
Tim Bracey
@drtimbracey
MBChB PhD MRCS FRCPath. GI/HN surgical pathologist, scientist, family man, Cornish waterman. join our forum facebook.com/groups/1899215…
ID: 854995734340546561
http://www.pathkids.com/wp 20-04-2017 09:50:42
2,2K Tweet
2,2K Takipçi
1,1K Takip Edilen





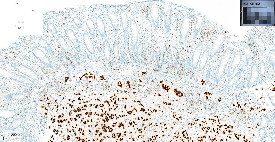
Paget’s disease of perianal squamous mucosa associated with a non-invasive prolapsing anorectal adenoma with high grade dysplasia. Like the Elizabeth Montgomery, MD series our case didnt show submucosal invasion, and the Paget cells had a “colorectal” (CK7- CK20+ CDX2+) Immunophenotype.








AI is awesome!! Made with Veo3! Vimentin infomercial #pathology #IHC Sanjay Mukhopadhyay Andrew Bellizzi 🇺🇦