
Pennsylvania Radiological Society
@paradsoc
The Pennsylvania Radiological Society is a chapter of the #ACR. We represent radiologists, radiation oncologists, and radiation physicists throughout the state.
ID: 1625840616562204672
http://paradsoc.wildapricot.org 15-02-2023 12:53:22
374 Tweet
189 Followers
51 Following







Big #ImagingAI update from American College of Radiology -- Assess-AI is the first large-scale quality registry in AI that provides algorithm performance monitoring in clinical practice by capturing real-world data in a clinical setting. Learn more: bit.ly/3UYjFCS







🎯 Are you ready to supercharge your AI journey in 2025? "The 2025 AI Engineering Reading List" by Latent.Space is a nice collection of 50 papers, models, and blogs across ten areas in AI engineering: 🌐 Frontier LLMs 📊 Benchmarks and Evals 🔗 Prompting, In-context Learning,


📢Final Call📢, #MedStudents #MedTwitter! Applications for the American College of Radiology PIER program are open for just a few more days. Learn more & submit yours ASAP: bit.ly/3LMgKsh ACR RFS - We've Moved! Follow @RadiologyACR.



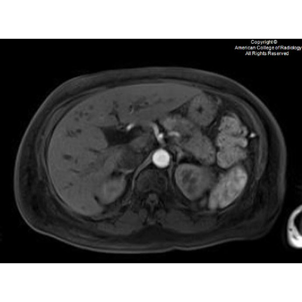
It's time for a new #SARgettable case of the week contributed by Amita Kamath. Comment with your diagnosis down below!


Calling all researchers in radiology & health policy! 📣 The Harvey L. Neiman Grant funds independent research by awarded investigators that extend the capabilities of Neiman HPI. Learn more & apply by Feb. 3: bit.ly/4fzZDpE



Interesting in optimizing teaching New Generational learners? Check out this article JACR Fatima Elahi Priscilla J Slanetz MD MPH

