A Poet (@poetandwriting) 's Twitter Profile
A Poet

@poetandwriting

Writing ✍️,Music 🎶 ,Art 🖼, Comedy 🎭 , Passion 💃🏻 , 🏡SFL living & MS Warrior🎗️’03.BLM #FAUOwl 🇺🇸🇨🇺 ~ I have MS, but MS doesn’t have me!

ID: 1583170231060791296

calendar_today20-10-2022 18:56:22

3,3K Tweet

491 Followers

751 Following

Dr. Brandon Beaber (@brandon_beaber) 's Twitter Profile Photo

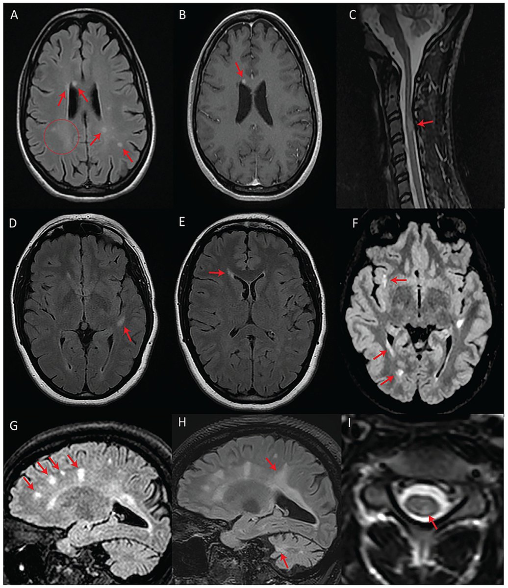
Are these MRI findings in people with multiple sclerosis? Shockingly, NO! They actually have Wolfram syndrome (WFS), a rare genetic disorder associated with pathogenic variants in WFS1 and is linked to optic atrophy, hearing loss and diabetes. frontiersin.org/journals/neuro…

Are these MRI findings in people with multiple sclerosis?  Shockingly, NO!  They actually have Wolfram syndrome (WFS), a rare genetic disorder associated with pathogenic variants in WFS1 and is linked to optic atrophy, hearing loss and diabetes. frontiersin.org/journals/neuro…
Harry Sisson (@harryjsisson) 's Twitter Profile Photo

Jeffrey Epstein’s best friend is ranting incoherently on Christmas Eve. Someone take his phone away from him before it gets worse!

Jeffrey Epstein’s best friend is ranting incoherently on Christmas Eve. Someone take his phone away from him before it gets worse!
Candace D. (@diaryofasickgrl) 's Twitter Profile Photo

Unpopular opinion: you don’t automatically owe respect to your elders if they’re not respectful to you. Mutual respect matters regardless of age.