Hanna Styczen (@hannajanuar) 's Twitter Profile
Hanna Styczen

@hannajanuar

Diagnostic and Interventional Neuroradiologist @UniklinikEssen // Freelance @LernRad

ID: 951919502672957440

linkhttp://www.lernrad.com calendar_today12-01-2018 20:51:10

16 Tweet

69 Takipçi

119 Takip Edilen

Hanna Styczen (@hannajanuar) 's Twitter Profile Photo

Evolution of thrombectomy devices, developed for treatment of AIS due to arterial LVO improved the safety profile for use in cerebral venous thrombosis. Prospective studies are mandatory! ncbi.nlm.nih.gov/m/pubmed/30980… #Stroke #NeuroRad #neurointervention

JNIS (@jnis_bmj) 's Twitter Profile Photo

Styczen et al: Repeated mechanical thrombectomy in short-term large vessel occlusion recurrence: multicenter study and systematic review of the literature. ow.ly/34xj50zCYGl

Styczen et al: Repeated mechanical thrombectomy in short-term large vessel occlusion recurrence: multicenter study and systematic review of the literature. ow.ly/34xj50zCYGl
Stroke AHA/ASA (@strokeaha_asa) 's Twitter Profile Photo

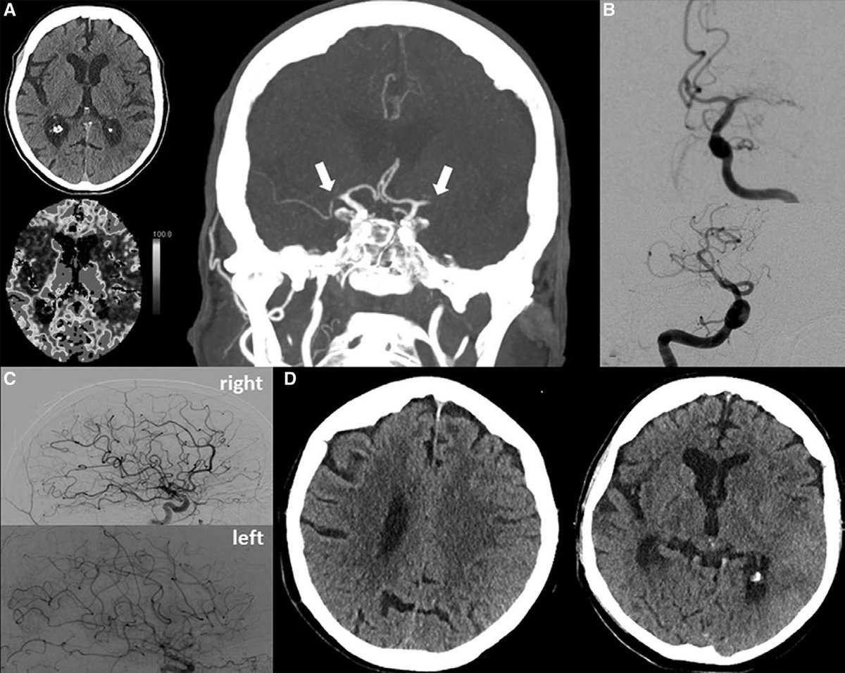
Primary Multivessel Occlusions Treated With Mechanical Thrombectomy: A Multicenter Analysis and Systemic Literature Review #stroke ow.ly/KrbK50Aydib

Primary Multivessel Occlusions Treated With Mechanical Thrombectomy: A Multicenter Analysis and Systemic Literature Review #stroke ow.ly/KrbK50Aydib
JNIS (@jnis_bmj) 's Twitter Profile Photo

Latest content - bit.ly/3tqDaqh - Styczen H showed a poor clinical outcome and high in-hsp mortality (30%) in patients with acute COVID-19 infection undergoing MT due to LVO (n=111). Franziska Dorn 🇨🇦 Pascal Mosimann

LernRad (@lernrad) 's Twitter Profile Photo

Lernrad Go!Cards - Unsere Technik-Vorbereitung für die Facharztprüfung Radiologie ist online! mailchi.mp/099f6c6ddd49/l…

Lernrad Go!Cards - Unsere Technik-Vorbereitung für die Facharztprüfung Radiologie ist online! mailchi.mp/099f6c6ddd49/l…
DRG.de (@drg_de) 's Twitter Profile Photo

Assistenzärzt:innen aufgepasst: Kennen Sie schon das Format "Go!Cards" auf „Lernrad“? Mehr erfahren Sie von Prof. Bettina Baeßler Bettina Baeßler, eine der Gründerinnen von „Lernrad“, & der „Erfinderin“ der „Go!Cards“, PD Dr. Hanna Styczen Hanna Styczen: drg.de/de-DE/10177/le…

Assistenzärzt:innen aufgepasst: Kennen Sie schon das Format "Go!Cards" auf „Lernrad“? Mehr erfahren Sie von Prof. Bettina Baeßler <a href="/Baessler_Rad/">Bettina Baeßler</a>, eine der Gründerinnen von „Lernrad“, &amp; der „Erfinderin“ der „Go!Cards“, PD Dr. Hanna Styczen <a href="/hannajanuar/">Hanna Styczen</a>: drg.de/de-DE/10177/le…
DRG.de (@drg_de) 's Twitter Profile Photo

Assistenzärzt:innen können nun vom neuen Format Go!Cards auf der Plattform LernRad profitieren & und mit ihnen die technischen Themen der #Radiologie wie #MRT oder #Strahlenschutz lernen. Wie die Karten funktionieren, erfahren Sie in unserem Video: youtu.be/s7q7pPd5eEA

Hanna Styczen (@hannajanuar) 's Twitter Profile Photo

online now 🥳: LernRad Go!Cards zum Thema Neuroradiologie LernRad: lernrad.com/kurs/lernrad-g… Gebündelte Lehrinhalte zur Vorbereitung auf die #Facharztprüfung - abgestimmt auf die Lernziele des Weiterbildungscurriculums Radiologie DRG.de DERILYN NIX/ROSS German Young Radiology Forum #JungeNeuroradiologie

online now 🥳: LernRad Go!Cards zum Thema Neuroradiologie <a href="/LernRad/">LernRad</a>:
lernrad.com/kurs/lernrad-g…

Gebündelte Lehrinhalte zur Vorbereitung auf die #Facharztprüfung - abgestimmt auf die Lernziele des Weiterbildungscurriculums Radiologie <a href="/DRG_de/">DRG.de</a> <a href="/DGNR/">DERILYN NIX/ROSS</a> <a href="/FJR_DRG/">German Young Radiology Forum</a> #JungeNeuroradiologie