Aileen Grace Arriola, MD (@aileengracea) 's Twitter Profile
Aileen Grace Arriola, MD

@aileengracea

AP/CP and Surg Path at UPenn,
Cytopath at MDACC.

Instagram: the_path_less_scoped for all my #pathart

ID: 902008563442348033

calendar_today28-08-2017 03:22:54

346 Tweet

1,1K Followers

1,1K Following

CooperPathology (@cooperpathology) 's Twitter Profile Photo

1/2 #PathResidents This week's interesting case is a thyroid FNA (DQ, Pap, and H&E). What is your diagnosis? Reply with your answer! Options in 2/2. 👇 #Cytology #PathTwitter

1/2 #PathResidents This week's interesting case is a thyroid FNA (DQ, Pap, and H&E). What is your diagnosis? Reply with your answer! Options in 2/2. 👇 #Cytology #PathTwitter
CooperPathology (@cooperpathology) 's Twitter Profile Photo

Meet our faculty, Dr. Ruth Birbe MD We are so glad to have Ruth Birbe as Residency Program Director for Cooper Pathology Residency Program! "I am so proud to train future pathologists in a supportive, patient-focused academic environment" #CooperPathology #FacultySpotlight

Meet our faculty, Dr. Ruth Birbe MD 
We are so glad to have <a href="/RuthBirbe/">Ruth Birbe</a> as Residency Program Director for Cooper Pathology Residency Program! 
"I am so proud to train future pathologists in a supportive, patient-focused academic environment" #CooperPathology #FacultySpotlight
CooperPathology (@cooperpathology) 's Twitter Profile Photo

Considering a residency in #Pathology? Get an inside look at our AP/CP Residency Program training, faculty, and opportunities in this video👇 #pathresidents cooperhealth.edu/residencies/pa… Pooja Navale MD Aileen Grace Arriola, MD Upasana Joneja Amandeep Aneja Ruth Birbe Dejan Gord Guo Zhu, MD/PhD

CooperPathology (@cooperpathology) 's Twitter Profile Photo

A great example of malakoplakia of the bladder showing characteristic sheets of histiocytes with granular eosinophilic cytoplasm (von Hansemann cells) and numerous round concentrically layered intracytoplasmic inclusions (Michaelis-Gutmann bodies) #Pathology #PathTwitter

A great example of malakoplakia of the bladder showing characteristic sheets of histiocytes with granular eosinophilic cytoplasm (von Hansemann cells) and numerous round concentrically layered intracytoplasmic inclusions (Michaelis-Gutmann bodies) #Pathology #PathTwitter
Pathology Society of Philadelphia (@philly_path) 's Twitter Profile Photo

🚨 Attention Please! 🚨 We’re making good on our promise to deliver a fantastic BOATD review for all takers this year! 🎯 With amazing mentors and updated, high-yield sessions, #PhillyPath has everything you need to succeed. Register now!👇 upenn.co1.qualtrics.com/jfe/form/SV_e4…

🚨 Attention Please! 🚨
We’re making good on our promise to deliver a fantastic BOATD review for all takers this year! 🎯 With amazing mentors and updated, high-yield sessions, #PhillyPath has everything you need to succeed.
Register now!👇
upenn.co1.qualtrics.com/jfe/form/SV_e4…
CooperPathology (@cooperpathology) 's Twitter Profile Photo

Our amazing Program Directors Ruth Birbe & Dejan, along with Program Administrator Ms. Sheree Kelly, attended the record-breaking 2025 ACGME Annual Educational Conference in Nashville—5,000+ participants gathered to collaborate, innovate & inspire!

Our amazing Program Directors <a href="/RuthBirbe/">Ruth Birbe</a> &amp; <a href="/Dejan1295208/">Dejan</a>, along with Program Administrator Ms. Sheree Kelly, attended the record-breaking 2025 ACGME Annual Educational Conference in Nashville—5,000+ participants gathered to collaborate, innovate &amp; inspire!
CooperPathology (@cooperpathology) 's Twitter Profile Photo

Thanks for playing along. Attached are the pertinent histologic images; can you refine your diagnoses anymore @royd_1991 Dr Fairooz Musthafa #pathresidents #PathTwitter

Thanks for playing along. Attached are the pertinent histologic images; can you refine your diagnoses anymore @royd_1991 <a href="/MusthafaFairooz/">Dr Fairooz Musthafa</a>  #pathresidents #PathTwitter
CooperPathology (@cooperpathology) 's Twitter Profile Photo

Final answers for the gross image: A. Diverticulum B. Mucinous carcinoma arising in the background of tubulovillous adenoma C. Submucosal lipoma (notice the smooth overlying mucosa) D. Tubular adenoma E. Submucosal lipoma @royd_1991 Dr Fairooz Musthafa #PathTwitter #pathresidents

CooperPathology (@cooperpathology) 's Twitter Profile Photo

Honored to be led by Dr. Roland Schwarting, Chair of Pathology at Cooper & Professor at CMSRU. A hematopathology expert trained at Kiel & Sloan Kettering, his vision, mentorship & patented tumor marker innovations(CD22, CD30, CD11c) continue to shape our department #PathTwitter

Honored to be led by Dr. Roland Schwarting, Chair of Pathology at Cooper &amp; Professor at CMSRU. A hematopathology expert trained at Kiel &amp; Sloan Kettering, his vision, mentorship &amp; patented tumor marker innovations(CD22, CD30, CD11c) continue to shape our department #PathTwitter
CooperPathology (@cooperpathology) 's Twitter Profile Photo

Lactating adenoma of the Breast: benign, well-circumscribed mass typically seen in pregnancy/lactation. Histology: lobular expansion, secretory change, minimal atypia. Remember: can mimic carcinoma clinically/radiologically! #PathTwitter #Breastpath

Lactating adenoma of the Breast: benign, well-circumscribed mass typically seen in pregnancy/lactation.
Histology: lobular expansion, secretory change, minimal atypia.
Remember: can mimic carcinoma clinically/radiologically!
#PathTwitter #Breastpath
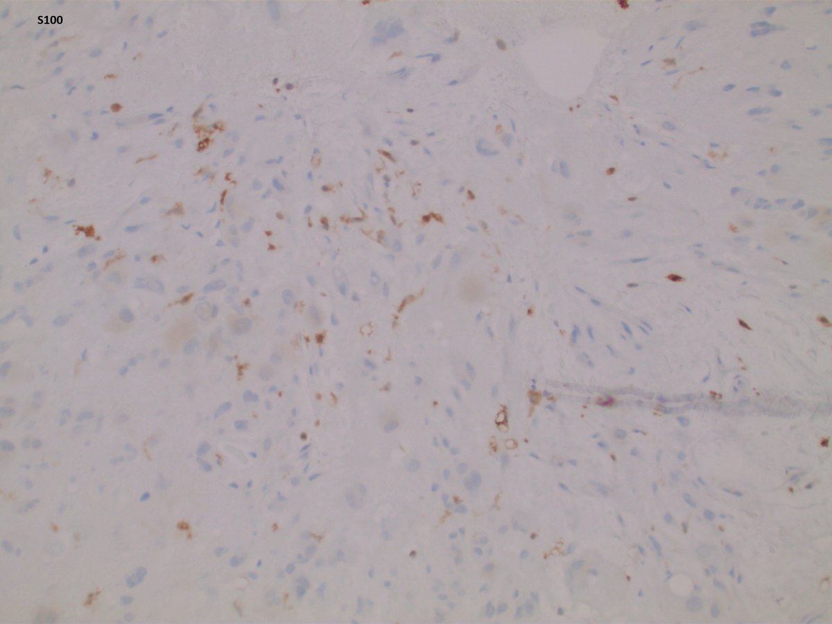
CooperPathology (@cooperpathology) 's Twitter Profile Photo

IHC profile: Strongly positive: EMA, CK19; focally positive for AE1/AE3, Cam5.2 and S100; Negative for CD31, CD34, SOX10, desmin and H3K36M. What additional stain do you want?

IHC profile: Strongly positive: EMA, CK19; focally positive for AE1/AE3, Cam5.2 and S100; Negative for CD31, CD34, SOX10, desmin and H3K36M. What additional stain do you want?