
laish
@fmlaish
MBBS, DMJ (Path), FCRPath; orcid.org 0000-0001-6811-7377
ID: 3568611375
https://www.scopus.com/authid/detail.uri?authorId=14522780100 06-09-2015 18:10:57
573 Tweet
62 Followers
134 Following




Kevin Chua as the congress co-chair announcing and inviting everyone for the next Asian Society of Neuro Oncology #ASNO2024 in Singapore. See you all in Singapore! #NeuroOncology










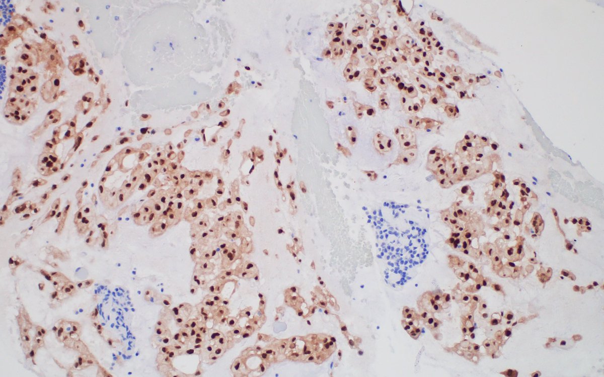
SNO USCAP AANP Malnati Brain Tumor Institute at Northwestern Northwestern Pathology Neurosurgery at NM CAPathologists This is a central neurocytoma. Other tumors like oligodendroglioma and ependymoma are in the differential based on histology and/or location, but the strong and uniform synaptophysin supports the diagnosis.



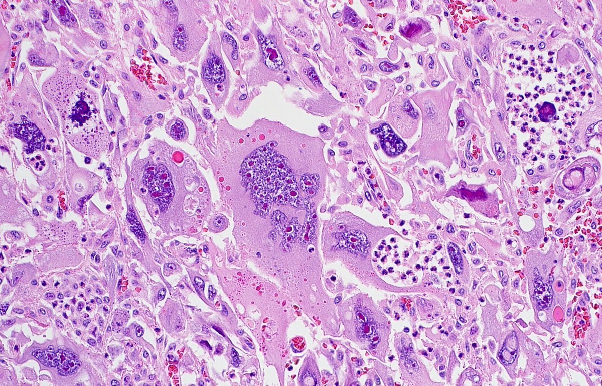
SNO AANP USCAP Malnati Brain Tumor Institute at Northwestern Northwestern Pathology Neurosurgery at NM CAPathologists BTW, gliosarcoma is a subtype of GBM, basically a microscopic descriptor. Gliosarcoma should NOT be the top-line diagnosis, as it might mislead clinicians and patients into thinking it's a completely different tumor.



George J. Netto MD George J. Netto’s lecture “Precision Pathology: The Future is Now” echoed Rosai’s legacy, showing how surgical pathology evolves into precision pathology. The future is already here. 🌍🔬✨ #ECP2025 #Pathology #Rosai #Netto European Society of Pathology (ESP) GU Pathology Society (GUPS) International Society of Urological Pathology
