Nene Nomo E. T. (@etnomo) 's Twitter Profile
Nene Nomo E. T.

@etnomo

Biomedical Scientist | Composer | Music Producer |
Opinions ≠ Medical Advice | My Views = My Own | Non Conformance

ID: 337587269

calendar_today18-07-2011 08:03:47

829 Tweet

30 Followers

63 Following

Only Cells Shop (@onlycellsshop) 's Twitter Profile Photo

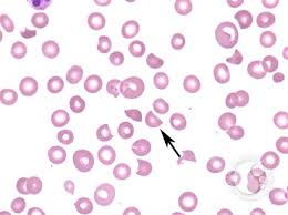
🩸#MorphologyMonday | Case MM251201 onlycells.co.uk/mm251201/ This week’s case comes from a 46-year-old male presenting with fatigue, mild shortness of breath, and light-headedness. Routine blood tests showed some abnormalities, prompting a blood film review. FBC Results: - Hb:

🩸#MorphologyMonday | Case MM251201

onlycells.co.uk/mm251201/

This week’s case comes from a 46-year-old male presenting with fatigue, mild shortness of breath, and light-headedness. Routine blood tests showed some abnormalities, prompting a blood film review.

FBC Results:
 - Hb:
Dr sthanu subramanian (@drsthanus) 's Twitter Profile Photo

A detailed differential diagnosis chart for lymphocytosis. It categorizes lymphocytes based on their morphology in a blood smear into monomorphic (suspect neoplastic, or malignant) and pleomorphic (suspect reactive, usually due to infection or inflammation) types.

A detailed differential diagnosis chart for lymphocytosis.

It categorizes lymphocytes based on their morphology in a blood smear into monomorphic (suspect neoplastic, or malignant) and pleomorphic (suspect reactive, usually due to infection or inflammation) types.
Kwadwo Sheldon (@kwadwosheldon) 's Twitter Profile Photo

Three Medical Laboratory Doctors showed up at my gate. They’ve completed school but have no jobs. The government has refused to post them, so they’ve brought their issue to KSS to amplify their voices. They’ve moved from emailing me to physically coming to the studio because the

Samer Al Hadidi, MD,MS,FACP (@hadidisamer) 's Twitter Profile Photo

One of the best resources #ASH25 ASH #mmsm ➡️ ashpublications.org/hematology Check educational articles across all haematological disorders

One of the best resources #ASH25 <a href="/ASH_hematology/">ASH</a> #mmsm

➡️ ashpublications.org/hematology

 Check educational articles across all haematological disorders
Dr. Rahul Baxi (@baxirahul) 's Twitter Profile Photo

Knowledge doesn’t equal immunity. Doctors face the same metabolic risks as the population with long work hours, stress, poor sleep and inactivity. #Medtwitter

Knowledge doesn’t equal immunity. Doctors face the same metabolic risks as the population with long work hours, stress, poor sleep and inactivity.

#Medtwitter
Dr. Filippo Cademartiri (@fcademartiri) 's Twitter Profile Photo

🧠🫀 Does Lipoprotein(a) Increase Dementia Risk? Large Cohort Data Say: Mostly No With potent Lp(a)-lowering therapies approaching clinical practice, concerns have emerged about potential unintended effects on cognition and dementia. This large study directly addresses that

🧠🫀 Does Lipoprotein(a) Increase Dementia Risk? Large Cohort Data Say: Mostly No

With potent Lp(a)-lowering therapies approaching clinical practice, concerns have emerged about potential unintended effects on cognition and dementia. This large study directly addresses that
Microbiology Society (@microbiosoc) 's Twitter Profile Photo

Abstracts submissions are open for Early Career Summer Conference 2026. Hear from invited speakers and network with fellow early career members between 6—7 July. Registration opens 28 January: microb.io/ECConf26Abstra… #ECConf26 Uni of Birmingham

Abstracts submissions are open for Early Career Summer Conference 2026. Hear from invited speakers and network with fellow early career members between 6—7 July. Registration opens 28 January: microb.io/ECConf26Abstra… #ECConf26 <a href="/unibirmingham/">Uni of Birmingham</a>
Jerad Gardner, MD (@jmgardnermd) 's Twitter Profile Photo

80 yo man with slowly growing firm white scar-like plaque on scalp. Answer ✅ youtu.be/pdQk2vx1Dtw?si… WSI digital slide: kikoxp.com/posts/5125. #BSTpath #pathology #pathologists #pathTwitter #dermpath #dermatology #dermatologia #dermtwitter

80 yo man with slowly growing firm white scar-like plaque on scalp.
Answer ✅  youtu.be/pdQk2vx1Dtw?si…
WSI digital slide: kikoxp.com/posts/5125. 
#BSTpath #pathology #pathologists #pathTwitter #dermpath #dermatology #dermatologia #dermtwitter
Dr. John Cush (@rheumnow) 's Twitter Profile Photo

Diffuse Alveolar Hemorrhage in Rheumatic Disease A retrospective, cross-sectional, single-center study of adult rheumatic disease patients with diffuse alveolar hemorrhage (DAH), demonstrates a high proportion have coexistent pulmonary infection and significant mortality risk.

Diffuse Alveolar Hemorrhage in Rheumatic Disease 

A retrospective, cross-sectional, single-center study of adult rheumatic disease patients with diffuse alveolar hemorrhage (DAH), demonstrates a high proportion have coexistent pulmonary infection and significant mortality risk.
Pharm. Greatman (@ogreat6) 's Twitter Profile Photo

HEPATITIS B: LIES AND TRUTHS Hepatitis B is one of the most misunderstood infections. Because of fear, many people avoid testing, treatment, or even those living with it. Let’s clear the air Let me tell you what is true about hepatitis B Check my comments below 👇🏾

HEPATITIS B: LIES AND TRUTHS

Hepatitis B is one of the most misunderstood infections. 

Because of fear, many people avoid testing, treatment, or even those living with it. 

Let’s clear the air
Let me tell you what is true about hepatitis B
Check my comments below 👇🏾
Dr Meenakshi (@dr__meenakshii) 's Twitter Profile Photo

This is new born blood spot (NBBS) taken from babies on day 5 with the consent of their parents, its’s helps to investigate if the child has any inherited diseases