
Gustave Roussy Research 🔬
@g_r_research
Pioneering oncology research. Bridging fundamental, translational, and clinical research to advance precision medicine @GustaveRoussy 👩🔬👨🔬
ID: 1881711522650439680
https://www.gustaveroussy.fr/ 21-01-2025 14:35:00
31 Tweet
37 Followers
65 Following

📢 CRIS contra el cáncer and Gustave Roussy are partnering to offer an exciting opportunity for a talented early career clinician scientist to develop their academic skills and expertise. 🗓️ Deadline open until 28 February ⬇ ⬇ ⬇ criscancer.org/es/gustaverous…


📰 We are thrilled to share our paper in Nature Reviews Cancer: "The Evolutionary Theory of Cancer: Challenges and Potential Solutions" by Lucie Laplane (Gustave Roussy) and Carlo Maley (Arizona State University). Read the full paper here ⤵ nature.com/articles/s4156…


📰 Le Dr Elie Rassy, oncologue médical au sein du comité de pathologie mammaire de Gustave Roussy et co-investigateur d’ETNA, revient en cinq questions sur cet essai clinique. 🔗 gustaveroussy.fr/fr/news-5-ques…



📰 Gustave Roussy Authorised to Conduct Phase I Clinical Trials in Nuclear Medicine. 🎯 The Institute can now evaluate innovative radioligands administered for the first time or at an early stage in humans. More informations 👉 gustaveroussy.fr/en/news-gustav…





📣 We are excited to announce the first scientific day on liquid biopsy, organized by Gustave Roussy and the Prism Center, taking place on June 11, 2025, in Paris! 🧬🔬 🔗 More information & registration: gustaveroussy.my.site.com/formation/s/fo…

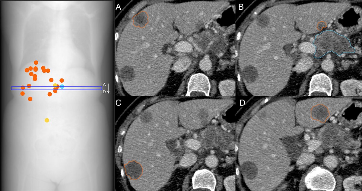
📢 New publication from Gustave Roussy researchers & collaborators in Nature Cancer further supports the tumor-agnostic indication of pembrolizumab ! 📢 Read the study: doi.org/10.1038/s43018…


New data in pancreatic #cancer! The NEOPAN Phase III trial led by Prof. Michel Ducreux (Gustave Roussy) shows FOLFIRINOX improves PFS vs gemcitabine in LAPC, with similar OS and QoL. 👉 doi.org/10.1200/JCO-24… #PancreaticCancer #OncoResearch #FOLFIRINOX


📰 Beyond RET Inhibitors: New Targets Emerging in RET+ Lung #Cancer Mihaela Aldea / Arianna Marinello, MD / RETpositive Read publication: jamanetwork.com/journals/jamao…