Hamza Tariq, MD (@hamzatariq0222) 's Twitter Profile
Hamza Tariq, MD

@hamzatariq0222

Incoming PGY1 Pathology Resident

ID: 1541865477865193472

calendar_today28-06-2022 19:26:11

53 Tweet

255 Followers

447 Following

Aswathy Menon Ananthvikas (@dr_amenona) 's Twitter Profile Photo

Not something you see everyday! Rhinoscleroma - 👃Nasal cavity mass 🤓Mickulicz cells are the classic clear histiocytes seen (tons of them here) 💥Causative organism - Klebsiella rhinoscleromatis Check out that Warthin Starry! 🤩 #ENTpath #Headandneckpathology #pathresidents

Not something you see everyday! Rhinoscleroma -
👃Nasal cavity mass
🤓Mickulicz cells are the classic clear histiocytes seen (tons of them here)
💥Causative organism - Klebsiella rhinoscleromatis 
Check out that Warthin Starry! 🤩
#ENTpath #Headandneckpathology #pathresidents
Charles Herndon (@drcyclopath) 's Twitter Profile Photo

✅Cup-like indentation is seen in AML with NPM1 mutation, also associated with FLT3 abnormalities ⚠️Cup-like invagination in myeloid blasts is not entirely specific for NPM1 or FLT3 abnormalities, but its presence can help triage ancillary studies AML morphologies & cytogenetics

✅Cup-like indentation is seen in AML with NPM1 mutation, also associated with FLT3 abnormalities
⚠️Cup-like invagination in myeloid blasts is not entirely specific for NPM1 or FLT3 abnormalities, but its presence can help triage ancillary studies
AML morphologies & cytogenetics
Hamza Tariq, MD (@hamzatariq0222) 's Twitter Profile Photo

Immunocompromised female presents with severe epigastric pain. Endoscopy shows severe gastritis with fresh blood. Diagnosis: CMV-induced gastritis. #PathTwitter #Gastroenterology #CMV #Gastritis #Endoscopy

Hamza Tariq, MD (@hamzatariq0222) 's Twitter Profile Photo

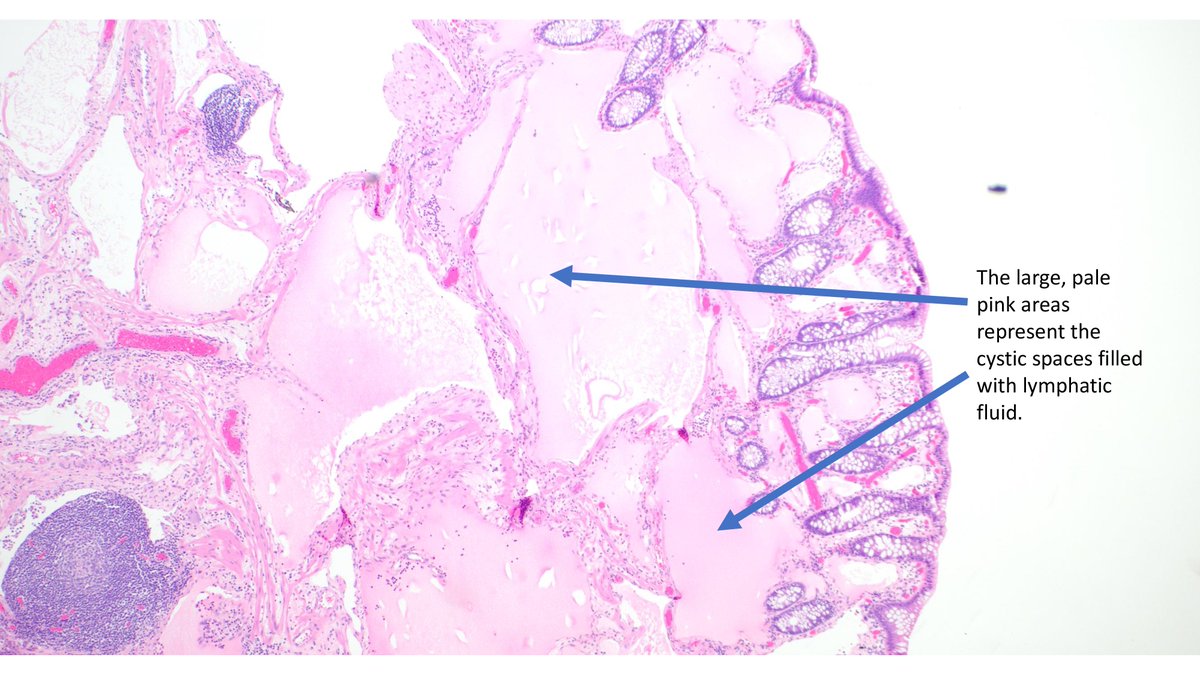
🔬 Colonic Lymphangioma Overview: •Primary (Congenital): Arises from malformation of lymphatic vessels. •Secondary (Acquired): Associated with tumor, surgery, or inflammation. #PathTwitter #Lymphangioma #Pathology

🔬 Colonic Lymphangioma Overview:
•Primary (Congenital): Arises from malformation of lymphatic vessels.
•Secondary (Acquired): Associated with tumor, surgery, or inflammation.

#PathTwitter  #Lymphangioma  #Pathology
Ziad El-Zaatari (@ziad_zaatari) 's Twitter Profile Photo

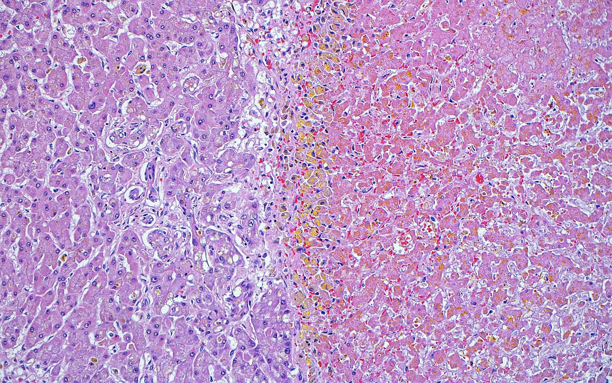
"Edge of destruction" ~ Interface between necrotic (right) and viable (left) liver in a patient treated for hepatocellular carcinoma. #pathology #pathart #liver #liverpathology #hepatology #oncology

"Edge of destruction" ~ Interface between necrotic (right) and viable (left) liver in a patient treated for hepatocellular carcinoma. #pathology #pathart #liver #liverpathology #hepatology #oncology
Hamza Tariq, MD (@hamzatariq0222) 's Twitter Profile Photo

Mammary hamartomas are benign breast lesions made of an unusual mix of glandular, adipose, and fibrous tissues. Rare, but important to distinguish from other breast tumors. 🩺🔬#PathTwitter #EmoryHealthcare #BreastPathology #Histopathology #BreastHealth

Mammary hamartomas are benign breast lesions made of an unusual mix of glandular, adipose, and fibrous tissues. Rare, but important to distinguish from other breast tumors. 🩺🔬#PathTwitter #EmoryHealthcare #BreastPathology #Histopathology #BreastHealth
Hamza Tariq, MD (@hamzatariq0222) 's Twitter Profile Photo

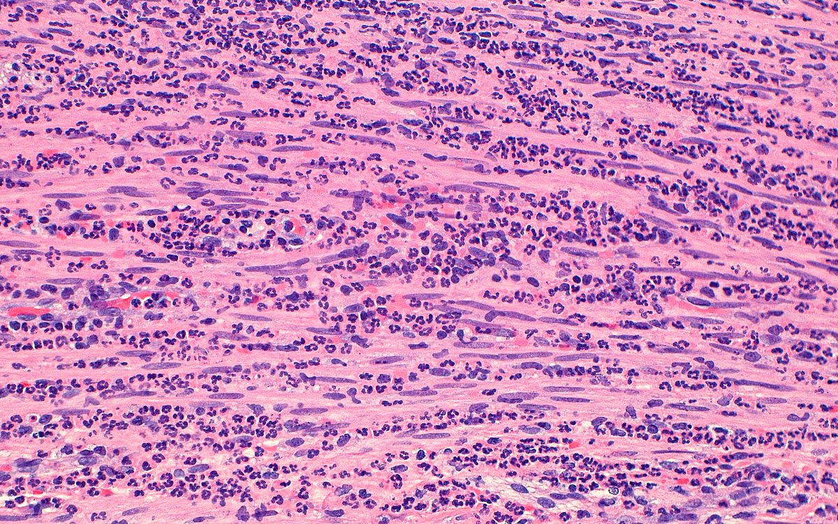
A 45-year-old male with EGPA history and positive p-ANCA showing rare liver involvement. Liver biopsy reveals eosinophilic infiltration. This case highlights how systemic vasculitis can impact any organ. #PathTwitter #Histopathology #EGPA #Vasculitis #EmoryHealthcare

A 45-year-old male with EGPA history and positive p-ANCA showing rare liver involvement. Liver biopsy reveals eosinophilic infiltration. This case highlights how systemic vasculitis can impact any organ. #PathTwitter #Histopathology #EGPA #Vasculitis #EmoryHealthcare
Lola Lozano (@mdlozanoe) 's Twitter Profile Photo

Beautiful images for a Friday summer weekend Meningioma, some cytological features 👇 🌪️tissue fragments in cellular whorls, also single cells 🟣psammoma bodies In addition, nuclei are bland-appearing, mostly devoid of prominent nucleoli. Look for ICNI 😎 #CytoPath @efcsy

Beautiful images for a Friday summer weekend Meningioma, some cytological features 👇
🌪️tissue fragments in cellular whorls, also single cells 
🟣psammoma bodies
In addition, nuclei are bland-appearing, mostly devoid of prominent nucleoli. Look for ICNI 😎  
#CytoPath @efcsy
Hamza Tariq, MD (@hamzatariq0222) 's Twitter Profile Photo

🚨 A 54-year-old woman on #Olmesartan for hypertension developed unexplained GI symptoms. Celiac serology was negative. It turned out to be Olmesartan-induced enteropathy.🩺 #PathTwitter #MedTwitter

🚨 A 54-year-old woman on #Olmesartan for hypertension developed unexplained GI symptoms. Celiac serology was negative. It turned out to be Olmesartan-induced enteropathy.🩺 #PathTwitter #MedTwitter
Hamza Tariq, MD (@hamzatariq0222) 's Twitter Profile Photo

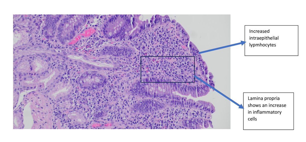
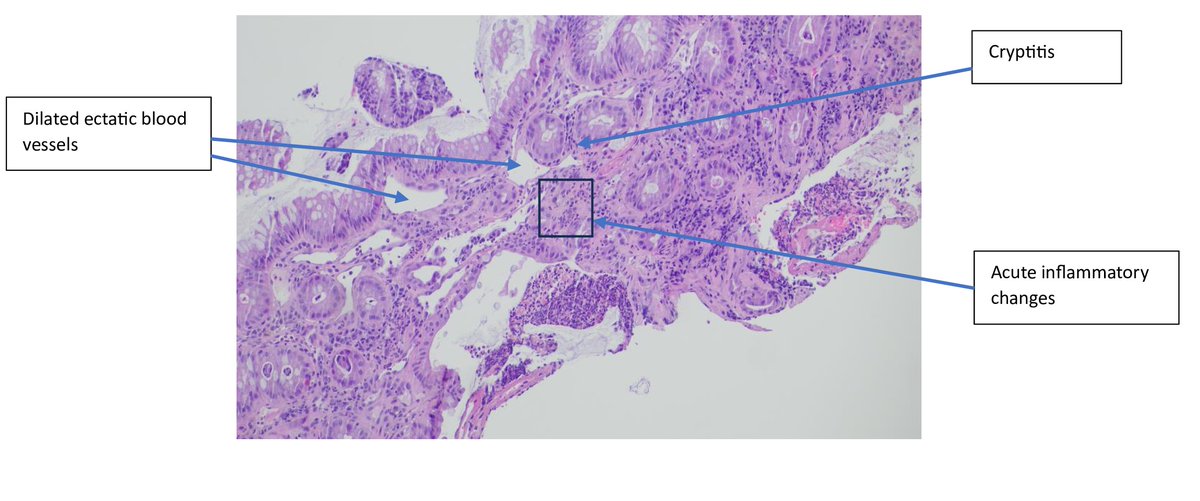
A 45-year-old woman with cervical carcinoma underwent radiation therapy and subsequently developed radiation colitis. Histopathology reveals mucosal atrophy, crypt distortion, and inflammatory infiltrates. #RadiationTherapy #CervicalCancer #RadiationColitis #PathTwitter

A 45-year-old woman with cervical carcinoma underwent radiation therapy and subsequently developed radiation colitis. Histopathology reveals mucosal atrophy, crypt distortion, and inflammatory infiltrates. #RadiationTherapy #CervicalCancer #RadiationColitis #PathTwitter
Hamza Tariq, MD (@hamzatariq0222) 's Twitter Profile Photo

Thrilled to share that I’ve officially submitted my #PathMatch2025 application! Excited for the journey ahead and to connect with fellow applicants and mentors.🧬 AAMC ID: 16391568 #PathTwitter #Pathology #IMG

Thrilled to share that I’ve officially submitted my #PathMatch2025 application! 
Excited for the journey ahead and to connect with fellow applicants and mentors.🧬

AAMC ID: 16391568

#PathTwitter #Pathology #IMG
Hamza Tariq, MD (@hamzatariq0222) 's Twitter Profile Photo

Excited to announce that I have matched at SUNY Downstate for my Pathology Residency! Grateful for this opportunity and looking forward to this next chapter. #Match2025 #pathology #ResidencyMatch #SUNYDownstate #MedTwitter

Excited to announce that I have matched at SUNY Downstate for my Pathology Residency! Grateful for this opportunity and looking forward to this next chapter.

#Match2025 #pathology #ResidencyMatch #SUNYDownstate #MedTwitter