Farid Azmoudeh-Ardalan (@ardalanfarid) 's Twitter Profile
Farid Azmoudeh-Ardalan

@ardalanfarid

Pathologist, Professor of Pathology at Tehran University of Medical Sciences.

ID: 3272135450

calendar_today08-07-2015 17:57:47

268 Tweet

661 Followers

302 Following

ArezuRhn (@arezurhn) 's Twitter Profile Photo

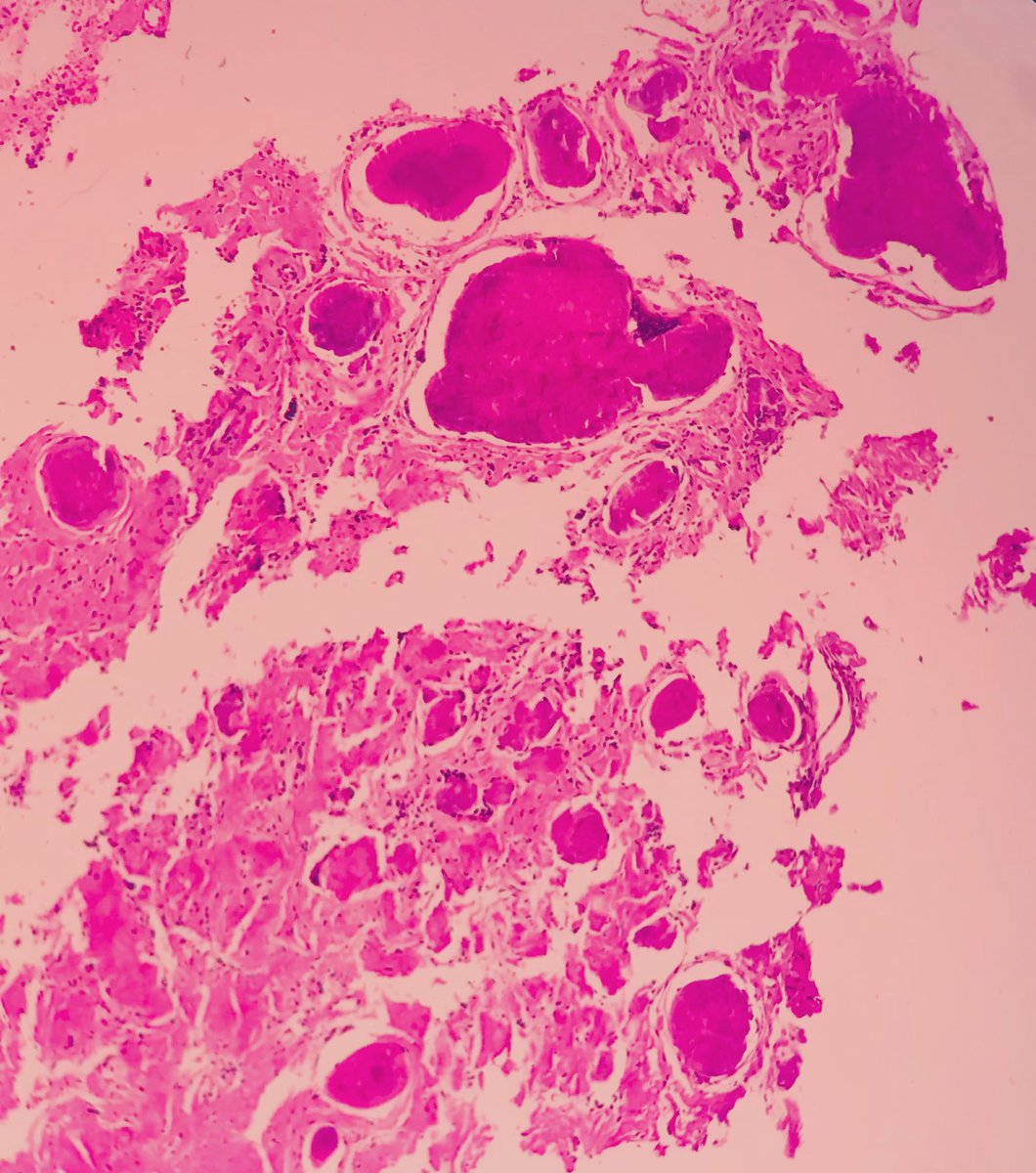
Amyloid deposition in true vocal cord in a young woman which is presented with dysphonia #Amyloidosis #PathTUMS #pathology

Amyloid deposition in true vocal cord in a young woman which is presented with dysphonia
#Amyloidosis 
#PathTUMS 
#pathology
ArezuRhn (@arezurhn) 's Twitter Profile Photo

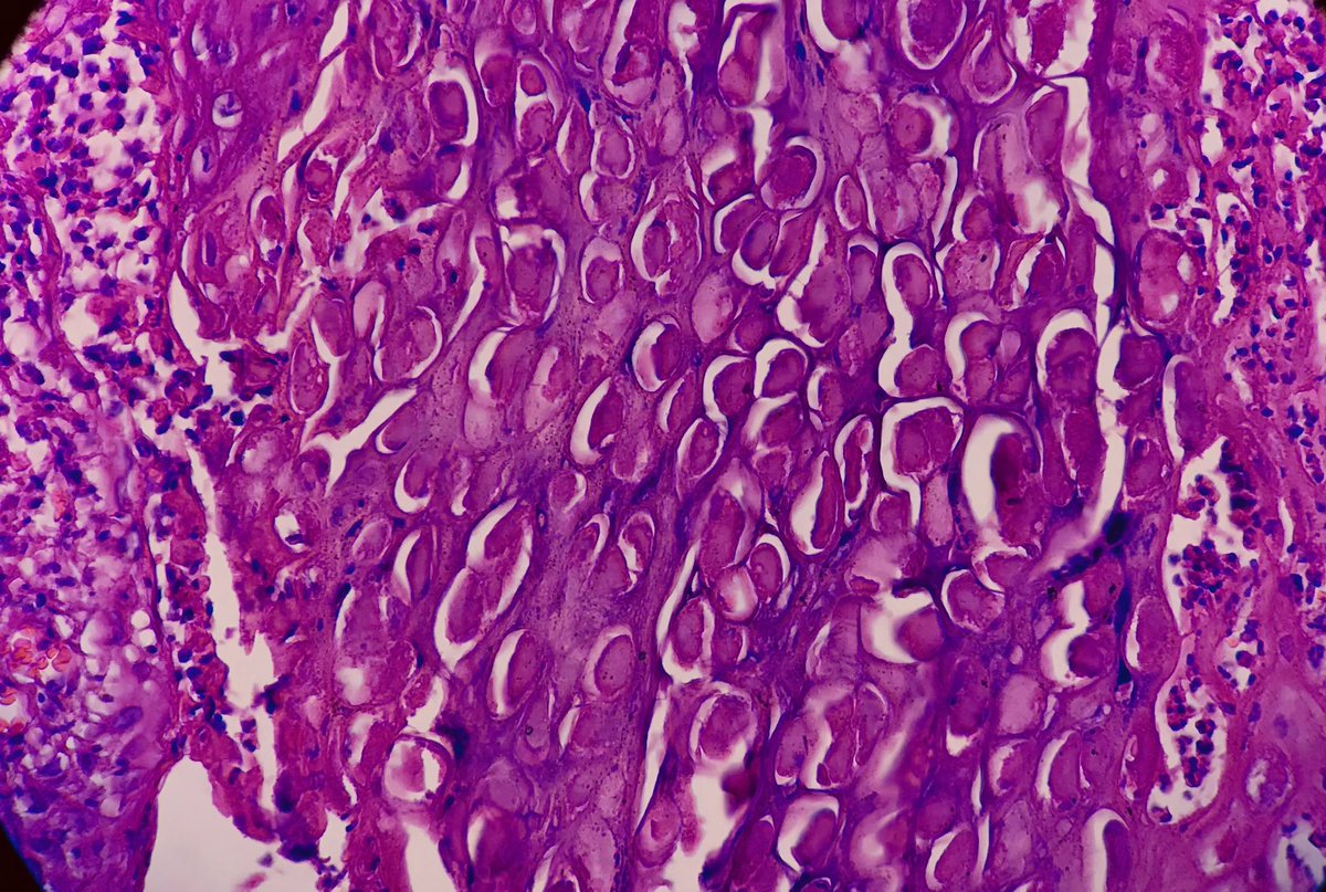
A 34-year-old woman with genital skin lesion Dx: Molluscum Contagiosum Henderson-Patterson bodies #Pathology😍 #Tums #PathTwitter

A 34-year-old woman with genital skin lesion
Dx: Molluscum Contagiosum
Henderson-Patterson bodies
#Pathology😍 
#Tums #PathTwitter
ArezuRhn (@arezurhn) 's Twitter Profile Photo

A 50-year-old woman, known case of metastatic breast cancer Endoscopy shows multiple ulcers in esophagus DDx: Herpes simplex esophagitis #TUMS #pathology #PathTwitter

A 50-year-old woman, known case of metastatic breast cancer
Endoscopy shows multiple ulcers in esophagus
DDx: Herpes simplex esophagitis
#TUMS
#pathology #PathTwitter
Farid Azmoudeh-Ardalan (@ardalanfarid) 's Twitter Profile Photo

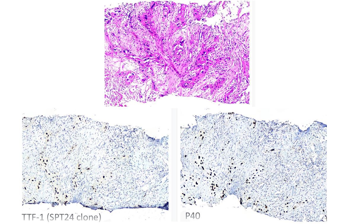
An 84-year-old man with a solitary #lung_mass What’s your #diagnosis? Is it a rare case of P40 and TTF1 co-expression in a #nonsmall_cell_carcinoma or SCC with false positive reaction with #SPT40 clone? Sanjay Mukhopadhyay Andrew Bellizzi 🇺🇦 B.Jahanbin

An 84-year-old man with a solitary #lung_mass
What’s your #diagnosis?
Is it a rare case of P40 and TTF1 co-expression in a #nonsmall_cell_carcinoma or SCC with false positive reaction with #SPT40 clone?
<a href="/smlungpathguy/">Sanjay Mukhopadhyay</a> <a href="/IHC_guy/">Andrew Bellizzi 🇺🇦</a> <a href="/jahanbin_b/">B.Jahanbin</a>