Arun Jagannathan (@dr_ajag) 's Twitter Profile
Arun Jagannathan

@dr_ajag

#Radiologist #Physician #Father focused on minimally invasive image guided procedures. All views are my own. RT is not an endorsement. #IRad #TwittIR

ID: 21034440

linkhttp://ciraradiology.com calendar_today16-02-2009 22:06:04

1,1K Tweet

985 Takipçi

1,1K Takip Edilen

AJ Gunn (@ajgunnmd) 's Twitter Profile Photo

Image-guided ablation by interventional radiology (#IRad), where a thin needle placed through the skin burns the #cancer to death, has similar outcomes to surgery for select patients with liver cancer. This outpatient procedure has fewer complications than #surgery.

Image-guided ablation by interventional radiology (#IRad), where a thin needle placed through the skin burns the #cancer to death, has similar outcomes to surgery for select patients with liver cancer. This outpatient procedure has fewer complications than #surgery.
AJ Gunn (@ajgunnmd) 's Twitter Profile Photo

Grade IV splenic laceration in a hemodynamically-stable patient referred to international radiology for splenic artery embolization. This #IRad procedure reduces the pressure on the injured spleen, preserves flow via collateral vessels, & improves splenic salvage in #trauma.

Grade IV splenic laceration in a hemodynamically-stable patient referred to international radiology for splenic artery embolization. This #IRad procedure reduces the pressure on the injured spleen, preserves flow via collateral vessels, & improves splenic salvage in #trauma.
AJ Gunn (@ajgunnmd) 's Twitter Profile Photo

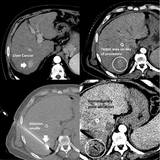
Interventional radiology (#IRad) is an important partner in caring for patients with liver disease, from relieving portal hypertension to opening obstructed bile ducts to killing #cancer. This small #cancer was burned to death via a small needle placed under CT guidance.

Interventional radiology (#IRad) is an important partner in caring for patients with liver disease, from relieving portal hypertension to opening obstructed bile ducts to killing #cancer. This small #cancer was burned to death via a small needle placed under CT guidance.
AJ Gunn (@ajgunnmd) 's Twitter Profile Photo

Calling all #IRad and future #IRad! The SIR Virtual AngioClub is only a week away. We are looking forward to exciting cases and discussion led the St Louis Angio Club You can sign up using the QR code below or this link: bit.ly/3Rr0P2r Help spread the word!

Calling all #IRad and future #IRad! The SIR Virtual AngioClub is only a week away. We are looking forward to exciting cases and discussion led the St Louis Angio Club

You can sign up using the QR code below or this link: bit.ly/3Rr0P2r

Help spread the word!
Dave Johnson (@davejohnsonmd) 's Twitter Profile Photo

Pre-PAE MRI and 3mo post #PAE MRI in a pt with prostate CA: gland volume reduction over 45%! Facilitating decreased toxicity when rad onc planning XRT and improving pt baseline LUTS (1/3)

Pre-PAE MRI and 3mo post #PAE MRI in a pt with prostate CA: gland volume reduction over 45%! Facilitating decreased toxicity when rad onc planning XRT and improving pt baseline LUTS (1/3)
Rich Duszak, MD (@richduszak) 's Twitter Profile Photo

"Physicians are the only health provider group not receiving an inflation adjustment to their Medicare payment rates in 2023." dooz.us/3TbeHie

joseph gemmete (@joeyg132513) 's Twitter Profile Photo

Patient with facial swelling and difficulty breathing. I called in my friends BRK, amplatzer 1, and V18. They helped cross the chronic occlusion. My old confidant the Z-stent then paved the way. Next day, swelling resolved and breathing normal.

Kyle Cooper (@kylecoopermd) 's Twitter Profile Photo

Hot take: there are no uncrossable venous occlusions. Don’t condemn patients to a lifetime of femoral tunneled catheters or debilitating face and arm swelling without referring first to centers with appropriate equipment and experience to get these vessels open. #irad Loma Linda U. Health

Hot take: there are no uncrossable venous occlusions.

Don’t condemn patients to a lifetime of femoral tunneled catheters or debilitating face and arm swelling without referring first to centers with appropriate equipment and experience to get these vessels open. #irad <a href="/LLUHealth/">Loma Linda U. Health</a>
AJ Gunn (@ajgunnmd) 's Twitter Profile Photo

We are two weeks away from the next SIR Virtual AngioClub, happening on Monday, December 12 at 8pm EST. The event will be hosted by the NESIR! You can register here: bit.ly/3u48fzE Make sure to register & help spread the word!

We are two weeks away from the next SIR Virtual AngioClub, happening on Monday, December 12 at 8pm EST. 

The event will be hosted by the <a href="/NESIR1966/">NESIR</a>! 

You can register here: bit.ly/3u48fzE

Make sure to register &amp; help spread the word!
Dr. Glaucomflecken (@dglaucomflecken) 's Twitter Profile Photo

Every physician who sells their practice to private equity is choosing to make health care worse for everybody. I hope the money helps you sleep at night, because you have made life worse for every single patient and employee walking into your PE Daddy’s practice.