Ece Tatar Sıdal (@dr_ecets) 's Twitter Profile
Ece Tatar Sıdal

@dr_ecets

ID: 396718840

calendar_today23-10-2011 17:37:08

112 Tweet

119 Followers

450 Following

Ece Tatar Sıdal (@dr_ecets) 's Twitter Profile Photo

Uzun bir yolculuğu tamamladık. Gömülü köpek dişlerini damaktan alıp aynı seans implant ameliyatını tamamladık. İyileşme sonrasında implant üst yapısını CAD-CAM ile planlayıp zirkon alt yapılı protezini ürettik.

Uzun bir yolculuğu tamamladık. Gömülü köpek dişlerini damaktan alıp aynı seans implant ameliyatını tamamladık. İyileşme sonrasında implant üst yapısını CAD-CAM ile planlayıp zirkon alt yapılı protezini ürettik.
Ece Tatar Sıdal (@dr_ecets) 's Twitter Profile Photo

10 emax Lamina Doğal olsun, ‘sahte’ durmasın, herşeyi çiğneyebilsin 😉 10 emax laminate veneers Very Natural, high chewing ability😉 ‘LESS IS MORE’ ✌️ #laminateveneer#emax#estheticdentistry#dentalesthetics#dentaltreatment#lamina

10 emax Lamina
Doğal olsun, ‘sahte’ durmasın, herşeyi çiğneyebilsin 😉

10 emax laminate veneers
Very Natural, high chewing ability😉
‘LESS IS MORE’ ✌️
#laminateveneer#emax#estheticdentistry#dentalesthetics#dentaltreatment#lamina
Ece Tatar Sıdal (@dr_ecets) 's Twitter Profile Photo

Bugünkü #brandweek konuşmacılarından öğrendiğim en önemli şey digital dünyayı ve sosyal medyayı takip etmeyen hiçbir işletmenin geleceği olmayacağı👍 Bazen çok zaman harcasak da bu dünya iş hayatı için vazgeçilmez bir gerçek🌟✨⭐️

Bugünkü #brandweek konuşmacılarından öğrendiğim en önemli şey digital dünyayı ve sosyal medyayı takip etmeyen hiçbir işletmenin geleceği olmayacağı👍 Bazen çok zaman harcasak da bu dünya iş hayatı için vazgeçilmez bir gerçek🌟✨⭐️
Ece Tatar Sıdal (@dr_ecets) 's Twitter Profile Photo

‘Yeterki onursuz olmasın iş’ Hukuk ve etik kavramlarını yaşanmış öykülerle anlatan iş hayatı için çok yararlı olduğunu düşündüğüm bu kitap. Ben bir çırpıda okudum. Şimdi de yeni kitabı ‘Güven’ beni yolculuğumda yalnız bırakmayacak. Ben de Mehpare Sayan KiLECi’yi yalnız bırakmayacağım.

‘Yeterki onursuz olmasın iş’
Hukuk ve etik kavramlarını yaşanmış öykülerle anlatan iş hayatı için çok yararlı olduğunu düşündüğüm bu kitap. Ben bir çırpıda okudum. Şimdi de yeni kitabı ‘Güven’ beni yolculuğumda yalnız bırakmayacak. Ben de <a href="/MehpareKileci/">Mehpare Sayan KiLECi</a>’yi yalnız bırakmayacağım.
Ece Tatar Sıdal (@dr_ecets) 's Twitter Profile Photo

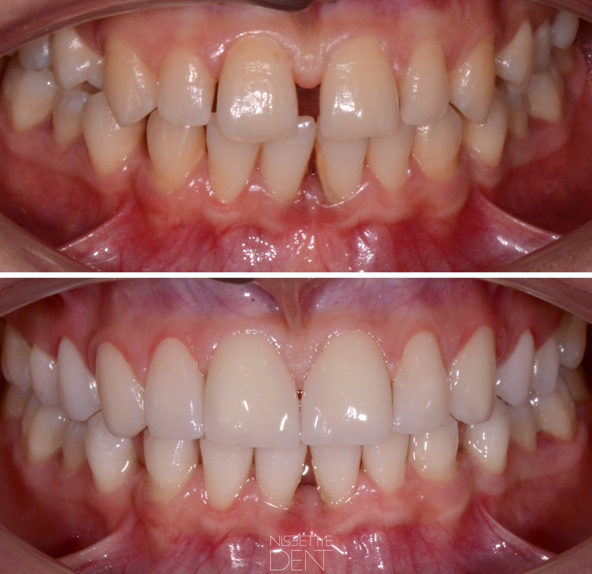
‘Dişler ayrık olunca kısmet de açık olurmuş’ 🤪🤪🤪lafına hiç inanamıyoruz . @ nisbetiyedent #laminates #emax #hollywoodsmile #estheticdentistry 💕✨💕

‘Dişler ayrık olunca kısmet de açık olurmuş’ 🤪🤪🤪lafına hiç inanamıyoruz . @ nisbetiyedent #laminates #emax #hollywoodsmile #estheticdentistry 💕✨💕
Özlem Gürses (@ozlemgurses) 's Twitter Profile Photo

ben okudum, uzun zamandır bu kadar etkilendiğim bir kitap olmamıştı.... kaleminize, aklınıza sağlık hocam, iyi ki varsınız ! ilk röportaj da yakında SÖZCÜ'de... :)

Selcoin (@selcoin) 's Twitter Profile Photo

Dr. Mehmet Öz , Amerikalılara Türklerin elini nasıl yıkadığını anlatıyor. Virüs biraz daha devam ederse abdest almayı da öğreteceğiz sanırım. Turkish twist demiş:)

Ece Tatar Sıdal (@dr_ecets) 's Twitter Profile Photo

Yine buldum kırmızıyı❤️ #art#red# #dental #dentistry #smile #design #instagood #photography #illustration #love #style #photooftheday #beautiful #white #picoftheday

Yine buldum kırmızıyı❤️
#art#red#
#dental #dentistry #smile
#design #instagood #photography #illustration
#love #style #photooftheday #beautiful #white #picoftheday
Ece Tatar Sıdal (@dr_ecets) 's Twitter Profile Photo

2 sene önce dişhekimliğine renk katan, çok sevgili meslektaşım @serdarsıralar ile edad kongresi için bu videoyu hazırlamıştık. Arşivleri karıştırınca yüzyüze görüşmeleri ne kadar özlediğimi anladım.⁠ .⁠ Bi bit artık covid😡⁠ .⁠ #covid_19 #nisbetiyedent⁠ #dental #dentistry

Ece Tatar Sıdal (@dr_ecets) 's Twitter Profile Photo

İnsanlar soğuk demedi, yağmur demedi bu sergi için sıra bekledi. Böyle şeyler içimde kalan umudu besliyor...🙏 . @selimsıdal ile sergi gezmeyi çok seviyorum. Çünkü çok güzel fotograf çeliyor😂Şaka şaka..

Ece Tatar Sıdal (@dr_ecets) 's Twitter Profile Photo

Mükemmellik ayrıntıda gizlidir👍 . #dentist #dentistry #teeth #smile #teethwhitening #disbakimi #implant #disestetigi #saglik #dis #nisbetiyedent #smilemakeover #cosmeticdentistry #dentista #dentists #porcelainveneers #dentistrymyworld #smilemaker

Mükemmellik ayrıntıda gizlidir👍
.
#dentist #dentistry #teeth #smile #teethwhitening #disbakimi #implant #disestetigi #saglik #dis #nisbetiyedent
#smilemakeover #cosmeticdentistry #dentista #dentists #porcelainveneers #dentistrymyworld #smilemaker
Ece Tatar Sıdal (@dr_ecets) 's Twitter Profile Photo

Photos by selim sidal🌲⁠ #travel #love #beautiful #instagood #photooftheday #adventure⁠ #trees #outdoors #landscape #hiking #photography

Photos by <a href="/selimsidal/">selim sidal</a>🌲⁠
#travel #love #beautiful #instagood #photooftheday #adventure⁠
#trees #outdoors #landscape #hiking #photography
Ece Tatar Sıdal (@dr_ecets) 's Twitter Profile Photo

Canlarım 🧿 @selimsıdal . Hep çok bilmiş bakmıyor mu? #çocuk #bebek #baba #love #happy #fun #instagood #kids #baby #anne #family #babaolmak #friends #life #photooftheday #cute

Canlarım 🧿 @selimsıdal
.
Hep çok bilmiş bakmıyor mu?

#çocuk #bebek #baba
#love #happy #fun #instagood #kids #baby
#anne #family #babaolmak
#friends #life #photooftheday #cute