Eileen McKay (@emckaymd) 's Twitter Profile
Eileen McKay

@emckaymd

Pathologist/AP/CP/Pedipath/Medical Director
#beyondchorio

ID: 3315309042

calendar_today14-08-2015 20:27:34

22,22K Tweet

4,4K Followers

2,2K Following

Arsilah Erum MD (@arsilahdr) 's Twitter Profile Photo

Hi 👋 I am Arsilah Erum Khan and I am applying for #pathologymatch2025 🔬with a passion for surgical pathology, especially GI & dermpath... Balancing the lab 🧫 with writing poetry 📖📚 and cooking 👩‍🍳 delicious meals 🌮🍔 for my son—because passion drives both science 🧬and

Hi 👋 I am Arsilah Erum Khan and I am applying for #pathologymatch2025 🔬with a passion for surgical pathology, especially GI & dermpath...
Balancing the lab 🧫 with writing poetry 📖📚 and cooking 👩‍🍳 delicious meals 🌮🍔 for my son—because passion drives both science 🧬and
Xiaoyin "Sara" Jiang, MD (She/Her) (@sara_jiang) 's Twitter Profile Photo

September is #ThyroidCancer Awareness Month! Pictured is the most common thyroid cancer, Papillary Thyroid Carcinoma, seen on cytology from fine needle aspiration Inset shows intranuclear cytoplasmic pseudoinclusion which along with grooves is a characteristic nuclear feature

September is #ThyroidCancer Awareness Month! 
Pictured is the most common thyroid cancer, Papillary Thyroid Carcinoma, seen on cytology from fine needle aspiration
Inset shows intranuclear cytoplasmic pseudoinclusion which along with grooves is a characteristic nuclear feature
SARRA HELLAL (@drhellal) 's Twitter Profile Photo

Hi #Pathtwitter. My name is Sarra, I’m excited to apply for the Pathology Match 2025! 🌍 Originally from Algeria 🇩🇿, based in Houston, TX . Passionate about traveling , exploring the outdoors 🏞️, and combining my love for science 🧬 with the art of pathology 🩸. #pathmatch25

Hi #Pathtwitter. My name is Sarra, I’m excited to apply for the Pathology Match 2025!
🌍 Originally from Algeria 🇩🇿, based in Houston, TX .
Passionate about traveling , exploring the outdoors 🏞️, and combining my love for science 🧬 with the art of pathology 🩸. 
#pathmatch25
CAPathologists (@pathologists) 's Twitter Profile Photo

Medical Students: Find out what a pathologist does, what residency is like, and learn why #pathology ranks as one of the top 4 medical specialties when it comes to workplace satisfaction. cap.org/calendar/webin…

Medical Students: Find out what a pathologist does, what residency is like, and learn why #pathology ranks as one of the top 4 medical specialties when it comes to workplace satisfaction. 

cap.org/calendar/webin…
Amanda Herrmann MD, PhD (@herrpath) 's Twitter Profile Photo

Please share this webinar with your medical students, we'll be talking shop re: the best kept secret specialty in medicine TONIGHT at 7PM CST!! #PathTwitter #Medstudent #pathology

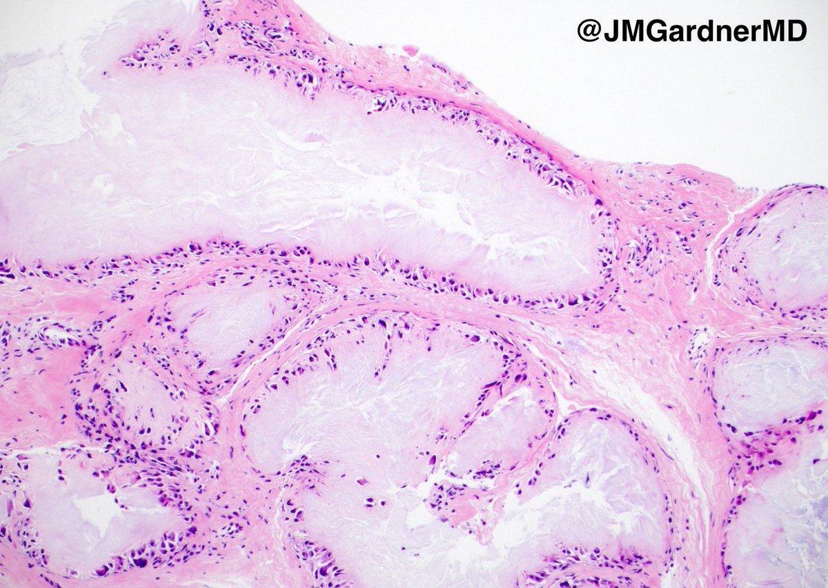
Jerad Gardner, MD (@jmgardnermd) 's Twitter Profile Photo

A #pathology classic! Touch prep and H&E section. What's your diagnosis? Click here for answer with video: kikoxp.com/posts/3799 #Pathology #dermpath #dermatology #dermatologia #dermtwitter #BSTpath

A #pathology classic! Touch prep and H&E section. What's your diagnosis? Click here for answer with video: kikoxp.com/posts/3799 #Pathology #dermpath #dermatology #dermatologia #dermtwitter #BSTpath
NAME (@thename1966) 's Twitter Profile Photo

Free Webinar for Medical Students: "Forensic Photography: From Scene to Autopsy" by Robert A. Kurtzman, DO, Forensic Pathologist, Owner Rocky Mountain Forensic Services in Clifton, Colorado Thursday, 10/17/24 at 4:00 PM ET Register: bit.ly/3zJ4wxF

Free Webinar for Medical Students: "Forensic Photography:  From Scene to Autopsy" by Robert A. Kurtzman, DO, Forensic Pathologist, Owner Rocky Mountain Forensic Services in Clifton, Colorado  Thursday, 10/17/24 at 4:00 PM ET Register: bit.ly/3zJ4wxF
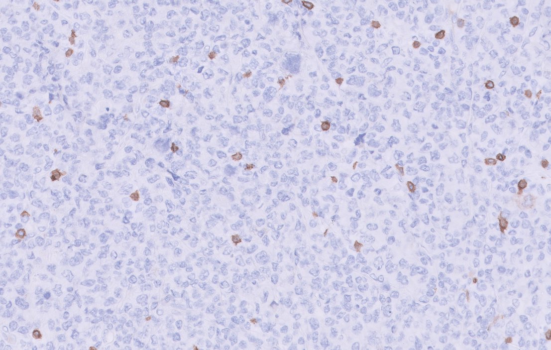
Shachar Path (@tiger_heme) 's Twitter Profile Photo

Neck LN excision 51 yo male with generalized LAD with high PET avidity. Attached here the H&E and CD20 and CD3. Also negative: CD79a, PAX5, OCT2, BOB1, CD38, CD138. See comments for additional stains and diagnosis 🙈

Neck LN excision 51 yo male with generalized LAD with high PET avidity. Attached here the H&E and CD20 and CD3. Also negative: CD79a, PAX5, OCT2, BOB1, CD38, CD138. See comments for additional stains and diagnosis 🙈
Prof Peter Hotez MD PhD (@peterhotez) 's Twitter Profile Photo

27% of those (mostly children) infected in the West Texas measles epidemic so far have been hospitalized. In the infographic from my PLOS Global Public Health article last month I estimated about 20% typically require hospitalization

27% of those (mostly children) infected in the West Texas measles epidemic so far have been hospitalized. In the infographic from my <a href="/PLOSGPH/">PLOS Global Public Health</a> article last month I estimated about 20% typically require hospitalization
Karen Fritchie (@karenfritchiemd) 's Twitter Profile Photo

Only 6 weeks left to our Cleveland Clinic Soft Tissue Pathology Course! May 15-18th. Over 150 NEW cases—common, rare and novel entities!!! Interactive format! In person and virtual—and seasons will be RECORDED!!! Please join us! #PathTwitter na01.safelinks.protection.outlook.com/?url=http%3A%2…

Only 6 weeks left to our Cleveland Clinic Soft Tissue Pathology Course! May 15-18th. Over 150 NEW cases—common, rare and novel entities!!! Interactive format! In person and virtual—and seasons will be RECORDED!!! Please join us! #PathTwitter na01.safelinks.protection.outlook.com/?url=http%3A%2…
Juan Putra (@path_putra) 's Twitter Profile Photo

Unexpected opening! One spot available for Pediatric Pathology Fellowship at Boston Children’s Hospital for 2026-2027. Join our team and help shape the future of pediatric pathology. Message me for further details. Soc. Pediatric Path. Alyaa Al-Ibraheemi Alanna Church, MD Jake Bledsoe

TCH Pediatric Hematology Oncology Fellowship (@tchhemoncfellow) 's Twitter Profile Photo

Groundbreaking study from Texas Children's, @BCMHouston @UPMCChildrens reveals that genetic mutations in blood cells can predict clinical risks in pediatric #LCH better than current approaches, paving the way for improved diagnosis and treatment. bcm.edu/news/mutated-b…

Groundbreaking study from <a href="/TexasChildrens/">Texas Children's</a>, @BCMHouston @UPMCChildrens reveals that genetic mutations in blood cells can predict clinical risks in pediatric #LCH better than current approaches, paving the way for improved diagnosis and treatment. bcm.edu/news/mutated-b…
Eileen McKay (@emckaymd) 's Twitter Profile Photo

Great opportunities available at Texas Children's! I'm looking for an AP/CP pathologist to join me in The Woodlands. Let me tell you more... captoday-jobs.careerwebsite.com/job/community-…