C. Christofer Juhlin (@drjuhlin) 's Twitter Profile
C. Christofer Juhlin

@drjuhlin

MD, PhD @ Karolinska, Stockholm, Sweden. Endocrine pathologist and PI. Research involves thyroid cancer, parathyroid neoplasia, adrenal tumors and GEP-NETs.

ID: 34420199

calendar_today22-04-2009 22:17:13

3,3K Tweet

3,3K Followers

978 Following

C. Christofer Juhlin (@drjuhlin) 's Twitter Profile Photo

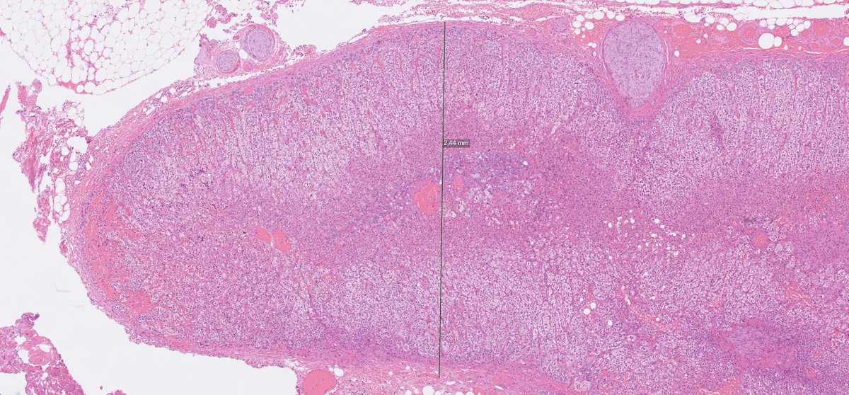
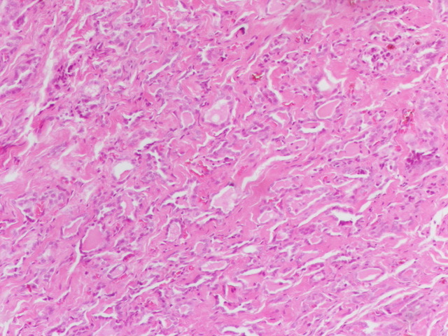
Left-sided adrenalectomy in an adult. Localized mass, non-producing. White cut surface, firm, lobulated, with extraadrenal extension. Histological images in the thread below!

Left-sided adrenalectomy in an adult. Localized mass, non-producing. White cut surface, firm, lobulated, with extraadrenal extension. 

Histological images in the thread below!
C. Christofer Juhlin (@drjuhlin) 's Twitter Profile Photo

One adrenal is from a patient with an endocrine disorder, the other adrenal has normal histology (an innocent bystander removed as part of ambitious surgery for unrelated purposes). Let's hear it in the polls below!

One adrenal is from a patient with an endocrine disorder, the other adrenal has normal histology (an innocent bystander removed as part of ambitious surgery for unrelated purposes). Let's hear it in the polls below!
C. Christofer Juhlin (@drjuhlin) 's Twitter Profile Photo

Multiple aldosterone producing nodules are associated with an increased risk of biochemical recurrence in the contralateral adrenal (top row). This specimen also contained an unrelated ganglioneuroma (bottom row) with typical macroscopic/microscopic features. #endopath #GUpath

Multiple aldosterone producing nodules are associated with an increased risk of biochemical recurrence in the contralateral adrenal (top row). This specimen also contained an unrelated ganglioneuroma (bottom row) with typical macroscopic/microscopic features. #endopath #GUpath
Endocrine Pathology (@endopath) 's Twitter Profile Photo

Oncocytic thyroid tumors are packed with mitochondria, but what do we know about their proteome? Herein, authors link dysregulated mitochondrial proteins - like overexpressed IDH2 - to tumor aggressiveness. And we thought the TCA cycle was a pheo thing! link.springer.com/article/10.100…

Endocrine Pathology (@endopath) 's Twitter Profile Photo

Our journal features two ground-breaking papers in which a molecular link between well-differentiated NETs and high-grade NECs is proposed, arguing that a subset of well-differentiated cases may be at risk of progression! link.springer.com/article/10.100… link.springer.com/article/10.100…

Celina Stayerman MD (@ariella8) 's Twitter Profile Photo

#ENTPath Young male ,mid line neck cystic mass What do you think this tissue is ? And what will I show you in the next post tomorrow?

#ENTPath 
Young male ,mid line neck cystic  mass 
What do you think this  tissue is ?
And what will I show you in the next post tomorrow?
Endocrine Pathology (@endopath) 's Twitter Profile Photo

Small tumors, big surprises! Non-functioning duodenal NETs may look quiet, but their hormone profiles speak volumes. Somatostatin and friends could be key to predicting aggressiveness - turns out, size isn’t everything! Read it now in Endocrine Pathology! link.springer.com/article/10.100…

Pepe Jiménez Heffernan (@pepeheffernan) 's Twitter Profile Photo

CC362. Effusion; in his 70s. No history. We will diagnose without cell details. In general terms, cellularity is a useful, but 2nd-level criterion for diagnosis. Images of "super-cellularity, from a bird's eye view", should make you think immediately of this diagnosis. Part 2⬇️

CC362. Effusion; in his 70s. No history. We will diagnose without cell details. In general terms, cellularity is a useful, but 2nd-level criterion for diagnosis. Images of "super-cellularity, from a bird's eye view", should make you think immediately of this diagnosis. Part 2⬇️
C. Christofer Juhlin (@drjuhlin) 's Twitter Profile Photo

Pathology 🔬 1980 – “Immunohistochemistry will replace you!” 2010 – “Molecular genetics will replace you!” 2020 – “AI will replace you!” 2025 – “This app made by a startup with zero pathologists will replace you!” ”E pur si muove” /Galileo Galilei

Vincenzo Condello (@vincondello) 's Twitter Profile Photo

We're HIRING! If you're passionate about translational research and curious about the molecular secrets of thyroid cancer, well.. this could be your next adventure! Join our group led by C. Christofer Juhlin at Karolinska Institutet and let's have fun together!🔬🇸🇪🇮🇹🧬 ki.varbi.com/en/what:job/jo…

Pepe Jiménez Heffernan (@pepeheffernan) 's Twitter Profile Photo

CC363. In her 80s. Pleural effusion and history of breast Ca. Explaining the obvious is sometimes difficult. “Some things you just can't explain. You don't know where to start. All your sentences would jumble up like a giant knot if you opened your mouth...” Kalyani Bambal Barry McGinn

CC363. In her 80s. Pleural effusion and history of breast Ca. Explaining the obvious is sometimes difficult. “Some things you just can't explain. You don't know where to start. All your sentences would jumble up like a giant knot if you opened your mouth...” <a href="/kriyer68/">Kalyani Bambal</a> <a href="/DrBMcGinn/">Barry McGinn</a>
Endocrine Pathology (@endopath) 's Twitter Profile Photo

🎉 Congratulations to our Editor-in-Chief, Dr. Ozgur Mete, on receiving the 2025 Springer Nature Editorial Contribution Award and Author Service Award! A well-deserved recognition of his leadership, dedication, and service to the endocrine pathology community. 👏🔬🧬

pathCast (@pathologycast) 's Twitter Profile Photo

#ENDOCRINEPATH ADRENAL CHRONICLES: FROM SLIDES TO SEQUENCING ( Dr. C. Christofer Juhlin , Associate Professor of Experimental Pathology, Karolinska Institutet Sweden ) 🗓️ June 11, 2025 - 12:00 PM (ET, NYC) Livestream links : YouTube: youtube.com/@pathCast Facebook: m.facebook.com/pathCast/

#ENDOCRINEPATH ADRENAL CHRONICLES: FROM SLIDES TO SEQUENCING 
( Dr. <a href="/DrJuhlin/">C. Christofer Juhlin</a> , Associate  Professor of Experimental Pathology, <a href="/karolinskainst/">Karolinska Institutet</a> Sweden )
🗓️ June 11, 2025 - 12:00 PM (ET, NYC)

Livestream links : 
YouTube: youtube.com/@pathCast
Facebook: m.facebook.com/pathCast/
Rifat Mannan, MD (@mannanrifat03) 's Twitter Profile Photo

What a fantastic #pathCast session with Dr. C. Christofer Juhlin from Karolinska University on adrenal tumors! He covered everything from histology to molecular updates. YouTube: youtube.com/watch?v=dmEIUz… #Pathology #Adrenal #MedicalEducation #EndocrinePath #MedicalEducation #EndocrinePath

What a fantastic #pathCast session with Dr. <a href="/DrJuhlin/">C. Christofer Juhlin</a> from Karolinska University on adrenal tumors! He covered everything from histology to molecular updates.

YouTube: youtube.com/watch?v=dmEIUz…
#Pathology #Adrenal #MedicalEducation #EndocrinePath

 #MedicalEducation #EndocrinePath
Pepe Jiménez Heffernan (@pepeheffernan) 's Twitter Profile Photo

CC365. Bronchoalveolar lavage. Non-resolving pneumonia in a woman with a history of breast and colon carcinoma. No cell block, but liquid cytology specimen is available if needed. Kalyani Bambal Barry McGinn idlewild

CC365. Bronchoalveolar lavage. Non-resolving pneumonia in a woman with a history of breast and colon carcinoma. No cell block, but liquid cytology specimen is available if needed. <a href="/kriyer68/">Kalyani Bambal</a> <a href="/DrBMcGinn/">Barry McGinn</a> <a href="/goziemnweke/">idlewild</a>
C. Christofer Juhlin (@drjuhlin) 's Twitter Profile Photo

A healthy sign for our subspecialty! The demand for endocrine pathologists keeps growing with advances in diagnostics and molecular markers. Research is essential - and our journal is the ideal platform to showcase it!