
Vikas Agarwal
@vikasagarwalmd
Neuroradiologist and Spine Interventionalist @UPMC, Professor and VC Education, Chief Neuroradiology @PittRadiology, triple Terrier
ID: 2970656847
http://radiology.pitt.edu 10-01-2015 00:59:17
1,1K Tweet
626 Followers
273 Following





ASSR COTW History: Headaches & Vision Changes Case c/o Alexis Salsbury from UPMC Radiology #SpineRad #NeuroRad #MedEd #FOAMed #FOAMrad #neuroradiology #radiology


Take your head & neck skills to the next level 🚀 with our expert panel of speakers at the "Head & Neck: Tumor Board" session #ENRS2025! Join us: enrs.org/enrs-2025 C Douglas Phillips 🇺🇸, Michael Bazylewics, Philip Schaner, Katie S. Traylor MS, DO, DABR, Rihan Khan, Barton Branstetter




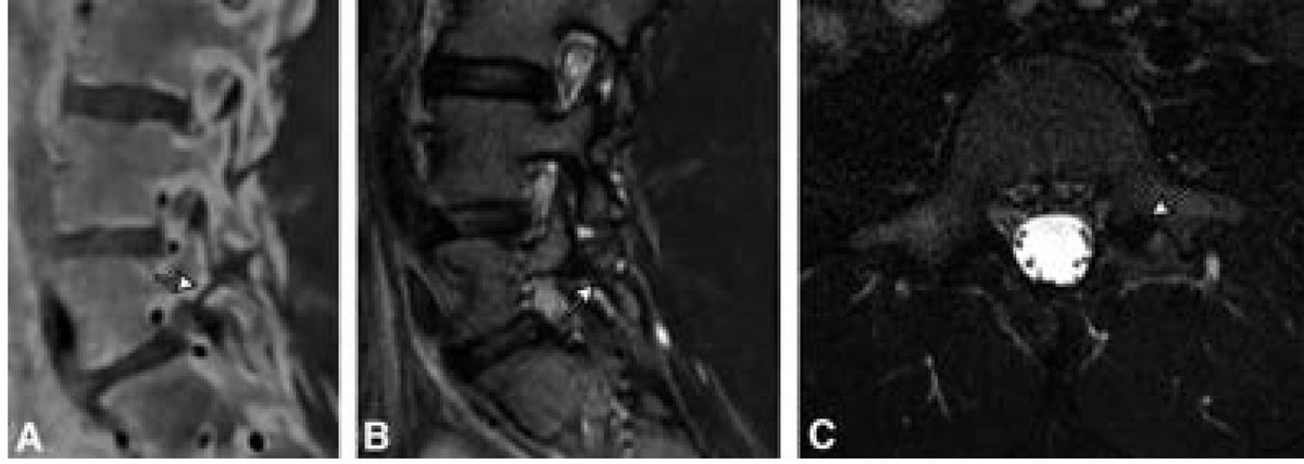
ASSR COTW History: Spontaneous intracranial hypotension (SIH) refractory to nontargeted epidural blood patches Case c/o Tim Amrhein, MD from Duke Radiology #SpineRad #NeuroRad #MedEd #FOAMed #FOAMrad #neuroradiology #radiology



Your favorite conference is just one week away! Don't miss our keynote session on the Future of Radiology by the amazing Neil Rofsky, MD, MHA, Erin Simon Schwartz, MD, FACR (she/her), and Dr. R. Nick Bryan!🤩 Still not too late to register and join us in beautiful Stowe! 🌄 enrs.org/enrs-2025



Welcome to my #Tweetorial on Romero GT et al’s manuscript on Laryngotracheal stenosis and why it is important for radiologists. pubs.rsna.org/doi/10.1148/rg… #RGphx 1/24 Almudena Perez Cooky Menias


Was a pleasure to host the Spine & Scoliosis Support Group - our favorite event at the SCOLI Lab! Multidisciplinary care is possible thanks to collaborations with experts like Dr. Vikas Agarwal. Stay tuned for the next one🤞🏻 #SpineCare #Scoliosis #SCOLI #Neurosurgery



Thank you to Amish Doshi and The Eastern Neuroradiological Society for the invitation to speak at #enrs2025 on #lumbosacralplexus. Great #neuroradiology programming and amazing time catching up with colleagues and friends. Weill Cornell Medicine Radiology



