๐Ÿ…”๐Ÿ…›๐Ÿ…œ๐Ÿ…ž๐Ÿ…ž (@el_mo200) 's Twitter Profile
๐Ÿ…”๐Ÿ…›๐Ÿ…œ๐Ÿ…ž๐Ÿ…ž

@el_mo200

final year-MBBCh l USMLE Aspirant๐Ÿ‡บ๐Ÿ‡ฒ๐Ÿ‡ช๐Ÿ‡ฌ l 1st Generation MS l Internal Medicine...

ID: 1167781257289326592

calendar_today31-08-2019 12:48:53

94 Tweet

467 Followers

4,4K Following

Rxlinked - Doctor's Professional Network (@rxlinked) 's Twitter Profile Photo

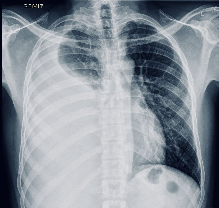
DocXus Right-sided Pleural Effusion โž” Blunted right costophrenic angle โž” Meniscus sign (concave line) at right lung base โž” indicates fluid accumulation โž” Increased density in right lower lung fields โž” suggests right-sided pleural effusion

<a href="/docxusofficial/">DocXus</a> Right-sided Pleural Effusion

โž” Blunted right costophrenic angle 

โž” Meniscus sign (concave line) at right lung base โž” indicates fluid accumulation

โž” Increased density in right lower lung fields โž” suggests right-sided pleural effusion
Mo๐“‚† (@mosm3il1999) 's Twitter Profile Photo

ุฐูƒุฑู‰ ุฃุนุธู… ุญุฏุซ ููŠ ุชุงุฑูŠุฎ ู…ุตุฑ ูˆ ุฐูƒุฑู‰ ุชุญู‚ูŠู‚ ุฎูˆู ุงู„ูู†ุงู†ุฉ ุนุงูŠุฏุฉ ุงู„ุฃูŠูˆุจูŠ 25 ูŠู†ุงูŠุฑ

Naguib Sawiris (@naguibsawiris) 's Twitter Profile Photo

ู…ุตุฑ ู„ู… ูˆ ู„ู† ุชุณู‚ุท .. ูˆ ุงู† ุฃุฎุทุฃุช ุงุฏุงุฑุชู‡ุง ูุดุนุจู‡ุง ุฌุจุงุฑ ูˆุญุถุงุฑุชู‡ ู‚ุฏูŠู…ุฉ ูˆุนุธูŠู…ุฉ ูˆ ู„ู† ูŠุฃุฎุฐ ุงุญุฏ ุงุจู†ุงุคู‡ุง ู„ุง ุจุฌูˆุงุฒ ุณูุฑ ุงูˆ ุจุฃู…ูˆุงู„ โ€ฆูู…ุตุฑูŠุชู‡ู… ุนู…ูŠู‚ุฉ ููŠ ุฌุฐูˆุฑู‡ุง ูˆ ุงู† ู‚ุจู„ูˆุง ุจุชูƒุฑูŠู… ุงูˆ ุงุญุชูุงู„ ู„ุง ูŠุชุฎู„ูˆู† ุนู†ู‡ุงโ€ฆูˆ ุดุนุจู‡ุง ุจุฑุฆ ู…ู† ุงู„ุฃุฒู…ุฉ ุงู„ุฅู‚ุชุตุงุฏูŠุฉ ุงู„ุชู‰ ู†ูˆุงุฌู‡ู‡ุง ! ุงู…ุง ุทุจูŠุจู†ุง ูู‡ูˆ ูุฎุฑ ู„ู†ุง ูˆ ู‡ูˆ ุญุฑ ููŠ ู‚ุฑุงุฑู‡

ุขู„ู†ูŽุฌู‘ุงุฑ (@abdelrrahman97) 's Twitter Profile Photo

ูข ูุจุฑุงูŠุฑ ูขู ูกูก .. ู…ูˆู‚ุนุฉ ุงู„ุฌู…ู„ ุŒ ููŠ ูŠูˆู… ูก ูุจุฑุงูŠุฑ ุทู„ุน ุญุณู†ูŠ ู…ุจุงุฑูƒ ุจุฎุทุงุจู‡ ุงู„ุนุงุทููŠ ุงู„ุฃูˆู„ ุฅู„ูŠ ู‚ุงู„ ููŠู‡ ุฅู†ู‡ ู„ู… ูŠูƒู† ูŠู†ุชูˆูŠ ุงู„ุชุฑุดุญ ู„ูุชุฑุฉ ุฑุฆุงุณูŠุฉ ุฃุฎุฑู‰ ูˆู‚ุงู… ููŠู‡ ุจุชุดูƒู„ ุญูƒูˆู…ุฉ ุฌุฏูŠุฏุฉ ุŒ ุงู„ุฎุทุงุจ ุฏุง ูƒุงู† ุณุจุจ ููŠ ุฅู†ู‚ุณุงู… ุฌุฒุก ู…ู† ุงู„ุซูˆุงุฑ ููŠ ู…ูŠุฏุงู† ุงู„ุชุญุฑูŠุฑ ูˆุชุฃุซูŠุฑู‡ู… ุจุฎุทุงุจ ู…ุจุงุฑูƒ ูˆุจุฏุงุฆู†ุง ู†ุณู…ุน ูƒู„ุงู… ุฒูŠ ุญุฑุงู… ุนู„ูŠูƒู…

ูข ูุจุฑุงูŠุฑ ูขู ูกูก .. ู…ูˆู‚ุนุฉ ุงู„ุฌู…ู„ ุŒ 
ููŠ ูŠูˆู… ูก ูุจุฑุงูŠุฑ ุทู„ุน ุญุณู†ูŠ ู…ุจุงุฑูƒ ุจุฎุทุงุจู‡ ุงู„ุนุงุทููŠ ุงู„ุฃูˆู„ ุฅู„ูŠ ู‚ุงู„ ููŠู‡ ุฅู†ู‡ ู„ู… ูŠูƒู† ูŠู†ุชูˆูŠ ุงู„ุชุฑุดุญ ู„ูุชุฑุฉ ุฑุฆุงุณูŠุฉ ุฃุฎุฑู‰ ูˆู‚ุงู… ููŠู‡ ุจุชุดูƒู„ ุญูƒูˆู…ุฉ ุฌุฏูŠุฏุฉ ุŒ ุงู„ุฎุทุงุจ ุฏุง ูƒุงู† ุณุจุจ ููŠ ุฅู†ู‚ุณุงู… ุฌุฒุก ู…ู† ุงู„ุซูˆุงุฑ ููŠ ู…ูŠุฏุงู† ุงู„ุชุญุฑูŠุฑ ูˆุชุฃุซูŠุฑู‡ู… ุจุฎุทุงุจ ู…ุจุงุฑูƒ ูˆุจุฏุงุฆู†ุง ู†ุณู…ุน ูƒู„ุงู… ุฒูŠ ุญุฑุงู… ุนู„ูŠูƒู…
Dinaaaa (@anxiety798) 's Twitter Profile Photo

ุนุงูŠุฒุฉ ุฒูŠ ุฑูŠฺคูŠูˆ ุจูƒู„ ุงู„ู…ุนู„ูˆู…ุงุช ุนู† ุงู„ู…ุณุชุดููŠุงุช ุงู„ุชุนู„ูŠู…ูŠ ุจ ู…ุง ู„ู‡ุง ูˆู…ุงุนู„ูŠู‡ุง ู‡ู„ ู‡ูŠ ุงูˆูุฑุฑูŠุชุฏุฑ ูุนู„ุงุŸ ู‡ู„ ุชุณุชุงู‡ู„ ุงู„ุญุจุณุฉ ุงู„ูŠ ุจูŠู‚ูˆู„ูˆุง ุนู„ูŠู‡ุง ุŸ ู‡ู„ ู‡ูŠ ุงุฌู…ู„ ู…ู† ุงู„ุตุญุฉุŸ ุงุญู†ุง ู‚ุงุนุฏูŠู† ู„ูŠู‡ ููŠ ู…ุตุฑ ู„ุณู‡ุŸ ู‡ู„ ุงู„ุชุนู„ูŠู…ูŠ ููŠู‡ ุชุนู„ูŠู… ูุนู„ุง ุŸ ุจู†ุนู…ู„ ุงูŠู‡ ููŠ ู…ุตุฑ ู„ุญุฏ ุฏู„ูˆู‚ุชูŠุŸ ุฑุจู†ุง ูŠูุฑุฌู‡ุง

Dr.Sam Youssef Ph.D.,M.Sc.,DPT. (@drhossamsamy65) 's Twitter Profile Photo

ุจุฑูˆูู‡ ู„ุซูˆุฑุฉ ุงู„ุฌูŠุงุน ุงู„ู‚ุงุฏู…ุฉ ููŠู‰ ู…ุตุฑ ู‚ุฑูŠุจุง ุจุญุถูˆุฑ ู…ุญุงูุธ ุงู„ู…ู†ูˆููŠู‡ ูˆ ูƒุจุงุฑ ู‚ูŠุงุฏุงุช ุงู„ุฏุงุฎู„ูŠู‡ ุจุงู„ู…ุญุงูุธู‡!! ูˆู„ุณุฉุŒ ุงู„ู‚ุงุฏู… ุงุณูˆุกุŒ ุงุตุจุฑูˆุง ูˆุณุชุฑูˆุง!! ุงู„ุนุฌุจ ุงู„ุนุฌุงุจ!!!

๐Ÿ…”๐Ÿ…›๐Ÿ…œ๐Ÿ…ž๐Ÿ…ž (@el_mo200) 's Twitter Profile Photo

ุงู„ุญุงุฌู‡ ุงู„ู„ูŠ ุจุชุซูŠุฑ ุงู„ุดูู‚ู‡ ุงู† ุทู„ุจู‡ ุงู„ุงู…ุชูŠุงุฒ ุนุงู…ู„ูŠู† ูŠุญุฒู‚ูˆุง ุนู„ุดุงู† ุงู„ู…ุฑุชุจ ูŠุฒูŠุฏ ู…ู† ุงู„ููŠู† ู„ุญู„ูˆู„ ูˆุดูˆูŠู‡ ุงู„ูŠ ุงู„ุญุฏ ุงู„ุฃุฏู†ู‰ ู„ู„ุฃุฌูˆุฑ ุนู„ูŠ ุงู„ุงู‚ู„ ูฆู ู ู  ุงู„ู…ุดูƒู„ู‡ ู‡ู†ุง ุงู† ูŠุจู†ูŠ ุงู†ุช ูˆู‡ูˆ ูˆุงู„ู„ู‡ ุงู„ุฏูˆู„ุฉ ู…ุง ุดูŠูุงูƒู… ูˆู„ุง ุนุงู…ู„ู‡ ุงุนุชุจุงุฑ ู„ุฃู†ู‡ู… ู…ุด ุดุงูŠููŠู† ุบูŠุฑ ุงู„ู„ูŠ ู…ุนู„ู‚ ุฏุจูˆุฑู‡ .... ูˆุนุฌุจูŠ

amr shaheen (@amrshaheen22) 's Twitter Profile Photo

ู…ุณุชุดููŠ #ุงู„ุณูŠุฏ_ุฌู„ุงู„_ุงู„ุฌุงู…ุนูŠ ูƒู„ูŠู‡ ุงู„ุทุจ ุฌุงู…ุนุฉ ุงู„ุงุฒู‡ุฑ ุจุชุณุชู‚ุจู„ ุญุงู„ุฉ ู…ูˆู„ูˆุฏ ู…ู† ุงู„ุงุทูุงู„ ุงู„ู…ุจุชุณุฑูŠู† ุจู‚ู„ุจ ุฎุงุฑุฌ ุงู„ู‚ูุต ุงู„ุตุฏุฑูŠ ููŠ ูˆุงุญุฏู‡ ู…ุงุจูŠู† ูƒู„(5.5) ู…ู„ูŠูˆู† ุทูู„ ุญูˆู„ ุงู„ุนุงู„ู… { ู‡ููˆูŽ ุงู„ูู‘ุฐููŠ ูŠูุตูŽูˆูู‘ุฑููƒูู…ู’ ููŠู ุงู„ุงุฑุญูŽุงู…ู ูƒูŽูŠููŽ ูŠูŽุดูŽุงุกู }

NEUROMAN | ู…ุญู…ุฏ ูุงูŠุฏ (@mo_fayed22) 's Twitter Profile Photo

ููŠ ุฏูƒุชูˆุฑ ู…ู…ุชุด ู†ูŠูˆุฑูˆู„ูˆุฌูŠ ู…ู†ุฒู„ ุงู†ู‡ ุจุนุฏ ูƒู„ ุงู…ุชุญุงู† ุจูŠุฎู„ู ุนูŠู„ ูˆุฏูŠ ุงู„ุฌูˆู„ุฒ ุงู„ุญู‚ูŠู‚ูŠุฉ๐Ÿ˜‚๐Ÿ˜‚๐Ÿ˜‚๐Ÿ˜‚

ููŠ ุฏูƒุชูˆุฑ ู…ู…ุชุด ู†ูŠูˆุฑูˆู„ูˆุฌูŠ ู…ู†ุฒู„ ุงู†ู‡ ุจุนุฏ ูƒู„ ุงู…ุชุญุงู† ุจูŠุฎู„ู ุนูŠู„ ูˆุฏูŠ ุงู„ุฌูˆู„ุฒ ุงู„ุญู‚ูŠู‚ูŠุฉ๐Ÿ˜‚๐Ÿ˜‚๐Ÿ˜‚๐Ÿ˜‚