Dermatopathologie 🇫🇷 (@dermatopathfr) 's Twitter Profile
Dermatopathologie 🇫🇷

@dermatopathfr

Club de dermatopathologie français - Association pour le Développement de la DermatoPathologie (ADDP) #dermpath #francophonepath

ID: 1338075388883443713

linkhttp://dermatopathologie.fr calendar_today13-12-2020 10:56:52

22 Tweet

250 Followers

26 Following

Nicolas Macagno, MD, PhD (@nmacagnomd) 's Twitter Profile Photo

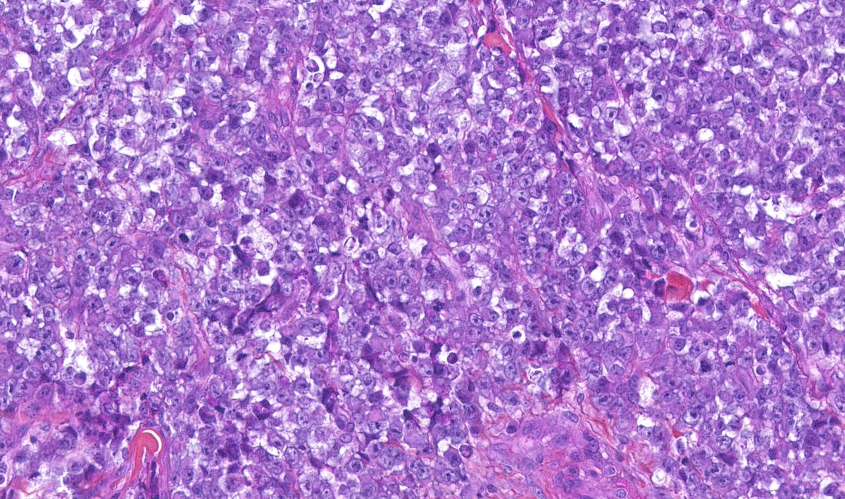
Malignant cutaneous myoepithelioma : ulcerated skin neoplasm - plasmacytoid, epithelioid, spindle & small undifferentiated cytology - chondroid matrix - high mitotic activity (>15.mm2) - geographic necrosis #dermpath #bstpath

Malignant cutaneous myoepithelioma : ulcerated skin neoplasm - plasmacytoid, epithelioid, spindle & small undifferentiated cytology - chondroid matrix - high mitotic activity (>15.mm2) - geographic necrosis #dermpath #bstpath
Dermatopathologie 🇫🇷 (@dermatopathfr) 's Twitter Profile Photo

Assises de pathologie 2021 : inscrivez vous :) --> assisesdepathologie.fr Le thème de cette année est la DERMATOPATHOLOGIE ! 🎉 @BeatriceVergier @battistellamxm Nicolas Macagno, MD, PhD Arnaud de la Fouchardiere MD, PhD Annales de Pathologie #francophonepath #pathtwitter

Assises de pathologie 2021 : inscrivez vous :)
--> assisesdepathologie.fr

Le thème de cette année est la 
DERMATOPATHOLOGIE ! 🎉

@BeatriceVergier @battistellamxm <a href="/NMacagnoMD/">Nicolas Macagno, MD, PhD</a> <a href="/melanopath/">Arnaud de la Fouchardiere MD, PhD</a>  <a href="/Annpathol/">Annales de Pathologie</a>

#francophonepath #pathtwitter
Dermatopathologie 🇫🇷 (@dermatopathfr) 's Twitter Profile Photo

Saviez-vous que le site officiel du Club de Dermatopathologie avait fait peau neuve ? Rendez-vous sur dermatopathologie.fr ! - plus de 600 observations - plus de 1000 images - plus de 20 ans d’archive #francophonepath #pathtwitter #dermpath

Annales de Pathologie (@annpathol) 's Twitter Profile Photo

Les 44es Assises de Pathologie commencent demain ! …isesdepathologie.mon-salon-virtuel.fr #AssisesPathologie2021 #Pathology #congress #francophonepath

Dermatopathologie 🇫🇷 (@dermatopathfr) 's Twitter Profile Photo

Le club de Dermatopathologie des Assises 2021 c’est dans 10 minutes! N’oubliez pas de vérifier vos mails pour obtenir le lien ZOOM ! A tout de suite 😁 #assisespathologie2021 #francophonepath

Le club de Dermatopathologie des Assises 2021 c’est dans 10 minutes! 

N’oubliez pas de vérifier vos mails pour obtenir le lien ZOOM !

A tout de suite 😁

#assisespathologie2021 #francophonepath
Dermatopathologie 🇫🇷 (@dermatopathfr) 's Twitter Profile Photo

✌️ Le replay video du club de dermatopathologie est en ligne pour nos chers adhérents dans la rubrique ressources pédagogiques ! dermatopathologie.fr

✌️ Le replay video du club de dermatopathologie est en ligne pour nos chers adhérents dans la rubrique ressources pédagogiques !

dermatopathologie.fr
Dermatopathologie 🇫🇷 (@dermatopathfr) 's Twitter Profile Photo

Mastocytose cutanée Anecdote : saviez-vous que la mastocytose était la tumeur cutanée la plus fréquente chez le chien ? #francophonepath #dermpath

Mastocytose cutanée

Anecdote : saviez-vous que la mastocytose était la tumeur cutanée la plus fréquente chez le chien ? 

#francophonepath #dermpath
Dermatopathologie 🇫🇷 (@dermatopathfr) 's Twitter Profile Photo

Prêts pour le Virtual AFB meeting ce vendredi !? Au menu : plusieurs dizaines de cas incroyables en pathologie cutanée !! Vous pouvez commencer à télécharger les lames virtuelles dès maintenant sur le site du Club de Dermatopathologie dermatopathologie.fr/virtual-afb-me…

Prêts pour le Virtual AFB meeting ce vendredi !?

Au menu : plusieurs dizaines de cas incroyables en pathologie cutanée !!

Vous pouvez commencer à télécharger les lames virtuelles dès maintenant sur le site du Club de Dermatopathologie  

dermatopathologie.fr/virtual-afb-me…
Société Française de Dermatologie (@sfdermatologie) 's Twitter Profile Photo

💡4 Saisons de la Dermatologie - Format hybride - Jeudi 21 octobre 2021 de 9h30 à 13h. 😃Ouverte à tous les dermatologues en présentiel à la Maison de la RATP (190 places disponibles) ou en virtuel sur une plateforme sécurisée. 👉Infos et inscriptions : bit.ly/newsletter-qsd…