Mohammed Barasheed (@drbarasheed) 's Twitter Profile
Mohammed Barasheed

@drbarasheed

Assistant Professor, Department of #Pathology 🔬 #Dermatopathology, #KAU 🇸🇦. #McGill 🇨🇦.

ID: 386586485

calendar_today07-10-2011 14:52:45

599 Tweet

231 Takipçi

210 Takip Edilen

Jerad Gardner, MD (@jmgardnermd) 's Twitter Profile Photo

Cyst from the thigh of a child. Your diagnosis? Answer ✅: youtu.be/APVCziUvL2g?si…. #pathology #pathologists #pathTwitter #dermpath #dermatology #dermatologia #dermtwitter

Cyst from the thigh of a child. Your diagnosis? Answer ✅: youtu.be/APVCziUvL2g?si…. #pathology #pathologists #pathTwitter #dermpath #dermatology #dermatologia #dermtwitter
Jerad Gardner, MD (@jmgardnermd) 's Twitter Profile Photo

Vulvar biopsy. Diagnosis? hint: it's NOT mycosis fungoides! Digital slide🔬 kikoxp.com/posts/17370 Answer ✅ youtu.be/bEaJuxQFHyM?si… #pathology #pathologists #pathTwitter #dermpath #dermatology #GYNpath #dermtwitter

Vulvar biopsy. Diagnosis? hint: it's NOT mycosis fungoides!
Digital slide🔬 kikoxp.com/posts/17370 
Answer ✅ youtu.be/bEaJuxQFHyM?si… 
#pathology #pathologists #pathTwitter #dermpath #dermatology #GYNpath #dermtwitter
Jerad Gardner, MD (@jmgardnermd) 's Twitter Profile Photo

Best example EVER! (It's a #dermpath #dadjoke) Digital slide: kikoxp.com/posts/19127 Answer ✅ youtube.com/watch?v=QoILTs… More cases: kikoxp.com/posts/8614 #pathology #pathologists #pathTwitter #dermatology #dermatologia #dermtwitter

Best example EVER! (It's a #dermpath #dadjoke)
Digital slide: kikoxp.com/posts/19127
Answer ✅ youtube.com/watch?v=QoILTs…
More cases: kikoxp.com/posts/8614
#pathology #pathologists #pathTwitter #dermatology #dermatologia #dermtwitter
Jerad Gardner, MD (@jmgardnermd) 's Twitter Profile Photo

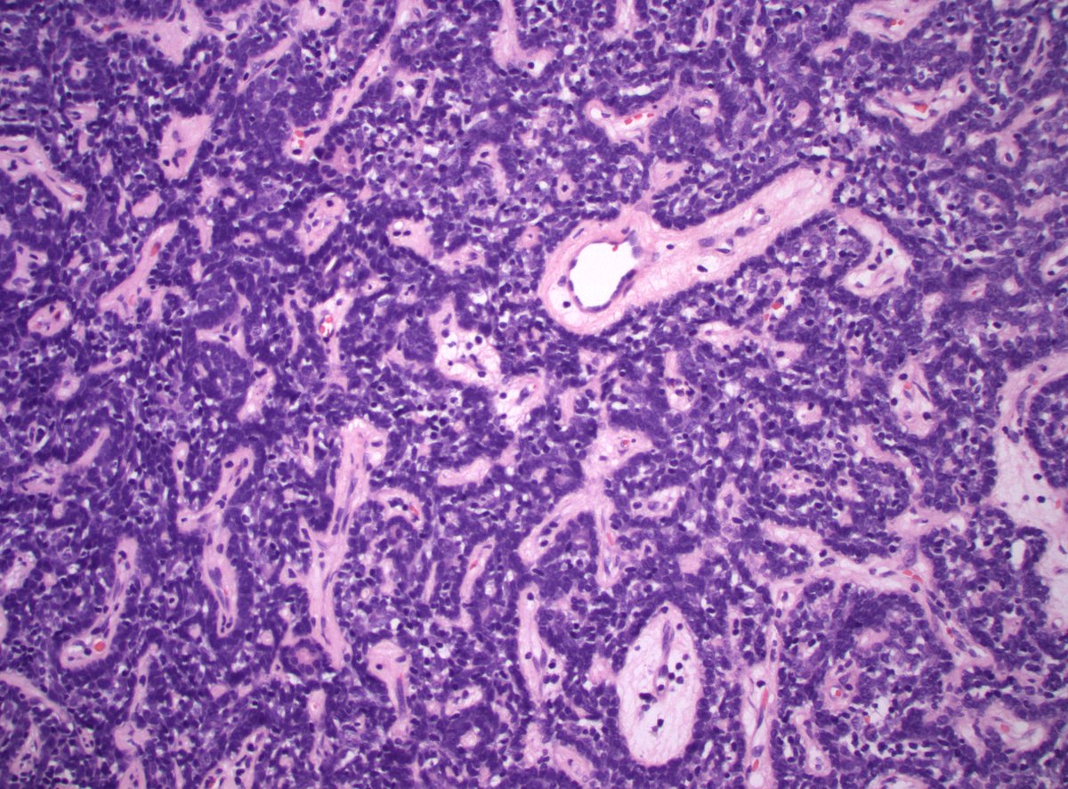
Nasal mucosal mass. Your diagnosis? Answer ✅ youtu.be/aT0PaOrx8xc?si… More pics here: kikoxp.com/posts/5703. Many thanks to Sadiq M Amer, MD for these incredible images! #pathology #pathologists #pathTwitter #dermpath #dermatology #dermatologia #dermtwitter #ENTpath #microbiology

Nasal mucosal mass. Your diagnosis? 
Answer ✅ youtu.be/aT0PaOrx8xc?si… 
More pics here: kikoxp.com/posts/5703. 
Many thanks to <a href="/sadiqamer/">Sadiq M Amer, MD</a> for these incredible images! 
#pathology #pathologists #pathTwitter #dermpath #dermatology #dermatologia #dermtwitter #ENTpath #microbiology
Jerad Gardner, MD (@jmgardnermd) 's Twitter Profile Photo

Yellow-red papule. Forehead of 5yo boy. One pic only. Answer ✅ youtube.com/watch?v=7aso_h… #pathology #pathologists #pathTwitter #dermpath #dermatology #dermatologia #dermtwitter

Yellow-red papule. Forehead of 5yo boy. One pic only.  
Answer ✅ youtube.com/watch?v=7aso_h… 
#pathology #pathologists #pathTwitter #dermpath #dermatology #dermatologia #dermtwitter
Histopathology (@histo_journal) 's Twitter Profile Photo

Primary cutaneous NUT adnexal carcinoma: morphologic, genetic and methylation analysis of seven new cases with comparison to extracutaneous NUT carcinoma and NUTM1‐rearranged porocarcinoma - Legrand - Histopathology - Wiley Online Library #dermpath onlinelibrary.wiley.com/doi/full/10.11…

Jerad Gardner, MD (@jmgardnermd) 's Twitter Profile Photo

Can you make diagnosis from one pic, or is it #TooCloseToDiagnose? Take your time. Look at whole pic carefully. You got this! Answer ✅ youtube.com/watch?v=UnToS3… #pathology #pathologists #pathTwitter #dermpath #dermatology #dermatologia #dermtwitter

Can you make diagnosis from one pic, or is it #TooCloseToDiagnose? 
Take your time. Look at whole pic carefully. You got this! 
Answer ✅ youtube.com/watch?v=UnToS3… 
#pathology #pathologists #pathTwitter #dermpath #dermatology #dermatologia #dermtwitter
Jerad Gardner, MD (@jmgardnermd) 's Twitter Profile Photo

Painful erythematous rash on trunk in elderly patient. Diagnosis? Answer ✅ youtu.be/pDDKogUoJ5Y #pathology #pathologists #pathTwitter #dermpath #dermatology #dermatologia #dermtwitter #usmle

Painful erythematous rash on trunk in elderly patient. Diagnosis? 
Answer ✅ youtu.be/pDDKogUoJ5Y
#pathology #pathologists #pathTwitter #dermpath #dermatology #dermatologia #dermtwitter #usmle
Jerad Gardner, MD (@jmgardnermd) 's Twitter Profile Photo

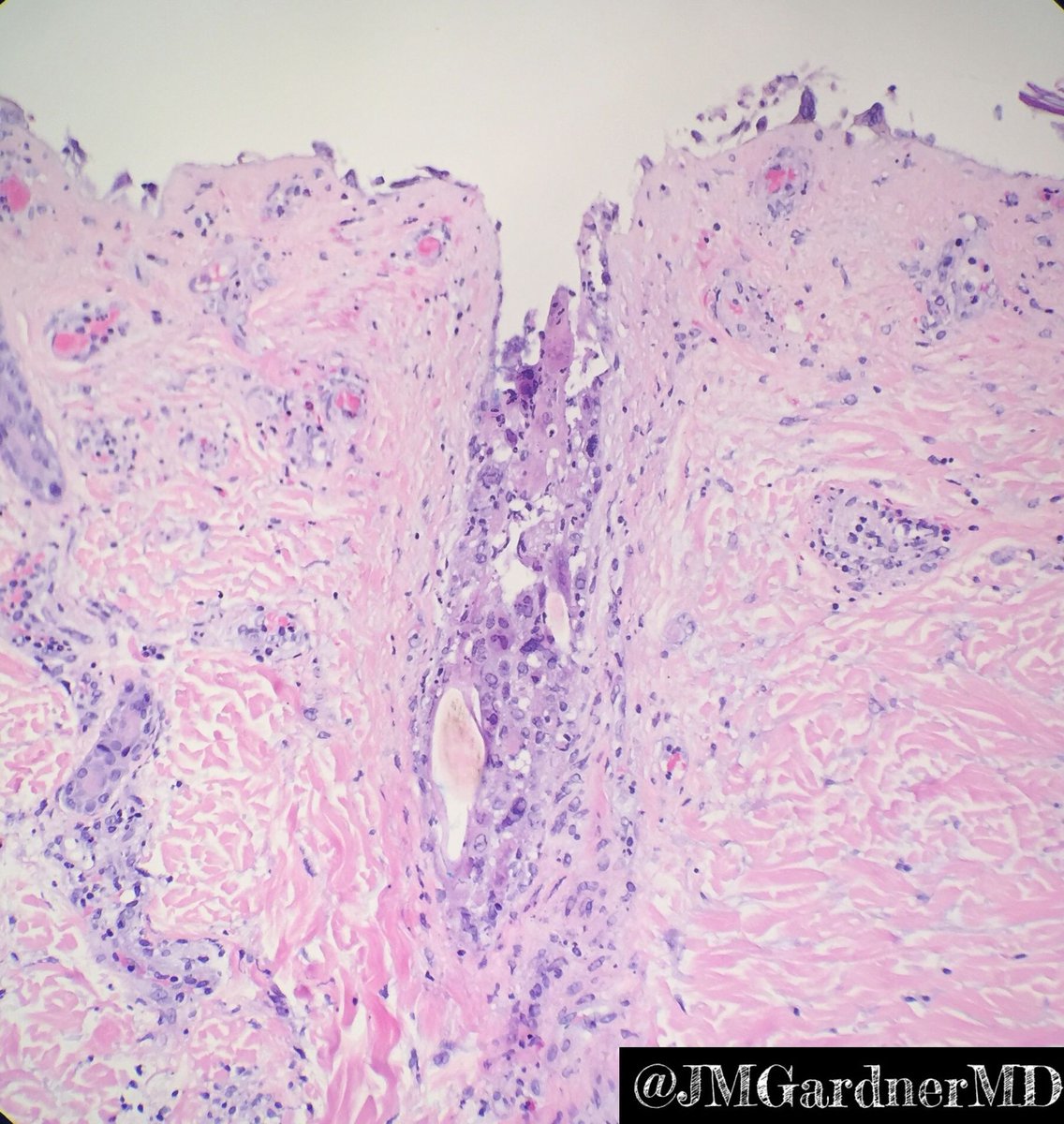
What’s wrong with this hair follicle??? Answer ✅ youtu.be/pDDKogUoJ5Y #pathology #pathologists #pathTwitter #dermpath #dermatology #dermatologia #dermtwitter #usmle

What’s wrong with this hair follicle??? 
Answer ✅ youtu.be/pDDKogUoJ5Y
#pathology #pathologists #pathTwitter #dermpath #dermatology #dermatologia #dermtwitter #usmle
Jerad Gardner, MD (@jmgardnermd) 's Twitter Profile Photo

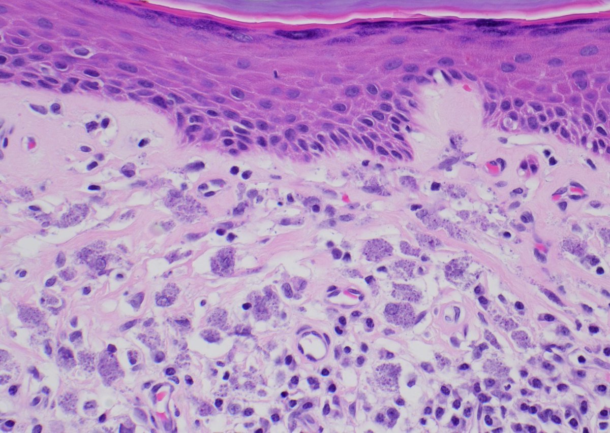
Skin excision. What are the cells in the dermis? What is this patient’s medical history? Answer ✅ youtu.be/a8Dh17320AQ #pathology #pathologists #pathTwitter #dermpath #dermatology #dermatologia #dermtwitter

Skin excision. What are the cells in the dermis? What is this patient’s medical history? 
Answer ✅ youtu.be/a8Dh17320AQ
#pathology #pathologists #pathTwitter #dermpath #dermatology #dermatologia #dermtwitter
واس الأخبار الملكية (@spagov) 's Twitter Profile Photo

سمو #ولي_العهد وفخامة الرئيس الأمريكي في صورة جماعية مع المستثمرين من الجانبين. #منتدى_الاستثمار_السعودي_الأمريكي #SaudiUSForum2025 #واس

سمو #ولي_العهد وفخامة الرئيس الأمريكي في صورة جماعية مع المستثمرين من الجانبين.
#منتدى_الاستثمار_السعودي_الأمريكي
#SaudiUSForum2025
#واس
Jerad Gardner, MD (@jmgardnermd) 's Twitter Profile Photo

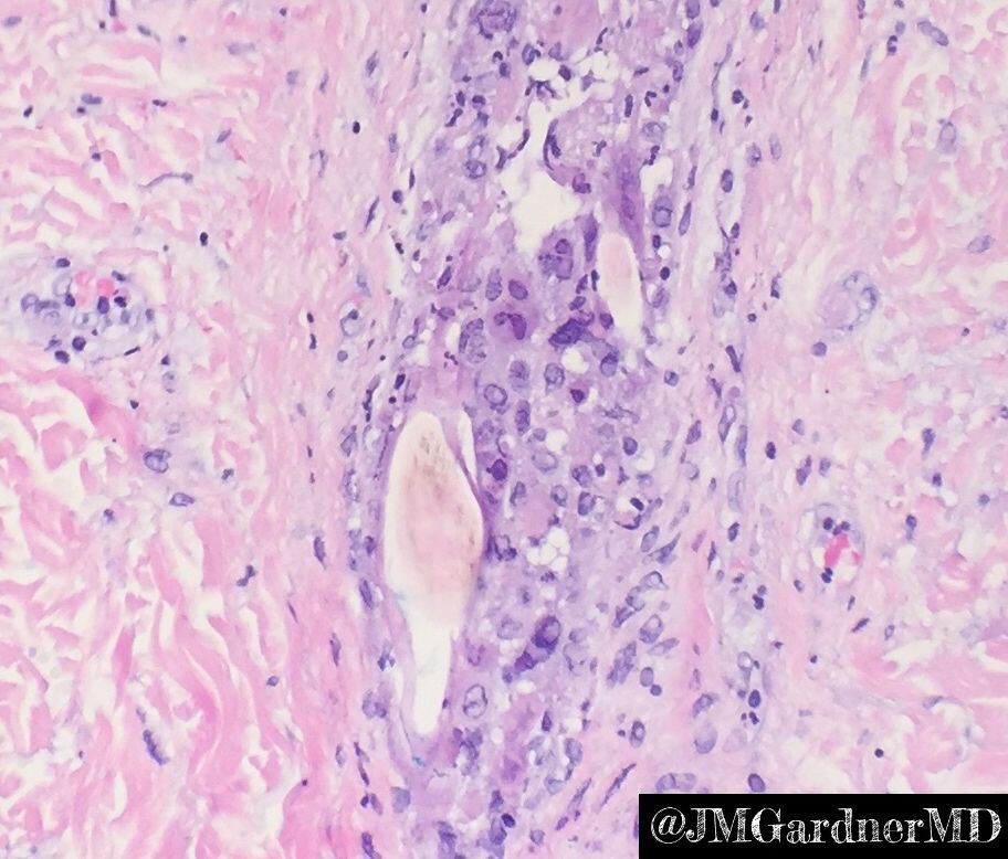
I think that mitosis has a few too many chromosomes! Diagnosis ✅ youtu.be/y9OzN3-OlSU?t=… #pathology #pathologists #pathTwitter #dermpath #dermatology #dermatologia #dermtwitter

I think that mitosis has a few too many chromosomes! 
Diagnosis ✅ youtu.be/y9OzN3-OlSU?t=…
#pathology #pathologists #pathTwitter #dermpath #dermatology #dermatologia #dermtwitter
Jerad Gardner, MD (@jmgardnermd) 's Twitter Profile Photo

60 M solitary verrucous lesion on lower leg. Diagnosis? Answer ✅ youtu.be/T0Z37qo2pww?si… WSI digital slide: kikoxp.com/posts/8159 #pathology #pathologists #pathTwitter #dermpath #dermatology #dermatologia #dermtwitter

60 M solitary verrucous lesion on lower leg. Diagnosis? 
Answer ✅ youtu.be/T0Z37qo2pww?si… 
WSI digital slide: kikoxp.com/posts/8159 
#pathology #pathologists #pathTwitter #dermpath #dermatology #dermatologia #dermtwitter