Elsayed (@elsayedmmousa) 's Twitter Profile
Elsayed

@elsayedmmousa

Chairman of The board of Director AlHayah Scan Radiology Center. Radiology Consultant , MD , FRCR.

ID: 1769985321742086144

calendar_today19-03-2024 07:12:58

1,1K Tweet

196 Followers

3,3K Following

Jack Garnham (@jjgarnham) 's Twitter Profile Photo

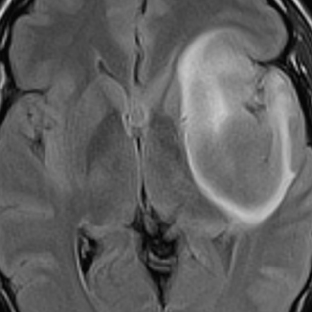
Beautiful example of T2-FLAIR mismatch in a proven IDH-mutant astrocytoma. Central FLAIR suppression with a hyperintense peripheral rim. Suggestive of IDH-mutant astrocytoma (but can also be seen in diffuse astrocytoma MYB or MYBL1 altered and angiocentric glioma).

Beautiful example of T2-FLAIR mismatch in a proven IDH-mutant astrocytoma. Central FLAIR suppression with a hyperintense peripheral rim. Suggestive of IDH-mutant astrocytoma (but can also be seen in diffuse astrocytoma MYB or MYBL1 altered and angiocentric glioma).
منبه الحوقلة (@alhawqalh) 's Twitter Profile Photo

قال الشيخ عبدالرزاق البدر : " والله ثم والله ثم والله إن أعطاك الله هذه الدعوة لم يبقَ لك من الخير شيء إلا نلته وفُزت به "

قال الشيخ عبدالرزاق البدر : 
" والله ثم والله ثم والله إن أعطاك الله هذه الدعوة لم يبقَ لك من الخير شيء إلا نلته وفُزت به "
الرادع المغربي 🇲🇦🔻🇵🇸 (@rd_fas1) 's Twitter Profile Photo

متوقع حدوث تصعيد عسكري بين إسرائيل وتركيا إن هوجم أسطول الصمود العالمي المتجه إلى غزة 150 مواطن تركي بينهم نواب في البرلمان موجودين على متن سفن الأسطول

Cairo 24 - القاهرة 24 (@cairo24_) 's Twitter Profile Photo

ماشية عكس.. فتاة تتعدى بالضرب على سائق تاكسي بالمهندسين بسبب أولوية المرور

ICBSG | اللجنة الدولية لكسر الحصار عن غزة (@icbsofgaza) 's Twitter Profile Photo

نحن الآن في ٤٢ سفينة شمالي مرسي مطروح يا مصر .. وبعد ساعات سنكون شمالي مدينة الاسكندرية ... يا مصر ..

نحن الآن في ٤٢ سفينة شمالي مرسي مطروح يا  مصر .. 

وبعد ساعات سنكون شمالي مدينة الاسكندرية ... 

يا مصر ..
اسكندرية - Alexandria (@alexandria_egy1) 's Twitter Profile Photo

🚨كوبري محرم بك شهد كوبري محرم بك واقعة خطيرة بعد قيام عدد من قائدي السيارات بأداء حركات استعراضية متهورة أعلى الكوبري، حيث اصطدمت إحدى السيارات بشكل مباشر بعامل توصيل طلبات وتعيد هذه الحادثة تسليط الضوء على خطورة القيادة الاستعراضية في الطرق العامة وما تمثله من تهديد مباشر

مُحارب الماسونية 🇵🇸 (@ali_7273f) 's Twitter Profile Photo

انشروا مقاطع "القرآن" في تويتر لطرد شياطين الإنس والجن في كل يوم انشروا في حساباتكم الشخصية ..

مُحارب الماسونية 🇵🇸 (@ali_7273f) 's Twitter Profile Photo

انشروا مقاطع "القرآن" في تويتر لطرد شياطين الإنس والجن في كل يوم انشروا في حساباتكم الشخصية ..

Samaa (@elbarbarys35796) 's Twitter Profile Photo

" ان الشعب الذي ينتخب الفاسدين والانتهازيين والمحتالين والناهبين والخونه .... لا يعتبر ضحية ، بل يعتبر حتما شريكا في الجريمة " - جورح اورويل

" ان الشعب الذي ينتخب الفاسدين والانتهازيين والمحتالين والناهبين والخونه .... لا يعتبر ضحية  ،  بل يعتبر حتما شريكا في الجريمة "
- جورح اورويل