
Gopal Punjabi
@ctspectral
Chair, Dept of Radiology @HennepinHC.
All views & opinions my own, nothing to do with employer.
I share my experience with Spectral CT, 3D CT, learning cases.
ID: 998967321397006338
http://www.ctspectral.com 22-05-2018 16:42:24
1,1K Tweet
2,2K Followers
310 Following







Thank you ESGAR for the Magna Cum Laude award of this #Esgar2023. This award is not only mine but also from my colleagues Dra.Canales, Dra. Garcia Latorre and nicolas almeida and great collaboration of Gopal Punjabi





A very informative and comprehensive review of “Multi-Energy CT of acute abdominal Emergencies” by Dr. Gopal Punjabi American Society of Emergency Radiology | ASER #ASER23 #ERad #Radiology #Radres



Excited to share that our educational exhibit on the current state of interstitial lung disease imaging was awarded a MAGNA CUM LAUDE award by RSNA. Please come check it out. UChicago Radiology UCSDRadRes Stephen Hobbs UW Radiology CU Radiology @UKyRadiology OHSU Radiology








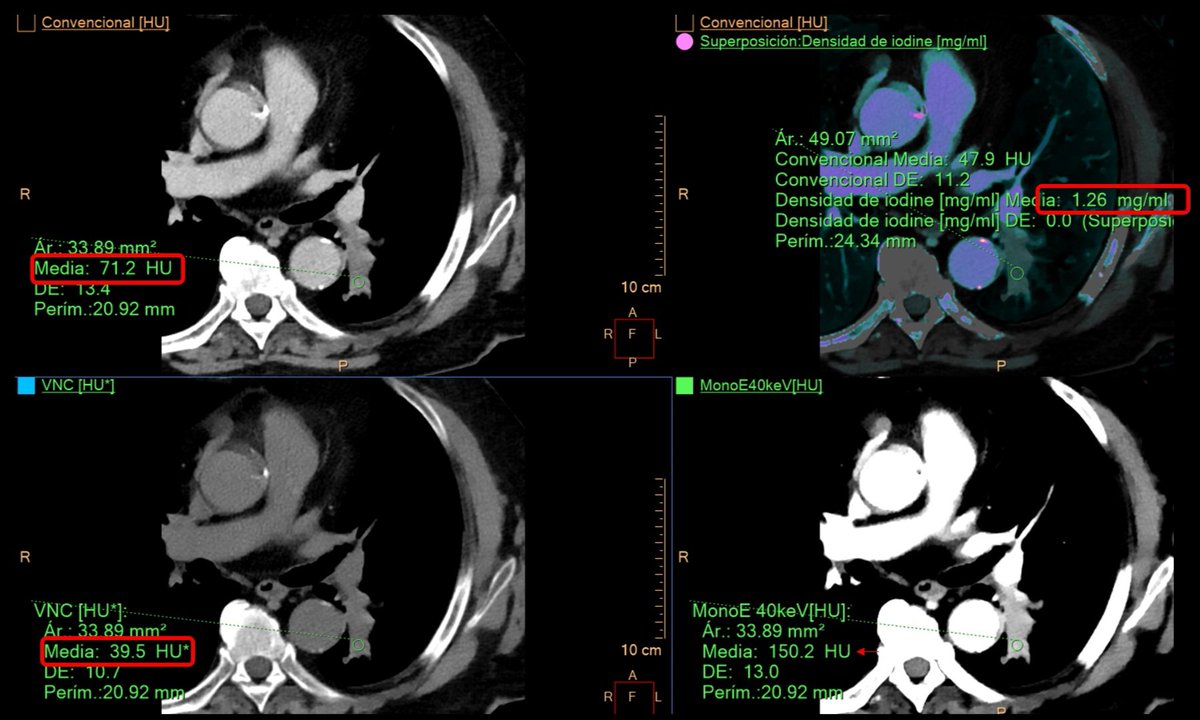
Attention to #spectral images! Gopal Punjabi ⚠️ The endobronchial content is enhancing --> solid! 1️⃣Virtual non-contrast (VNC)= 39HU 2️⃣Conventional= 71UH (>20UH compared to VNC) 3️⃣ Iodine density =1.26 mg/ml
