopathology Research is an open access peer reviewed journal.
Contact us at [email protected]

ID: 1392442575915610115

linkhttps://www.pulsus.com/histology-histopathology-research.html calendar_today12-05-2021 11:33:00

209 Tweet

713 Takipçi

2,2K Takip Edilen

Sumeyra Kartal (@sumeyra_md) 's Twitter Profile Photo

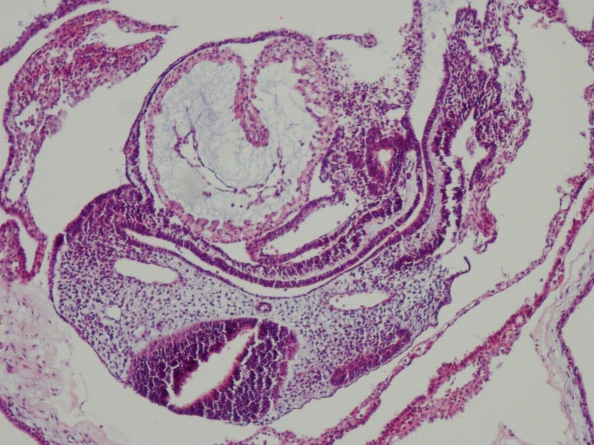
Early embryo. Like a picture of an embryology textbook. You can see neural crest, notochord, yolk sac and everybody🙃 #medstudents #embryology #PathTwitter #pathresidents

Early embryo. Like a picture of an embryology textbook. You can see neural crest, notochord, yolk sac and everybody🙃 #medstudents #embryology #PathTwitter #pathresidents
Syed Z. Ali (@sza_jhcyto) 's Twitter Profile Photo

"Straight from the scope" - A great educational case. Elderly female with a lateral back soft tissue mass and a previous history of an upper urinary tract high-grade urothelial carcinoma with extensive squamous differentiation. FNA consistent with metastasis. (Smears, CB and CBX)

"Straight from the scope" - A great educational case. Elderly female with a lateral back soft tissue mass and a previous history of an upper urinary tract high-grade urothelial carcinoma with extensive squamous differentiation. FNA consistent with metastasis. (Smears, CB and CBX)
Journal of Histology and Histopathology Research (@histohistopatho) 's Twitter Profile Photo

The manuscript submission process for our journal has begun for our current issue. our journal would be delighted to have your contribution. pulsus.com/histology-hist… #histology #histopathology #manuscript #Article

Tim Bracey (@drtimbracey) 's Twitter Profile Photo

PPI-induced clear cell change in gastric parietal cells. Note sparing of the foveolar epithelium. Previously described in detail by Runjan Chetty and colleagues. Don’t mistake for signet ring cells!#GIpath Laura G. Pastrián MD Celina Stayerman MD Kalyani Bambal Jamie Sington Trupti Mandalia Marnix Jansen

PPI-induced clear cell change in gastric parietal cells. Note sparing of the foveolar epithelium. Previously described in detail by <a href="/RunjanChetty/">Runjan Chetty</a> and colleagues. Don’t mistake for signet ring cells!#GIpath <a href="/DraEosina/">Laura G. Pastrián MD</a> <a href="/ariella8/">Celina Stayerman MD</a> <a href="/kriyer68/">Kalyani Bambal</a> <a href="/SingJamieD/">Jamie Sington</a> <a href="/Pathmath1/">Trupti Mandalia</a> <a href="/jansen_marnix/">Marnix Jansen</a>
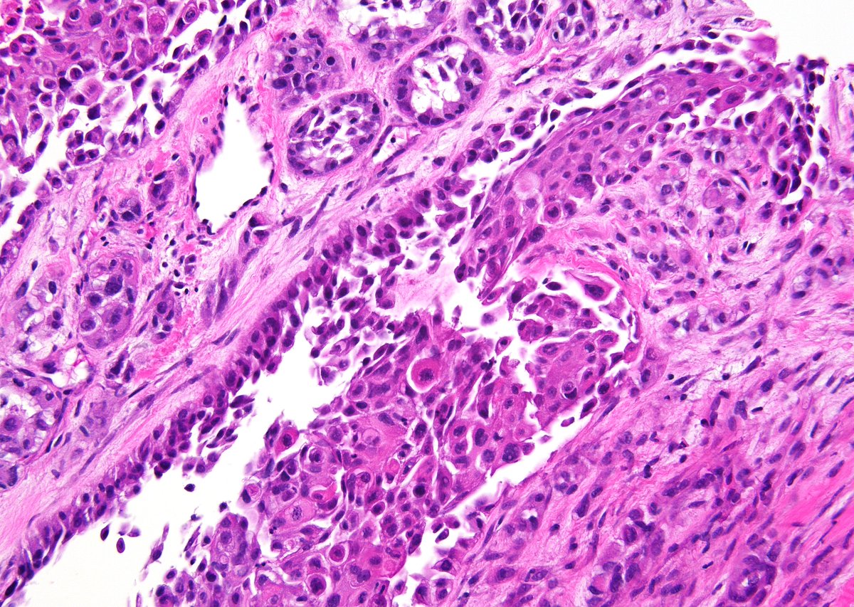
Rafat Abu Shakra, MD, FIAC (@rafat_abushakra) 's Twitter Profile Photo

A 72 year old man, known to have diabetes mellitus, hypertension and end stage kidney disease on hemodialysis, presented with massive tongue enlargement and difficulty in swallowing. What is your opinion? #Oralpath #Hemepath #HeadNeckpath #Pathology #Pathtwitter

A 72 year old man, known to have diabetes mellitus, hypertension and end stage kidney disease on hemodialysis, presented with massive tongue enlargement and difficulty in swallowing. 
What is your opinion?
#Oralpath
#Hemepath
#HeadNeckpath
#Pathology
#Pathtwitter
Global Tech20 Health20 Pharma20 Summit Series (@health20tech20) 's Twitter Profile Photo

Events like Vizag Tech Summit 2023 are one of their kind as pre-launch popularisation events for India’s G-20 presidency. More technological startups with Indianness are being encouraged. Thanks to Nirmala Sitharaman #vizagtechsummit #G20India #G20IndiaPresidency #globaltechsummit

Events like Vizag Tech Summit 2023 are one of their kind as pre-launch popularisation events for India’s G-20 presidency. More technological startups with Indianness are being encouraged. Thanks to <a href="/nsitharaman/">Nirmala Sitharaman</a> #vizagtechsummit #G20India #G20IndiaPresidency #globaltechsummit
Gloria Sura, MD (@gloria_suramd) 's Twitter Profile Photo

Sections from autopsy revealing bone formation in the mesentery in a patient who was status post multiple abdominal surgeries. What is this process called? kikoxp.com/posts/12785 #PathTwitter #MedTwitter

Sections from autopsy revealing bone formation in the mesentery in a patient who was status post multiple abdominal surgeries. What is this process called? kikoxp.com/posts/12785 #PathTwitter #MedTwitter
Gloria Sura, MD (@gloria_suramd) 's Twitter Profile Photo

Tumor with an EGFR p.G719A mutation. What type of tumor is shown? Answer: kikoxp.com/posts/18719 #PathTwitter #MolPath #MedTwitter #PathArt

Tumor with an EGFR p.G719A mutation. What type of tumor is shown? Answer: kikoxp.com/posts/18719 #PathTwitter #MolPath #MedTwitter #PathArt
Journal of Histology and Histopathology Research (@histohistopatho) 's Twitter Profile Photo

Submission Open, Submit your paper now and get a 30% rebate. For more Infomation Contact us at: [email protected] #histology #manuscripts #openaccess journalseries2.blogspot.com/2023/01/why-wo…

Pulsus (@pulsus5) 's Twitter Profile Photo

Histopathology enables professionals to look for changes in cells that explain the actual cause of the patient's illness. #histology #pathology #anatomy #histopathology #microscopy #microbiology

Histopathology enables professionals to look for changes in cells that explain the actual cause of the patient's illness.

#histology #pathology  #anatomy #histopathology #microscopy #microbiology
Pulsus (@pulsus5) 's Twitter Profile Photo

For publication, we are here. You can reach us on WhatsApp at +44 1300500008 for additional information. #publication #research #reviews

For publication, we are here.
You can reach us on WhatsApp at +44 1300500008 for additional information.
#publication #research #reviews
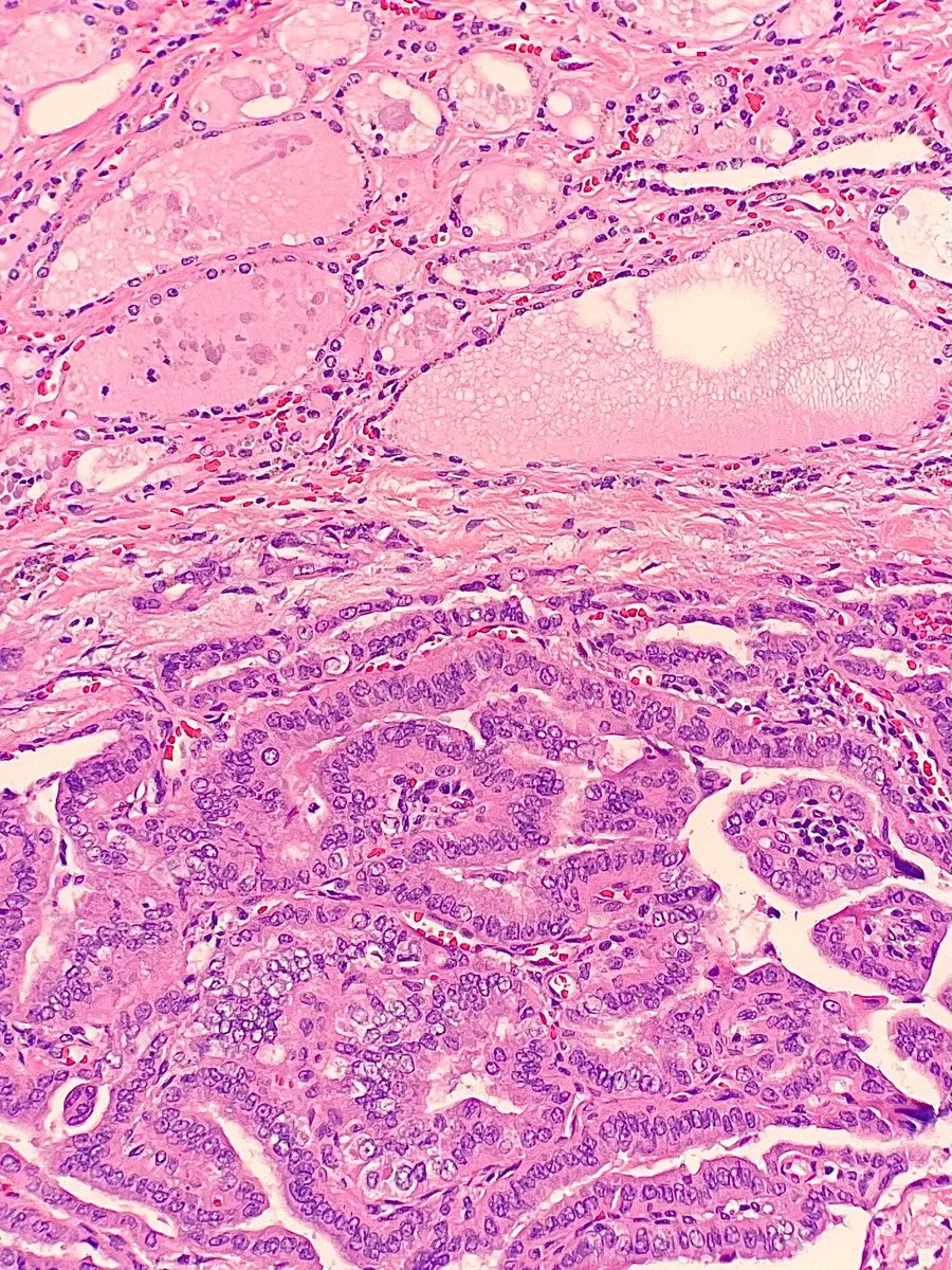
Gloria Sura, MD (@gloria_suramd) 's Twitter Profile Photo

Thyroidectomy revealing eosinophilic tumor cells with tall morphology adjacent to normal thyroid tissue. What is the diagnosis? Answer: kikoxp.com/posts/12977 #PathArt #PathTwitter #MedTwitter

Thyroidectomy revealing eosinophilic tumor cells with tall morphology adjacent to normal thyroid tissue. What is the diagnosis? Answer: kikoxp.com/posts/12977 #PathArt #PathTwitter #MedTwitter
Global Tech Summit @ New York (@gtsusa2023) 's Twitter Profile Photo

📢 Calling all tech enthusiasts and AI aficionados! 🌟 Join us at the Global Tech Summit 2023 in New York on July 24-25, for an inspiring talk on the revolutionary power of AI. 🚀 Don't miss this opportunity to delve into the future of technology. 🌐#AI #GlobalTechSummit2023

📢 Calling all tech enthusiasts and AI aficionados! 🌟 Join us at the Global Tech Summit 2023 in New York on July 24-25, for an inspiring talk on the revolutionary power of AI. 🚀 Don't miss this opportunity to delve into the future of technology. 🌐#AI #GlobalTechSummit2023
Global Tech Summit @ New York (@gtsusa2023) 's Twitter Profile Photo

🍽️ Calling all food researchers & innovators! 🌱 Join us at Global Tech Summit 2023 on July 24-25 for an exciting talk on the future of food. 🌍 Discover groundbreaking advancements & sustainable solutions that will revolutionize the way we eat. #FutureFood #GlobalTechSummit2023

🍽️ Calling all food researchers &amp; innovators! 🌱 Join us at Global Tech Summit 2023 on July 24-25 for an exciting talk on the future of food. 🌍 Discover groundbreaking advancements &amp; sustainable solutions that will revolutionize the way we eat. #FutureFood #GlobalTechSummit2023
Global Tech Summit @ New York (@gtsusa2023) 's Twitter Profile Photo

🌾Calling all agri-enthusiasts & tech pioneers! 🌱Join us at Global Tech Summit 2023 on July 24-25 for an insightful talk on agricultural innovation. 🚜Explore how cutting-edge technology is reshaping farming practices and addressing global food challenges. 🌍#Agriculture #AI

🌾Calling all agri-enthusiasts &amp; tech pioneers! 🌱Join us at Global Tech Summit 2023 on July 24-25 for an insightful talk on agricultural innovation. 🚜Explore how cutting-edge technology is reshaping farming practices and addressing global food challenges. 🌍#Agriculture #AI