
Mark Anderson, MD
@andersonmark27
Abdominal Radiologist at Massachusetts General Hospital
ID: 813598279510462464
27-12-2016 04:12:00
56 Tweet
245 Followers
814 Following







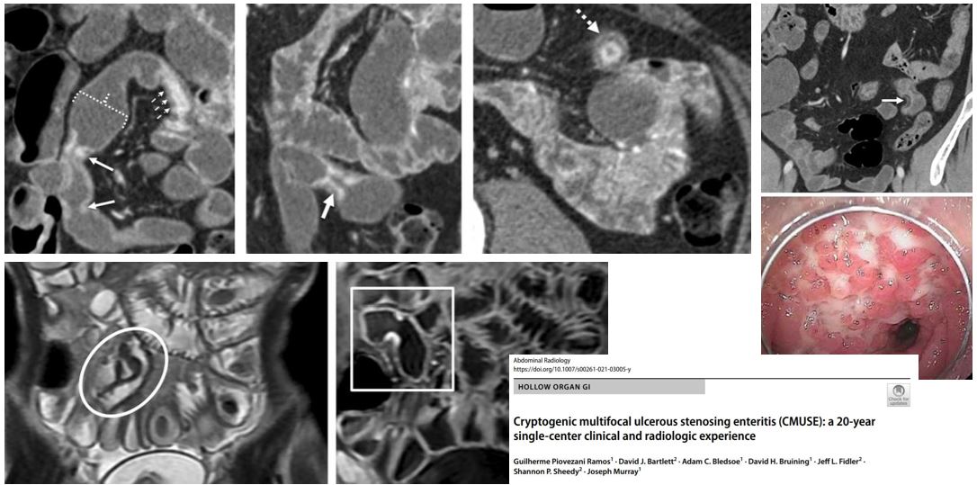
Multifocal, short, ileal strictures with stratified mural hyperenhancement in a patient with iron deficiency anemia? Consider cryptogenic multifocal ulcerous stenosing enteritis (CMUSE) as a cause of occult GI bleeding described by DFP members Jeff Fidler MD and David Bruining




How can we use radiomics for CT assessment of vascular contact in pancreatic adenocarcinoma? Check out this targeted editorial by Richard K.G. Do and Dr. Kambadakone. bit.ly/3A4RyW4 @sloan_kettering


Hot off the press.. Authored by our DFP members MRCP: pitfalls in interpretation Abdominal Radiology #abdradJ #radres #meded #MRI #MRCP #biliary rdcu.be/cAowi





Graphic abstract published 9/22/2021 #abdradJ #abdominalradiology Management of gastrointestinal bleeding: SAR Institutional Survey @SocAbdRadiology By Dr. Fidler et al Jeff Fidler MD link.springer.com/article/10.100…


Join us for this interactive discussion on the management and imaging of GI bleeding. Gastroenterologists and Radiologists will discuss current GI bleeding issues and answer your questions. Society of Abdominal Radiology | SAR ACG ASGE GI Endoscopy

Register ASAP. A hands on experience on four high yield cases with a detailed discussion. Free access. #radiology #radres #radiologist Society of Abdominal Radiology | SAR SAR DFP Benign Biliary Pathology Malak Itani matt_m0rgan @SudhakarKV_MD Mark Anderson, MD

Great Webinar SAR DFP Benign Biliary Pathology Well done team. Excellent cases very well presented. Mark Anderson, MD Sudhakar Venkatesh MD (ಸುಧಾಕರ್ ವೆಂಕಟೆೇಶ್) Hina Arif Rachita Khot matt_m0rgan Society of Abdominal Radiology | SAR Malak Itani Jena Depetris, MD RadPix William Weadock, MD If you missed watch recording at SAR webpage soon. FREE!


don't miss this new article from our DFP members in Abdominal Radiology Abdominal Radiology Radiologic findings of biliary complications post liver transplantation link.springer.com/article/10.100…

