Jonhan Ho (@forthejon) 's Twitter Profile
Jonhan Ho

@forthejon

Founder, KiKo. Dermpath Division/Fellowship Director, UPMC. Dad/Husband. Gets the same Starbucks drink each morning. Loves farm animals. Not that way you sicko.

ID: 170849095

linkhttps://kikoxp.com/jonhan_ho1 calendar_today25-07-2010 23:02:19

3,3K Tweet

4,4K Takipçi

2,2K Takip Edilen

Charles Herndon (@drcyclopath) 's Twitter Profile Photo

H&E shows atypical & pagetoid melanocytes 🔬kikoxp.com/slides/public/… SOX10 confirms melanocyte population with pleomorphic nuclei & pagetoid spread 🔬kikoxp.com/slides/public/… (➕) PRAME supports malignant transformation 🔬kikoxp.com/slides/public/… Answer: True, it is melanoma‼️

H&E shows atypical & pagetoid melanocytes
🔬kikoxp.com/slides/public/… 

SOX10 confirms melanocyte population with pleomorphic nuclei & pagetoid spread
🔬kikoxp.com/slides/public/…

(➕) PRAME supports malignant transformation
🔬kikoxp.com/slides/public/…

Answer: True, it is melanoma‼️
Christine J. Ko, MD (@christinejkomd) 's Twitter Profile Photo

Dr. Jaworsky and colleagues in ⁦JAAD Journals⁩ - just had a seborrheic keratosis that had a positive DermTech result #dermpath #pathology #dermatology #dermtwitter

Dr. Jaworsky and colleagues in ⁦<a href="/JAADjournals/">JAAD Journals</a>⁩ - just had a seborrheic keratosis that had a positive DermTech result #dermpath #pathology #dermatology #dermtwitter
MrBeast (@mrbeast) 's Twitter Profile Photo

I’m gonna give 10 random people that repost this and follow me $25,000 for fun (the $250,000 my X video made) I’ll pick the winners in 72 hours

Meredith Herman, DO (@meredithkherman) 's Twitter Profile Photo

My latest #dermpath commission #whitecoatartistry #PathX #PathArt #medicalart #sciencegift whitecoatartistry.etsy.com/listing/143316…

Jonhan Ho (@forthejon) 's Twitter Profile Photo

We're reviewing #dermpath candidates so get your apps in! Yes the website sucks. But the fellowship doesn't and neither do the Steelers. Our current & just graduated fellows - Matt Tsang Luis Borda John Paul Miller KS Oh,MD #pathtwitter #dermtwitter. dermpath.upmc.edu/Applications/d…

We're reviewing #dermpath candidates so get your apps in! Yes the website sucks. But the fellowship doesn't and neither do the Steelers. Our current &amp; just graduated fellows - <a href="/MTsang24/">Matt Tsang</a> Luis Borda <a href="/JohnpmillerMD/">John Paul Miller</a> <a href="/KeiShingOh/">KS Oh,MD</a>
#pathtwitter #dermtwitter.

dermpath.upmc.edu/Applications/d…
Jonhan Ho (@forthejon) 's Twitter Profile Photo

Can you guess the stain? The diagnosis? From scanning mag? Then you are a dermpath master. kikoxp.com/posts/59628 #dermpath #dermtwitter #pathtwitter

Jonhan Ho (@forthejon) 's Twitter Profile Photo

A nice, real world case from my mentor Dr. Jukic. Exercise your brains with this melanocytic lesion. kikoxp.com/posts/58520 #dermtwitter #pathtwitter #dermpath

Jonhan Ho (@forthejon) 's Twitter Profile Photo

Play the Hi - Lo game... what's the diagnosis based on the hi mag pic? Then see the wsi to see if you're right... kikoxp.com/posts/60070

Play the Hi - Lo game... what's the diagnosis based on the hi mag pic?  Then see the wsi to see if you're right... kikoxp.com/posts/60070
Jonhan Ho (@forthejon) 's Twitter Profile Photo

A difficult acral melanocytic neoplasm from Dr. Marks, who walks through the steps he used to work it up. Would you have worked it up differently? If all you had was H&E what would you call it? kikoxp.com/posts/60708 #dermpath #dermtwitter #PathTwitter #MedTwitter

Jonhan Ho (@forthejon) 's Twitter Profile Photo

Amelanotic halo nevus in a young woman... or is it melanoma? Look at the H&E first, then commit to a diagnosis. Then the IHC, and (re)commit. Then molecular. I won't spoil for you what the conclusion by my mentor is! kikoxp.com/posts/62415 #pathtwitter #dermpath #dermtwitter

Jonhan Ho (@forthejon) 's Twitter Profile Photo

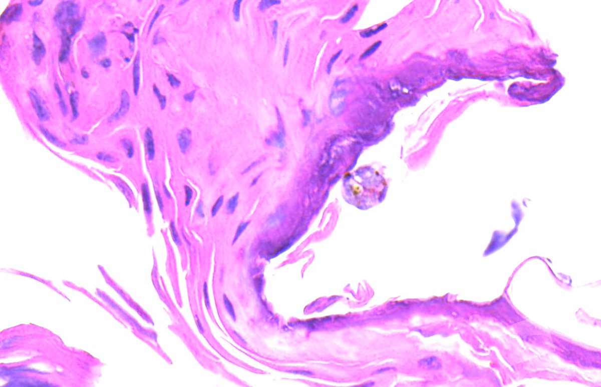
Advanced dermpath case. A 26 year with a difficult melanocytic neoplasm. I would love to know what everyone thinks - would you have worked it up differently? What would your diagnosis be? #dermtwitter #dermpath #pathtwitter kikoxp.com/posts/64162