Hassan Khormi (@hassan88___) 's Twitter Profile
Hassan Khormi

@hassan88___

BDS, Saudi Board of Oral Medicine and Pathology

ID: 364224525

calendar_today29-08-2011 12:23:05

1,1K Tweet

275 Takipçi

439 Takip Edilen

Hassan Khormi (@hassan88___) 's Twitter Profile Photo

A 55-year-old male presented to the dental clinic for a routine check-up. Intraoral examination revealed a solitary, asymptomatic, flat bluish-gray macule #oralpath #entpath #pathology #pathologists #pathTwitter

A 55-year-old male presented to the dental clinic for a routine check-up. Intraoral examination revealed a solitary, asymptomatic, flat bluish-gray macule #oralpath #entpath #pathology #pathologists #pathTwitter
Hassan Khormi (@hassan88___) 's Twitter Profile Photo

40-year-old female with a deep neck mass. What is the most probable diagnosis? #oralpath #pathology #pathologists #pathTwitter #HeadNeckPathol #HeadandNeckPath #ENTPath #PathologyTweet

40-year-old female with a deep neck mass. What is the most probable diagnosis? 
#oralpath #pathology #pathologists #pathTwitter #HeadNeckPathol #HeadandNeckPath #ENTPath #PathologyTweet
Hassan Khormi (@hassan88___) 's Twitter Profile Photo

This is nodular fasciitis, a benign, rapidly growing lesion of plump spindle-shaped myofibroblasts in a tissue culture–like, storiform pattern, with frequent RBC and scattered inflammatory cells. It shows USP6 rearrangement, SMA/MSA positivity, and occasional desmin+

Hassan Khormi (@hassan88___) 's Twitter Profile Photo

70M with parotid mass. What is your diagnosis? #oralpath #oralpathology #pathology #pathologists #pathTwitter #HeadNeckPathol #HeadandNeckPath #ENTPath #PathologyTweet

70M with parotid mass. What is your diagnosis? 
#oralpath #oralpathology #pathology #pathologists #pathTwitter #HeadNeckPathol #HeadandNeckPath #ENTPath #PathologyTweet
Hassan Khormi (@hassan88___) 's Twitter Profile Photo

This is epithelial-myoepithelial carcinoma, a rare salivary gland malignancy showing biphasic tubular structures with inner ductal and outer clear myoepithelial cells. Often harbors HRAS Q61 mutations, CK7+ luminal and SMA/p63+ abluminal cells, with favorable prognosis.

Hassan Khormi (@hassan88___) 's Twitter Profile Photo

58-year-old female with a nasal mass. What is your diagnosis and/or IHC panel? #oralpath #oralpathology #pathology #pathologists #pathTwitter #HeadNeckPathol #HeadandNeckPath #ENTPath #PathologyTweet

58-year-old female with a nasal mass. What is your diagnosis and/or IHC panel? #oralpath #oralpathology #pathology #pathologists #pathTwitter #HeadNeckPathol #HeadandNeckPath #ENTPath #PathologyTweet
Hassan Khormi (@hassan88___) 's Twitter Profile Photo

This is biphenotypic sinonasal sarcoma, a rare sinonasal malignancy of uniform spindle cells with dual neural (S100+) and myogenic (SMA+) phenotype, frequent entrapped hyperplastic respiratory epithelium, and recurrent PAX3::MAML3 fusions, locally infiltrative but non-metastatic.

Hassan Khormi (@hassan88___) 's Twitter Profile Photo

A 40-year-old female presented with a maxillary lesion. #oralpath #oralpathology #pathology #pathologists #pathTwitter #HeadNeckPathol #HeadandNeckPath #ENTPath #PathologyTweet

A 40-year-old female presented with a maxillary lesion. #oralpath #oralpathology #pathology #pathologists #pathTwitter #HeadNeckPathol #HeadandNeckPath #ENTPath #PathologyTweet
Hassan Khormi (@hassan88___) 's Twitter Profile Photo

This is calcifying odontogenic cyst, a rare developmental jaw cyst showing stratified lining with ameloblastoma-like basal cells and numerous ghost cells that often calcify. Frequently associated with odontomas, harboring CTNNB1 mutation, treated by conservative surgical removal.

Hassan Khormi (@hassan88___) 's Twitter Profile Photo

A 60-year-old man with a parotid mass. #oralpath #oralpathology #pathology #pathologists #pathTwitter #HeadNeckPathol #HeadandNeckPath #ENTPath #PathologyTweet

A 60-year-old man with a parotid mass. #oralpath #oralpathology #pathology #pathologists #pathTwitter #HeadNeckPathol #HeadandNeckPath #ENTPath #PathologyTweet
Hassan Khormi (@hassan88___) 's Twitter Profile Photo

This is carcinoma ex pleomorphic adenoma (CXPA), a malignant tumor from pleomorphic adenoma, usually parotid. Subtypes: intracapsular, minimally invasive, invasive. Commonly salivary duct carcinoma; shows PLAG1/HMGA2 changes; treated surgically, prognosis worse if invasive.

Hassan Khormi (@hassan88___) 's Twitter Profile Photo

A 66-year-old male with a blister on the lip commissure. #oralpath #oralpathology #pathology #pathologists #pathTwitter #HeadNeckPathol #HeadandNeckPath #ENTPath #PathologyTweet #dermpath

A 66-year-old male with a blister on the lip commissure. #oralpath #oralpathology #pathology #pathologists #pathTwitter #HeadNeckPathol #HeadandNeckPath #ENTPath #PathologyTweet #dermpath
Hassan Khormi (@hassan88___) 's Twitter Profile Photo

This is herpes simplex virus (HSV), a common DNA virus causing recurrent vesiculoulcerative lesions of oral and genital mucosa, triggered by stress or immunosuppression. Histology shows 3M changes (multinucleation, margination, molding), managed with antivirals (acyclovir).

Hassan Khormi (@hassan88___) 's Twitter Profile Photo

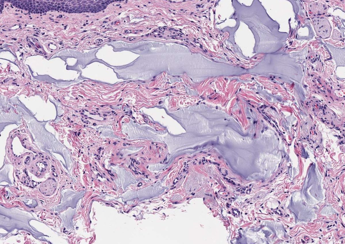
A 60-year-old male with a mass at the floor of the mouth #oralpath #oralpathology #pathology #pathologists #pathTwitter #HeadNeckPathol #HeadandNeckPath #ENTPath #PathologyTweet #dermpath

A 60-year-old male with a mass at the floor of the mouth #oralpath #oralpathology #pathology #pathologists #pathTwitter #HeadNeckPathol #HeadandNeckPath #ENTPath #PathologyTweet #dermpath
Hassan Khormi (@hassan88___) 's Twitter Profile Photo

This is an adult rhabdomyoma, a rare benign head & neck tumor in older men, with large polygonal skeletal muscle cells showing eosinophilic/vacuolated cytoplasm, spider cells, and cross-striations. Desmin/myogenin+, excision is curative.

Hassan Khormi (@hassan88___) 's Twitter Profile Photo

A 59-year-old female with a lip lesion #oralpath #oralpathology #pathology #pathologists #pathTwitter #HeadNeckPathol #HeadandNeckPath #ENTPath #PathologyTweet #dermpath

A 59-year-old female with a lip lesion #oralpath #oralpathology #pathology #pathologists #pathTwitter #HeadNeckPathol #HeadandNeckPath #ENTPath #PathologyTweet #dermpath
Hassan Khormi (@hassan88___) 's Twitter Profile Photo

This is a foreign body consistent with hyaluronic acid filler, showing amorphous basophilic pools of ground substance (Alcian blue/colloidal iron+), typically without foreign body reaction but sometimes with mild fibrosis or secondary inflammation/infection.

Hassan Khormi (@hassan88___) 's Twitter Profile Photo

Middle-aged male with unilateral friable nasal polyp. #oralpath #oralpathology #pathology #pathologists #pathTwitter #HeadNeckPathol #HeadandNeckPath #ENTPath #PathologyTweet #dermpath

Middle-aged male with unilateral friable nasal polyp. #oralpath #oralpathology #pathology #pathologists #pathTwitter #HeadNeckPathol #HeadandNeckPath #ENTPath #PathologyTweet #dermpath
Hassan Khormi (@hassan88___) 's Twitter Profile Photo

This is Rhinosporidiosis, a chronic infection by Rhinosporidium seeberi, presenting as polypoid vascular nasal/nasopharyngeal masses. Histology: large PAS/mucicarmine+ sporangia (10–300 µm) with endospores. Treated by surgical excision, antibiotics are ineffective.