Francesco Giannini (@fra_giannini1) 's Twitter Profile
Francesco Giannini

@fra_giannini1

ID: 1159419910621224960

calendar_today08-08-2019 11:03:42

22 Tweet

361 Takipçi

240 Takip Edilen

Profesor Dariusz Dudek - kardiolog (@pkardiolog) 's Twitter Profile Photo

15.12.2020 wykonaliśmy w Europie pierwsze zabiegi angioplastyki wieńcowej (PCI) z zastosowaniem najnowszej generacji robota sterującego ruchami cewników, prowadników i systemami dostarczania stentów. Kolejna rewolucja w kardiologii interwencyjnej i kardiologii cyfrowej XXI wieku.

15.12.2020 wykonaliśmy w Europie pierwsze zabiegi angioplastyki wieńcowej (PCI) z zastosowaniem najnowszej generacji robota sterującego ruchami cewników, prowadników i systemami dostarczania stentów. Kolejna rewolucja w kardiologii interwencyjnej i kardiologii cyfrowej XXI wieku.
EuroIntervention (@eurointerventio) 's Twitter Profile Photo

"Coronary sinus narrowing for the treatment of refractory angina A multi-center prospective open-label clinical study (The REDUCER-I study)" by Stefan Verheye et al. #EAPCI bit.ly/3gR4kPm

"Coronary sinus narrowing for the treatment of refractory angina A multi-center prospective open-label clinical study (The REDUCER-I study)" by Stefan Verheye et al. #EAPCI
bit.ly/3gR4kPm
EuroIntervention (@eurointerventio) 's Twitter Profile Photo

"Twelve-month clinical and imaging outcomes of the uncaging coronary DynamX bioadaptor system" by Stefan Verheye et al. #EAPCI bit.ly/2R8qqR8

"Twelve-month clinical and imaging outcomes of the uncaging coronary DynamX bioadaptor system" by Stefan Verheye et al. #EAPCI
bit.ly/2R8qqR8
Profesor Dariusz Dudek - kardiolog (@pkardiolog) 's Twitter Profile Photo

Końcem stycznia 2021 polsko-włoski zespół badawczy wykonał badania dostępu do tętnic wieńcowych po założeniu zastawek TAVI oraz zastawek TAVI w zdegenerowana zastawkę chirurgiczna. Grupa badawcza przedstawi publikacje pokazujące techniki przedoperacyjnego planowania zabiegów.

Końcem stycznia 2021 polsko-włoski zespół badawczy wykonał badania dostępu do tętnic wieńcowych po założeniu zastawek TAVI oraz zastawek TAVI w zdegenerowana zastawkę chirurgiczna. Grupa badawcza przedstawi publikacje pokazujące techniki przedoperacyjnego planowania zabiegów.
Giorgos Tzanis (@tzanis_giorgos) 's Twitter Profile Photo

Our letter in @Eurointervention about pitfalls in functional capacity estimation of chronic angina population. eurointervention.pcronline.com/article/letter… Francesco Giannini #angina #eurointervention #EHJ #chronicangina #reducer #coronaryarterydisease #henrydunanthospitalcenter

MyJSCAI (@myjscai) 's Twitter Profile Photo

Coronary Sinus Reducer to Improve Angina: -n=15 -greater ischemia improvement with smaller CS sizes -suggests mechanism of Reducer non-responsiveness in 15-30% of pts onlinelibrary.wiley.com/doi/full/10.10… Follow @CCIJournal, facebook.com/CCIJournal Official Journal of SCAI

Coronary Sinus Reducer to Improve Angina:
-n=15
-greater ischemia improvement with smaller CS sizes
-suggests mechanism of Reducer non-responsiveness in 15-30% of pts

onlinelibrary.wiley.com/doi/full/10.10…

Follow @CCIJournal, facebook.com/CCIJournal
Official Journal of <a href="/SCAI/">SCAI</a>
Sici GISE (@sicigise) 's Twitter Profile Photo

Parte il Journal Club del GISE Young in collaborazione con i fellows del MCH di Cotignola. Ogni venerdì mattina un membro GISE Young presenterà online un paper pubblicato sulle top riviste. Primo appuntamento venerdì 30 aprile ore 7.30, link zoom via mailing list GISE Young.

EuroIntervention (@eurointerventio) 's Twitter Profile Photo

Just Accepted Article: A computed tomography-based, three-dimensional multi-parametric imaging approach to evaluate coronary access following ACURATE Neo implantation in a degenerated surgical bioprosthesis. ow.ly/6fSs50FWTn3

Just Accepted Article: A computed tomography-based, three-dimensional multi-parametric imaging approach to evaluate coronary access following ACURATE Neo implantation in a degenerated surgical bioprosthesis. ow.ly/6fSs50FWTn3
lisa lynch (@lisa_lynch1) 's Twitter Profile Photo

Arif Khokhar #EuroPCR2022 #winner Jonathan Curio Francesco Giannini Congratulations to Arif and all the team for demonstrating coronary access after Valve in Valve with ACURATE neo: ex vivo analysis

<a href="/DrArifK/">Arif Khokhar</a> #EuroPCR2022 #winner
<a href="/CurioJonathan/">Jonathan Curio</a> <a href="/fra_giannini1/">Francesco Giannini</a> 

Congratulations to Arif and all the team for demonstrating coronary access after Valve in Valve with ACURATE neo: ex vivo analysis
Alessandro Beneduce (@abeneducemd) 's Twitter Profile Photo

Join us today for an exciting session on aortic stenosis lifetime management ❤️with a brand new #simulation approach 🤖and get hands on insights 📍BostonSci Cardiology Training Village 🕒 14:45 - 15:45 #EuroPCR 2024 🇫🇷 Arif Khokhar Francesco Giannini PCRonline 🫀 #TAVI #TAVR

Join us today for an exciting session on aortic stenosis lifetime management ❤️with a brand new #simulation approach 🤖and get hands on insights 

📍<a href="/BSCCardiology/">BostonSci Cardiology</a> Training Village 
🕒 14:45 - 15:45 #EuroPCR 2024 🇫🇷 

<a href="/DrArifK/">Arif Khokhar</a> <a href="/fra_giannini1/">Francesco Giannini</a> <a href="/PCRonline/">PCRonline 🫀</a> #TAVI #TAVR
CJC Journals (@cjcjournals) 's Twitter Profile Photo

✍️ Read a new #editorial in #CJC regarding an elegant bench study by Francesco Giannini and colleagues looking at coronary access following VIV #TAVR. Coronary access might be challenging and all THV platforms are different. onlinecjc.ca/article/S0828-…

✍️ Read a new #editorial in #CJC regarding an elegant bench study by <a href="/fra_giannini1/">Francesco Giannini</a> and colleagues looking at coronary access following VIV #TAVR. Coronary access might be challenging and all THV platforms are different.
onlinecjc.ca/article/S0828-…
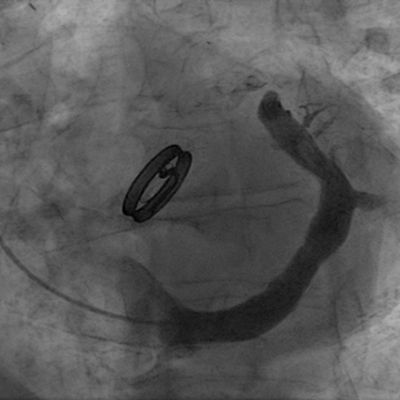
Julio Farjat Pasos (@julio_farjat) 's Twitter Profile Photo

Francesco Giannini presenting the results of First-in-human experience with a novel self-expandable coronary sinus reducer for treating symptomatic epicardial and microvascular ischemic heart disease at #TCT2025 Cardiovascular Research Foundation VahatiCor Jean-Michel Paradis #CardioX #CardioTwitter #CardioEd

<a href="/fra_giannini1/">Francesco Giannini</a> presenting the results of First-in-human experience with a novel self-expandable coronary sinus reducer for treating symptomatic epicardial and microvascular ischemic heart disease at #TCT2025 <a href="/crfheart/">Cardiovascular Research Foundation</a> <a href="/VahatiCor/">VahatiCor</a> <a href="/Jmparadis27/">Jean-Michel Paradis</a> 

#CardioX #CardioTwitter #CardioEd