DermShow (@dermshow) 's Twitter Profile
DermShow

@dermshow

#DermShow is a free educational community platform for sharing #dermatology #dermatopathology content to enhance your learning. Join, share, & stay informed!

ID: 1928290840545280000

linkhttps://www.instagram.com/dermshow/ calendar_today30-05-2025 03:23:16

16 Tweet

34 Followers

513 Following

Int Soc Dermpath (@intsocdermpath) 's Twitter Profile Photo

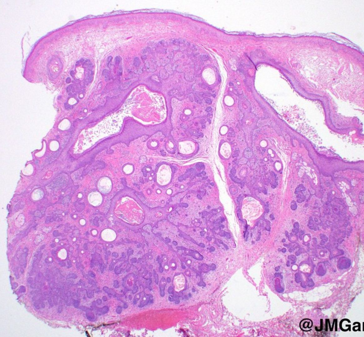
#ISDP #Olympics Spot diagnosis Case 20 - Jose Candido CHROMOBLASTOMYCOSIS •Pigmented (dematiaceous) fungi •Prominent pseudoepitheliomatous hyperplasia •Granulomatous infiltrates with round brownish Medlar bodies resembling copper pennies or coffee beans #path #derm

#ISDP #Olympics 

Spot diagnosis

Case 20 - <a href="/JCandidoXavier/">Jose Candido</a> 

CHROMOBLASTOMYCOSIS

•Pigmented (dematiaceous) fungi
•Prominent pseudoepitheliomatous hyperplasia
•Granulomatous infiltrates with round brownish Medlar bodies resembling copper pennies or coffee beans

#path  #derm
American Journal of Dermatopathology (@ajdp_journal) 's Twitter Profile Photo

#WhatsNewInDermpath "Conceptual contextualization of neutrophilic dermatoses" by Ángel Fernández Flores journals.lww.com/amjdermatopath… This article discusses neutrophilic dermatoses & describes the connection b/w neutrophilic dermatoses, autoinflammatory diseases, & autoimmune diseases.

#WhatsNewInDermpath

"Conceptual contextualization of neutrophilic dermatoses" by <a href="/ngelFernndezFl1/">Ángel Fernández Flores</a>
journals.lww.com/amjdermatopath…
This article discusses neutrophilic dermatoses &amp; describes the connection b/w neutrophilic dermatoses, autoinflammatory diseases, &amp; autoimmune diseases.
American Society of Dermatopathology (@asdptweets) 's Twitter Profile Photo

Make the Dx: ASDP May Case Study 54-year-old Man with a Painful Nodule on the Left Zygomatic Arch.... Learn more at asdpcasestudy.secure-platform.com/site/gallery/r… #asdpcasestudy; #dermatopathology; #dermpath

Make the Dx: ASDP May Case Study
54-year-old Man with a Painful Nodule on the Left Zygomatic Arch....
Learn more at asdpcasestudy.secure-platform.com/site/gallery/r…
#asdpcasestudy; #dermatopathology; #dermpath
Jerad Gardner, MD (@jmgardnermd) 's Twitter Profile Photo

A #dermpath classic! Your diagnosis? Answer ✅ youtube.com/watch?v=wQlreS… More pics: kikoxp.com/posts/8476 #pathology #pathologists #pathTwitter #dermatology #dermatologia #dermtwitter

A #dermpath classic! Your diagnosis? 
Answer ✅  youtube.com/watch?v=wQlreS… 
More pics: kikoxp.com/posts/8476
#pathology #pathologists #pathTwitter #dermatology #dermatologia #dermtwitter
JAMA Dermatology (@jamaderm) 's Twitter Profile Photo

This case report describes a woman in her 60s with hypertrophy of dorsal tongue papillae in a honeycomb pattern along with papillomatous growth of the gingiva. ja.ma/3SD4XQ7

This case report describes a woman in her 60s with hypertrophy of dorsal tongue papillae in a honeycomb pattern along with papillomatous growth of the gingiva. ja.ma/3SD4XQ7
Jerad Gardner, MD (@jmgardnermd) 's Twitter Profile Photo

40 yo man with periungual papule on finger. CD34+. Diagnosis? Any other IHC/molecular you want? Answer: youtube.com/watch?v=5lcGl2… Digital slide: kikoxp.com/posts/4601 #pathology #pathologists #pathTwitter #dermpath #dermatology #dermatologia #dermtwitter #bstpath

40 yo man with periungual papule on finger. CD34+. Diagnosis? 
Any other IHC/molecular you want? 
Answer: youtube.com/watch?v=5lcGl2…
Digital slide: kikoxp.com/posts/4601
#pathology #pathologists #pathTwitter #dermpath #dermatology #dermatologia #dermtwitter #bstpath
Jay Hwang (@path4people) 's Twitter Profile Photo

👄 All right, yesterday, I talked about acinic cell carcinoma. 🤔Well...how about this one 👄 45 y/o M with parotid mass Photo Credit: Jessica Lawson, MD #pathx #cytopath #ent #hemeonc #pathtwitter

👄 All right, yesterday, I talked about acinic cell carcinoma.

🤔Well...how about this one

👄 45 y/o M with parotid mass

Photo Credit: Jessica Lawson, MD

#pathx #cytopath #ent #hemeonc #pathtwitter
Jerad Gardner, MD (@jmgardnermd) 's Twitter Profile Photo

That feeling when you took on more projects than you have time for and all the deadlines are past due… 😱😅 Diagnosis? Answer ✅ youtu.be/248j6YXOy6o #pathology #pathologists #pathTwitter #dermpath #dermatology #dermatologia #dermtwitter

That feeling when you took on more projects than  you have time for and all the deadlines are past due… 😱😅
Diagnosis? Answer ✅ youtu.be/248j6YXOy6o
#pathology #pathologists #pathTwitter #dermpath #dermatology #dermatologia #dermtwitter
CAP Advocacy (@capdcadvocacy) 's Twitter Profile Photo

Attention all pathology practice leaders, the deadline for the 2025 Practice Leader survey has been extended until June 30! If you are in a leadership or admin role, share insights from your pathology practice in the 2025 Practice Leader survey.  Only one response is needed per

Attention all pathology practice leaders, the deadline for the 2025 Practice Leader survey has been extended until June 30!

If you are in a leadership or admin role, share insights from your pathology practice in the 2025 Practice Leader survey.  Only one response is needed per
American Board of Pathology (@theabpath) 's Twitter Profile Photo

Our 2024 Annual Report is now available! 📄 Explore program highlights, 2024 exam results, and the incredible contributions of our ABPath volunteers and diplomates. 📘 Read more: bit.ly/3SXa6Tn or abpath.org

The Pathologist (@pathologistmag) 's Twitter Profile Photo

🎨 Pathology meets creativity in Pathology Captures 2025! From agar plates to poetry, see what our incredible community submitted. 🖼️ View the gallery: ow.ly/eRYG50WgSGq More #pathart to come in the weeks ahead! #Pathology #LabLife #MedTwitter #ThePathologist #PathX

🎨 Pathology meets creativity in Pathology Captures 2025!
From agar plates to poetry, see what our incredible community submitted.

🖼️ View the gallery: ow.ly/eRYG50WgSGq

More #pathart to come in the weeks ahead!

#Pathology #LabLife #MedTwitter #ThePathologist #PathX