Guille Ibernón
@guilleibernon
Médico residente de pediatría. TEP estable desde 1993. Política a ratos. Aún no he superado la muerte de Mufasa. #STOPseudociencias
ID: 181265861
21-08-2010 19:03:03
18,18K Tweet
935 Followers
791 Following
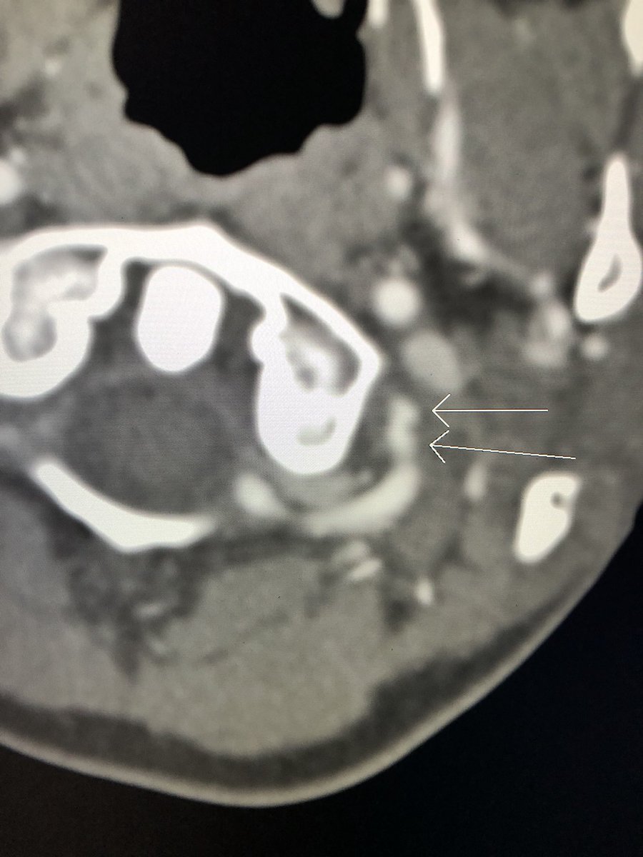
Una disección de la arteria vertebral, después de "tronarse" el cuello con un quiropráctico 😱😱😱 vía Rishi Seth, MD Por cierto, los quiroprácticos no son #Médicos, y mucho menos, científicos, aunque avalen colchones por aquí y por allá.
Llevamos Miguel Encinoso💉 y yo detrás en el autobús a dos señoras diciendo que solo leen el ABC, que el Holocausto es mentira y que ojalá volviera Franco. Nos vamos a bajar del bus en el año 1950 por lo menos.