Kerem Ozcan, MD (@drkeremozcan) 's Twitter Profile
Kerem Ozcan, MD

@drkeremozcan

Pathologist, Resident- Class of 2027 @HenryFordHealth, Senior Research Scientist @MSKCC 2020-23 #pancpath #gipath

ID: 273670153

calendar_today28-03-2011 23:13:37

373 Tweet

368 Takipçi

670 Takip Edilen

Kerem Ozcan, MD (@drkeremozcan) 's Twitter Profile Photo

Hello #PathTwitter and my fellow #PathMatch2023 applicants. I am an experienced pathologist from Turkey, and now a research scientist MSK Department of Pathology & Laboratory Medicine. Finally, I submitted #ERAS and I am ready for the interview season. Wish everyone best of luck!!

Hello #PathTwitter and my fellow #PathMatch2023 applicants. I am an experienced pathologist from Turkey, and now a research scientist <a href="/MSKPathology/">MSK Department of Pathology & Laboratory Medicine</a>. Finally, I submitted #ERAS and I am ready for the interview season. Wish everyone best of luck!!
Olca Basturk (@olcabasturk) 's Twitter Profile Photo

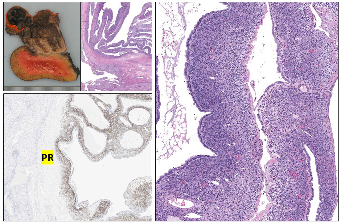
Mucinous cystic neoplasm (#MCN) is not specific to the #pancreas. It is seen in the #liver, too. Ovarian-type stroma is your clue. When in doubt, PR IHC would be helpful. Make sure to check if there is HGD or associated invasive carcinoma. This example only has LGD. @PathTwitter

Mucinous cystic neoplasm (#MCN) is not specific to the #pancreas. It is seen in the #liver, too. Ovarian-type stroma is your clue. When in doubt, PR IHC would be helpful. Make sure to check if there is HGD or associated invasive carcinoma. This example only has LGD. @PathTwitter
Claudio Luchini (@cluchini10) 's Twitter Profile Photo

Acinar Cystic Transformation of the Pancreas: a Verona's legacy -Controversial entity first described in Verona and in a few other centers 20 years ago -Now the largest series in the literature, with NGS analysis The American Journal of Surgical Pathology journals.lww.com/ajsp/Abstract/…

Kerem Ozcan, MD (@drkeremozcan) 's Twitter Profile Photo

Many thanks to all institutions supporting my home country #Turkey & our neighbors #Syria in this devastating earthquake and I hope my institution Memorial Sloan Kettering Cancer Center joins UCLA Health Stanford Medicine NYU Langone Health and many others in these exemplary efforts

Hulya Sahin Ozkan (@hulya_sahinn) 's Twitter Profile Photo

Now at the #USCAP2023 #GUpath platform session, Dr Merve Basar @toprakdeniz23 is presenting the clinical, molecular, and #ihcpath profiles of the Nested Subtype of Urothelial Carcinoma🎉🎉🎉 USCAP #USCAP23 Gamze Gokturk Ozcan, MD @mindtheflights Hikmat Al Ahmadie 👏🏻

Now at the #USCAP2023 #GUpath platform session, Dr Merve Basar @toprakdeniz23 is presenting the clinical, molecular, and #ihcpath profiles of the Nested Subtype of Urothelial Carcinoma🎉🎉🎉 <a href="/TheUSCAP/">USCAP</a> #USCAP23 <a href="/drgamzeozcan/">Gamze Gokturk Ozcan, MD</a> @mindtheflights <a href="/h_alahmadie/">Hikmat Al Ahmadie</a> 👏🏻
Samson W. Fine, MD (@rovingatuscap) 's Twitter Profile Photo

Wednesday PM Poster Board #115 #USCAP2023 Dr. Kerem Ozcan MSK Department of Pathology & Laboratory Medicine presents: “Well Differentiated Neuroendocrine Tumors (WDNETs) of the Ampulla, with Glandular Growth Pattern and Psammoma Bodies (Somatostatinomas): Analysis of 65 Cases” #pbpath Pancreatobiliary Pathology Society

Wednesday PM Poster Board #115 #USCAP2023 

Dr. Kerem Ozcan <a href="/MSKPathology/">MSK Department of Pathology & Laboratory Medicine</a> presents:

“Well Differentiated Neuroendocrine Tumors (WDNETs) of the Ampulla, with Glandular Growth Pattern and Psammoma Bodies (Somatostatinomas): Analysis of 65 Cases” #pbpath <a href="/pbpath/">Pancreatobiliary Pathology Society</a>
Olca Basturk (@olcabasturk) 's Twitter Profile Photo

Do you s/o #intraductal #papillary #neoplasms of the #bileducts (#IPN)? Then, check out our new paper documenting everything you want to know about these tumors👇 pubmed.ncbi.nlm.nih.gov/36821179/ Rhonda Yantiss Pelin Bağcı Serdar Balcı Vinod BalachandranMD Volkan Adsay Arch Pathol Lab Med

Olca Basturk (@olcabasturk) 's Twitter Profile Photo

Check out our most recent review on Early Cancerous Lesions of the #Pancreas and #Ampulla: Current Concepts ... sciencedirect.com/science/articl… Volkan Adsay #intraductal #preinvasive #IPMN #ITPN #IOPN #IAPN

Olca Basturk (@olcabasturk) 's Twitter Profile Photo

Pancreas pathology platform session was very exciting with outstanding presentations including by Dr Tarcan on Oncocytic #PanNETs with aggressive features! Congratulations Dr. Tarcan. We are very proud of you #USCAP2024 Kerem Ozcan, MD Volkan Adsay

Pancreas pathology platform session was very exciting with outstanding presentations including by Dr Tarcan on Oncocytic #PanNETs with aggressive features! Congratulations Dr. Tarcan. We are very proud of you #USCAP2024
<a href="/drkeremozcan/">Kerem Ozcan, MD</a> <a href="/VolkanAdsay/">Volkan Adsay</a>
Andrew Bellizzi 🇺🇦 (@ihc_guy) 's Twitter Profile Photo

Please join us on Wednesday, October 16th at 11 am ET for the ISIMM Web monthly webinar. Our President, Megan Troxell, will present "The Crucial Role of IHC in Papillary Breast Neoplasms." Register here: us02web.zoom.us/webinar/regist… Share far and wide!

Please join us on Wednesday, October 16th at 11 am ET for the <a href="/ISIMMweb/">ISIMM Web</a> monthly webinar.

Our President, Megan Troxell, will present "The Crucial Role of IHC in Papillary Breast Neoplasms."

Register here: us02web.zoom.us/webinar/regist…

Share far and wide!
HFH Pathology Residency (@hfhpathres) 's Twitter Profile Photo

It’s official! Meet our Pathology Residency Class of 2025!! #PathMatch2025 #HFHPathology #HFHPathologyResidency #HFHPath #PathMatch25 #PathMatch2025 #pathmatch #LearnLeadBelong #pathtwitter

It’s official!
Meet our Pathology Residency Class of 2025!!
#PathMatch2025 #HFHPathology #HFHPathologyResidency #HFHPath #PathMatch25 #PathMatch2025 #pathmatch #LearnLeadBelong #pathtwitter
Emre Yekedüz (@yekeduz_emre) 's Twitter Profile Photo

‼️Divergent histology in bladder cancer impacts outcomes and genomics. ‼️In 3052 RC patients, UCAH subtypes (plasmacytoid, micropapillary, sarcomatoid) showed worse survival. 🎯Genomic targets: ERBB2 (micropapillary), FGFR3 (nested/squamous), PTEN (sarcomatoid).

‼️Divergent histology in bladder cancer impacts outcomes and genomics.

‼️In 3052 RC patients, UCAH subtypes (plasmacytoid, micropapillary, sarcomatoid) showed worse survival. 

🎯Genomic targets: ERBB2 (micropapillary), FGFR3 (nested/squamous), PTEN (sarcomatoid).
Andrew Bellizzi 🇺🇦 (@ihc_guy) 's Twitter Profile Photo

I'm delighted to share that the recording of Dr. Dabbs' ISIMM Web webinar has been added to our website: isimm.org/2025/07/05/fro… I'm also sharing several #wallhangers from the webinar and a link to the preprint of the HER2 CASI Study (1/2) papers.ssrn.com/sol3/papers.cf…

I'm delighted to share that the recording of Dr. Dabbs'
<a href="/ISIMMweb/">ISIMM Web</a> webinar has been added to our website: isimm.org/2025/07/05/fro…

I'm also sharing several #wallhangers from the webinar and a link to the preprint of the HER2 CASI Study (1/2)

papers.ssrn.com/sol3/papers.cf…
Vikram Deshpande (@vik_deshpandemd) 's Twitter Profile Photo

🚨 Save the Date! 🚨 Join us for Frontiers in Gastrointestinal and Hepatobiliary Pathology 2025, happening September 27–28 at the Klarman Auditorium, BIDMC West Campus, Boston, MA — available in person and virtually! 🧠 Two days of high-impact learning, case-based discussions,

🚨 Save the Date! 🚨
Join us for Frontiers in Gastrointestinal and Hepatobiliary Pathology 2025, happening September 27–28 at the Klarman Auditorium, BIDMC West Campus, Boston, MA — available in person and virtually!
🧠 Two days of high-impact learning, case-based discussions,