Gizem Toker (@gzmtkr_md) 's Twitter Profile
Gizem Toker

@gzmtkr_md

ID: 703662777773248513

calendar_today27-02-2016 19:27:34

164 Tweet

397 Followers

329 Following

Masood Hassan (@mhassanaimc) 's Twitter Profile Photo

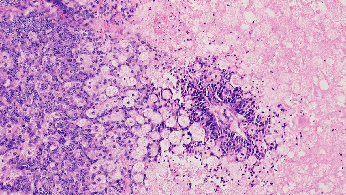
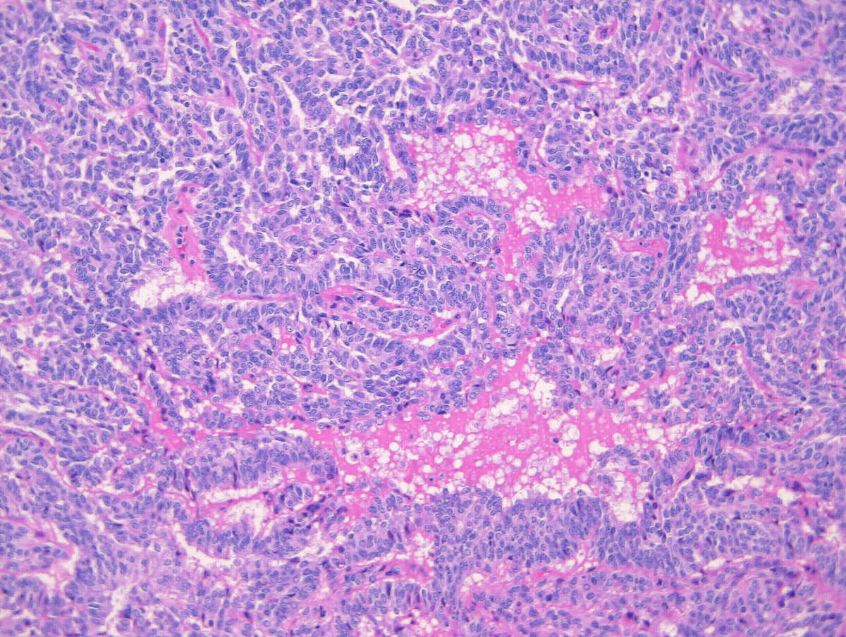
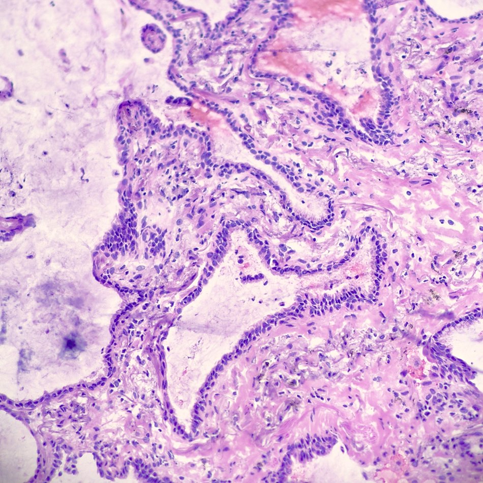
62/F with no other history of tumor presented with this ovarian mass. Whole tumor looks like this. No teratoma found in the ovary #GYNpath

62/F with no other history of tumor presented with this ovarian mass. Whole tumor looks like this. No teratoma found in the ovary #GYNpath
Johanna Savage, MD (@jmsavagemd) 's Twitter Profile Photo

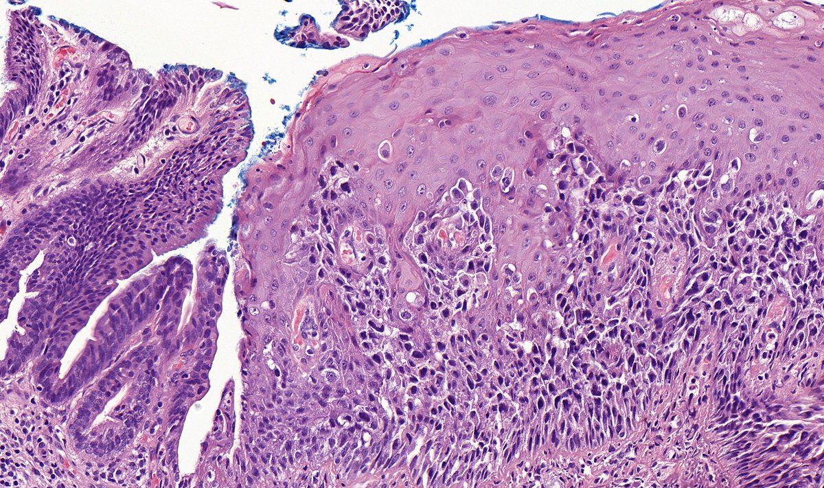
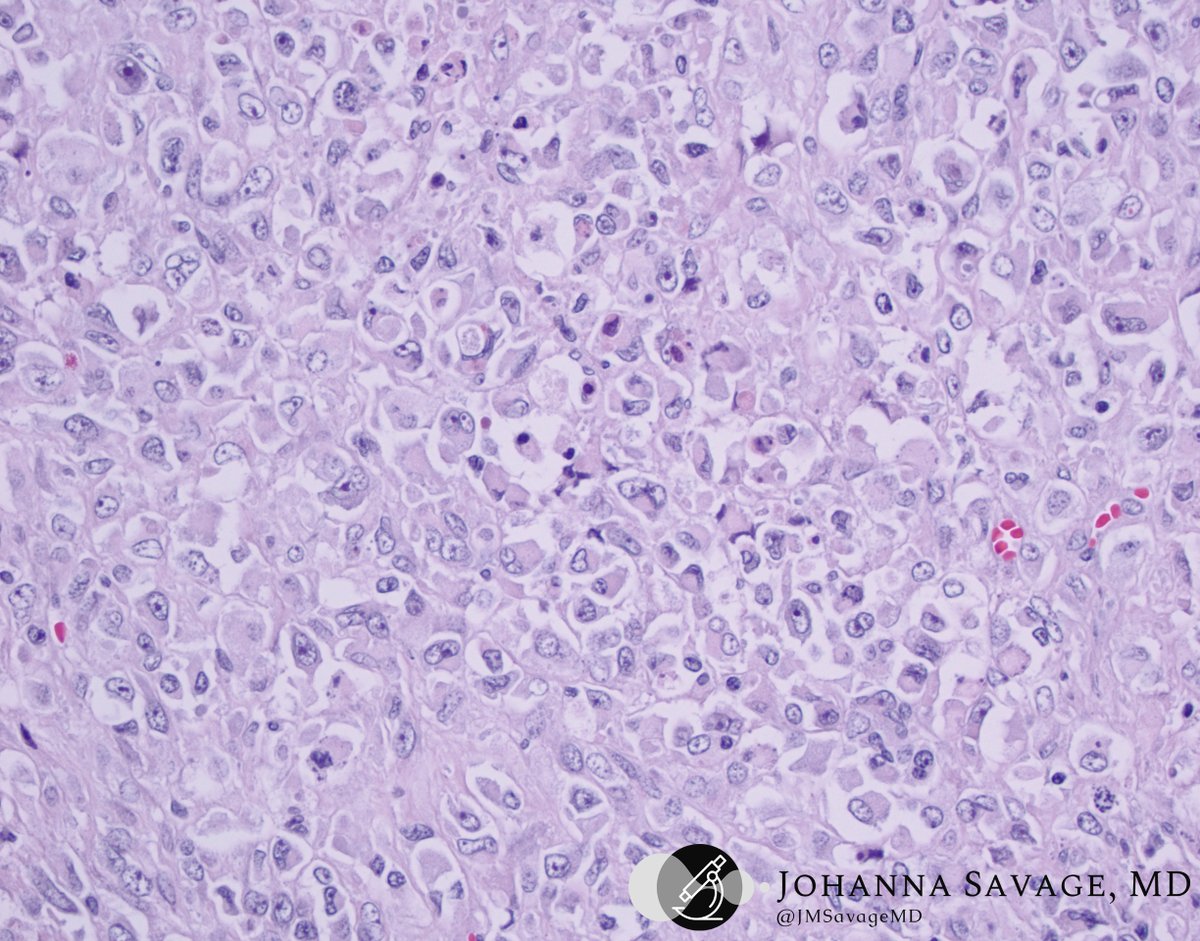
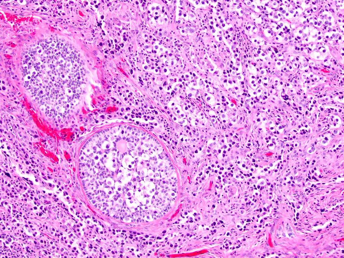
#gynpath #ovary #OSUWexMed A late Friday treat: Ovarian mass What would you want to know about this patient? What would be your work-up and diagnosis? Follow-up to come on Monday...

#gynpath #ovary #OSUWexMed 

A late Friday treat: Ovarian mass

What would you want to know about this patient?
What would be your work-up and diagnosis?

Follow-up to come on Monday...
Brendan Dickson, MD (@b_c_dickson) 's Twitter Profile Photo

UNKNOWNS (2020.07.31). IHC: S100 (negative for: desmin, SMA, CD34, panCK). Hx: elderly patient with shoulder mass; no significant prior history.

UNKNOWNS (2020.07.31). IHC: S100 (negative for: desmin, SMA, CD34, panCK). Hx: elderly patient with shoulder mass; no significant prior history.
Craig Horbinski (@craighorbinski) 's Twitter Profile Photo

Mass in the nasal cavity of a 65 year-old woodworker. Diagnosis? #pathology #neuropath #PathTwitter #headandneck #ENTpath #otolaryngology

Mass in the nasal cavity of a 65 year-old woodworker. Diagnosis? #pathology #neuropath #PathTwitter #headandneck #ENTpath #otolaryngology
Gülsan Sucak (@gulsansucak) 's Twitter Profile Photo

112’ye ulaşamıyoruz, doktorlar umursamıyor, yatması gereken hastayı eve gönderiyor şeklinde sitemler okuyorum. Sizce 112’ye neden ulaşılamıyor veya doktorlar neden yatması gereken hastayı eve gönderiyor, neden acilde sandalyede takip ediliyor hastalar?

Gizem Toker (@gzmtkr_md) 's Twitter Profile Photo

Küçük kız büyüdü… 5 quads!!! Olimpiyatları düşünemiyorum… 💪🏾💪🏾 go quad queen 🔥🔥🔥 Alexandra TRUSOVA Free Skate 2021 - 2022 Russian test Skates youtu.be/Mfl65uqDtVE YouTube aracılığıyla

Jennifer N Stall, MD (@jnstallmd) 's Twitter Profile Photo

.Carlos Parra-Herran MD reviews the current spectrum of uterine myxoid mesenchymal uterine neoplasms and the WHO criteria for diagnosing entities in the differential USCAP International Society of Gynecologic Pathologists companion society meeting! #USCAP2022 #gynpath

.<a href="/CPHpath/">Carlos Parra-Herran MD</a> reviews the current spectrum of uterine myxoid mesenchymal uterine neoplasms and the WHO criteria for diagnosing entities in the differential <a href="/TheUSCAP/">USCAP</a> <a href="/ISGynP/">International Society of Gynecologic Pathologists</a> companion society meeting! #USCAP2022 #gynpath
Anne Mills (@annemillsmd) 's Twitter Profile Photo

This data supports what we have suspected since the TCGA data first came out: FIGO grading really only matters for endometrial cancers in the NSMP group. For the rest POLE, MMR, and TP53 status really dictates behavior. #gynpath USCAP #USCAP2022

This data supports what we have suspected since the TCGA data first came out: FIGO grading really only matters for endometrial cancers in the NSMP group.  For the rest POLE, MMR, and TP53 status really dictates behavior.  #gynpath <a href="/TheUSCAP/">USCAP</a> #USCAP2022
Marcos Lepe, MD (@marcoslepemd) 's Twitter Profile Photo

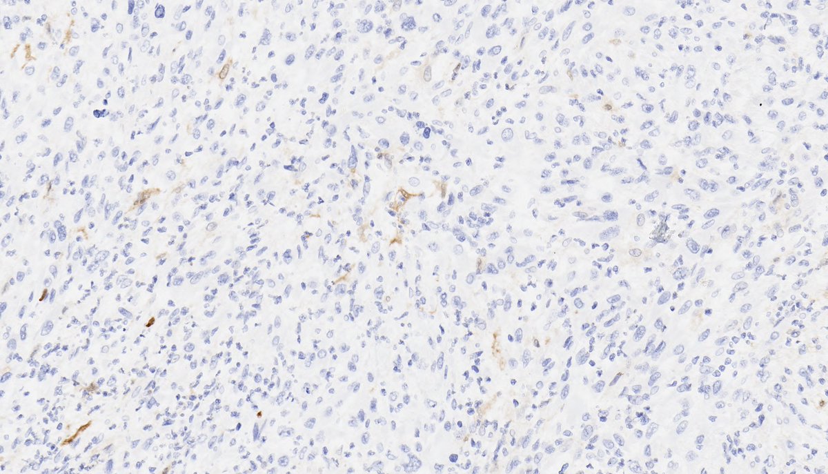
Dr David Jou's #Gynpath platform (from @BIDMCPath) Aberrant staining pattern in endometrial cancers w MMR ihc #USCAP2022 #USCAP22

Dr David Jou's #Gynpath platform (from @BIDMCPath)               

Aberrant staining pattern in endometrial cancers w MMR ihc

#USCAP2022 #USCAP22
Syed Z. Ali (@sza_jhcyto) 's Twitter Profile Photo

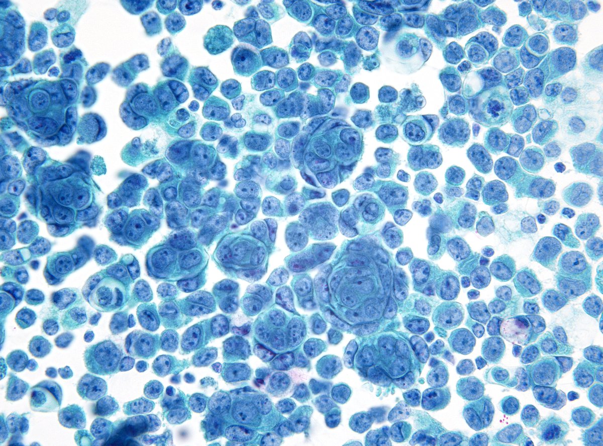
"Micromorules" of a metastatic "Cholangiocarcinoma" in Pleural Fluid. Near 100% of cells in the field are malignant. (Cytospin)

"Micromorules" of a metastatic "Cholangiocarcinoma" in Pleural Fluid. Near 100% of cells in the field are malignant. (Cytospin)
Gloria Sura, MD (@gloria_suramd) 's Twitter Profile Photo

Fine needle aspiration of a thyroid nodule revealing arborizing papillae of tumor cells. What is the diagnosis? Answer: kikoxp.com/posts/11784 #PathArt #CytoPath #PathTwitter #MedTwitter #Cytology

Fine needle aspiration of a thyroid nodule revealing arborizing papillae of tumor cells. What is the diagnosis? Answer: kikoxp.com/posts/11784 #PathArt #CytoPath #PathTwitter #MedTwitter #Cytology