Dennis P. O'Malley, MD (@dennisomalleymd) 's Twitter Profile
Dennis P. O'Malley, MD

@dennisomalleymd

Hematopathologist @NeoGenomics, Adjunct Associate Professor at MD Anderson Cancer Center/University of Texas.

ID: 963141039224573952

calendar_today12-02-2018 20:01:32

1,1K Tweet

2,2K Takipçi

115 Takip Edilen

Dennis P. O'Malley, MD (@dennisomalleymd) 's Twitter Profile Photo

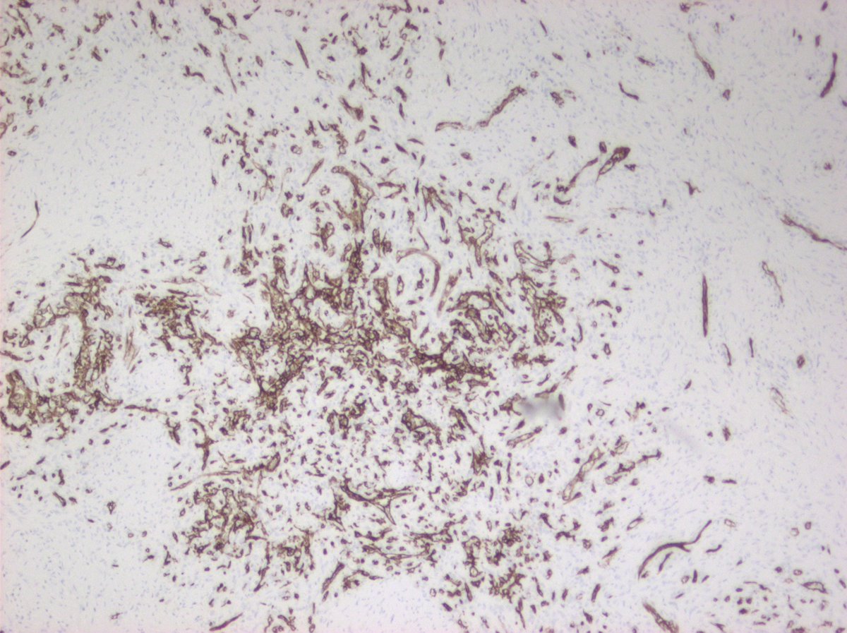
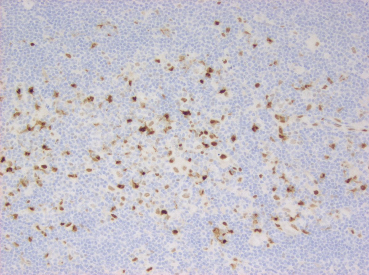
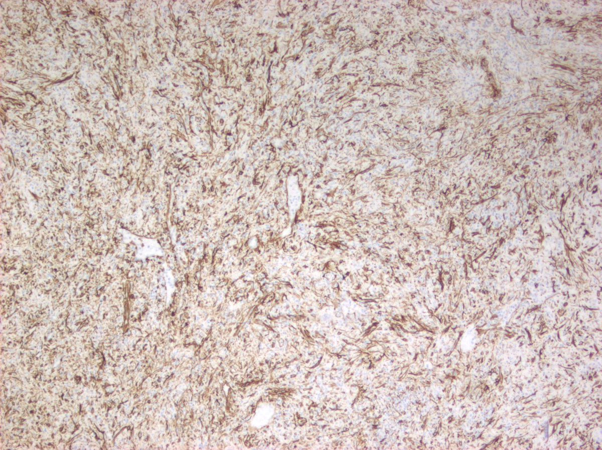
#hemepath #spleen this is a CD34 stain of an entity I propose called "medusoid nodular hemangioma" of spleen. Seen a handful of these - they look like SANT, but have this finding

#hemepath #spleen this is a CD34 stain of an entity I propose called "medusoid nodular hemangioma" of spleen. Seen a handful of these - they look like SANT, but have this finding
Dennis P. O'Malley, MD (@dennisomalleymd) 's Twitter Profile Photo

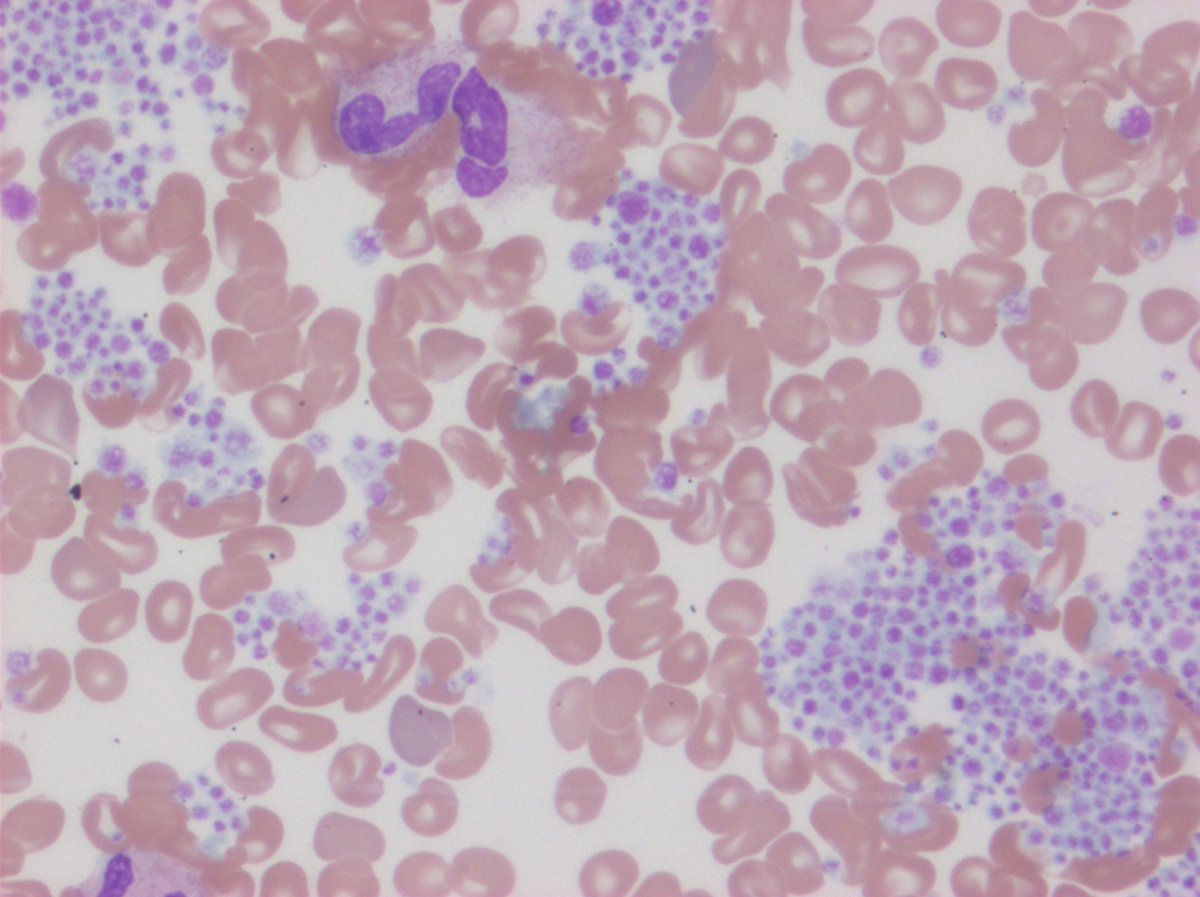
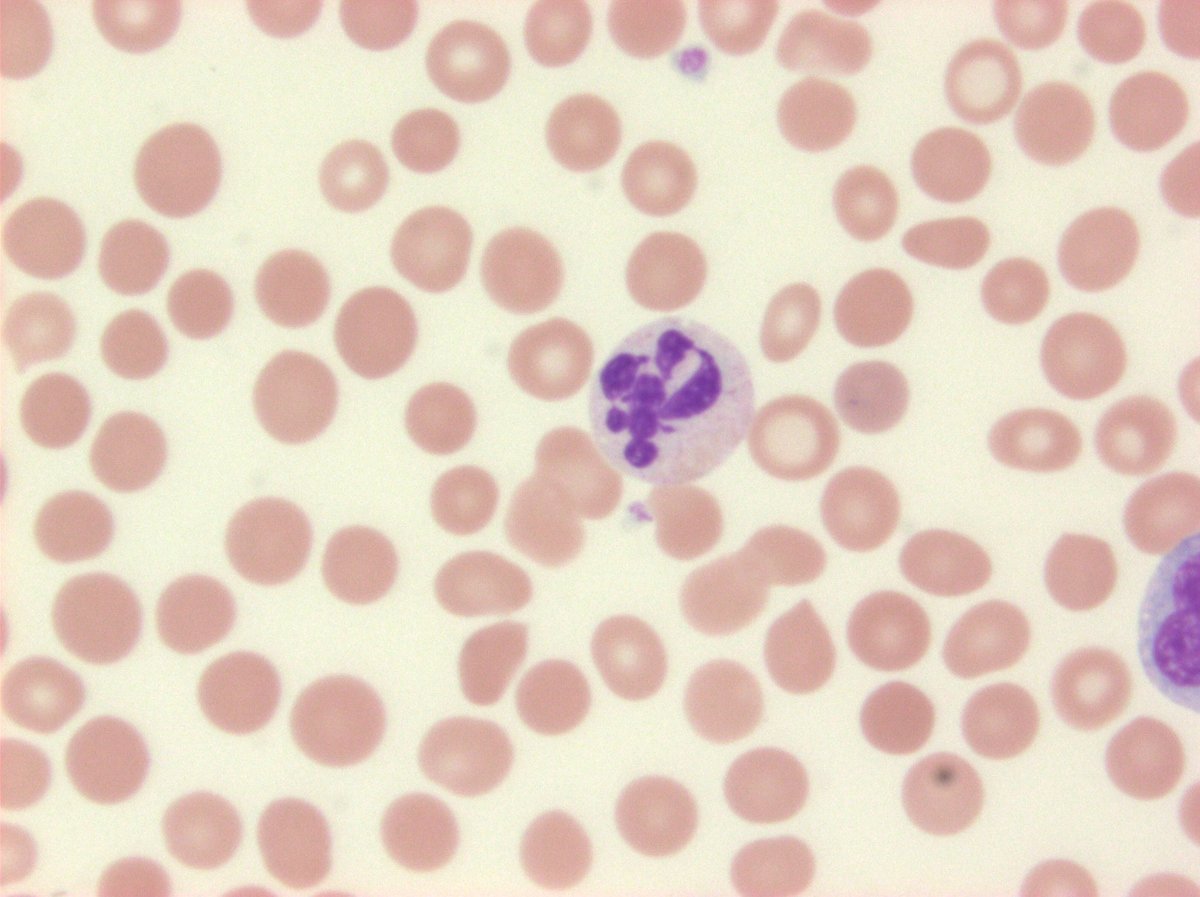
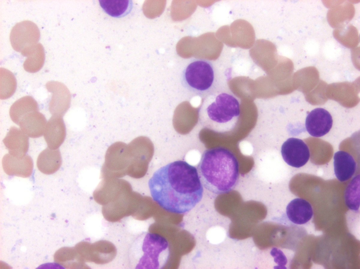
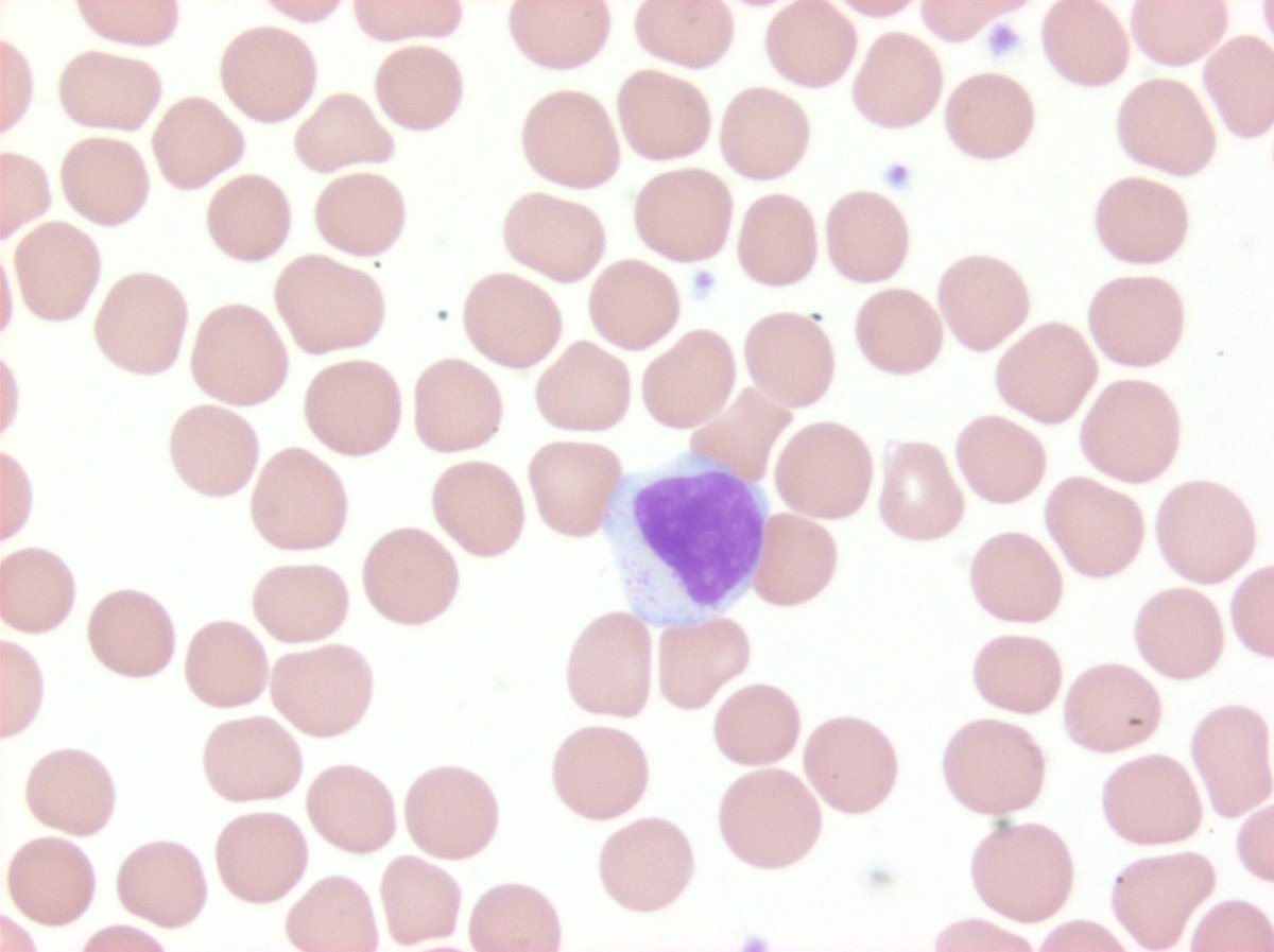
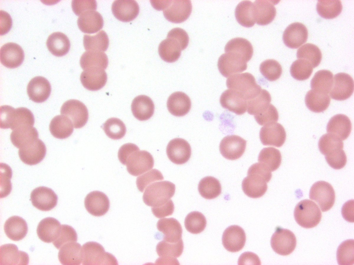
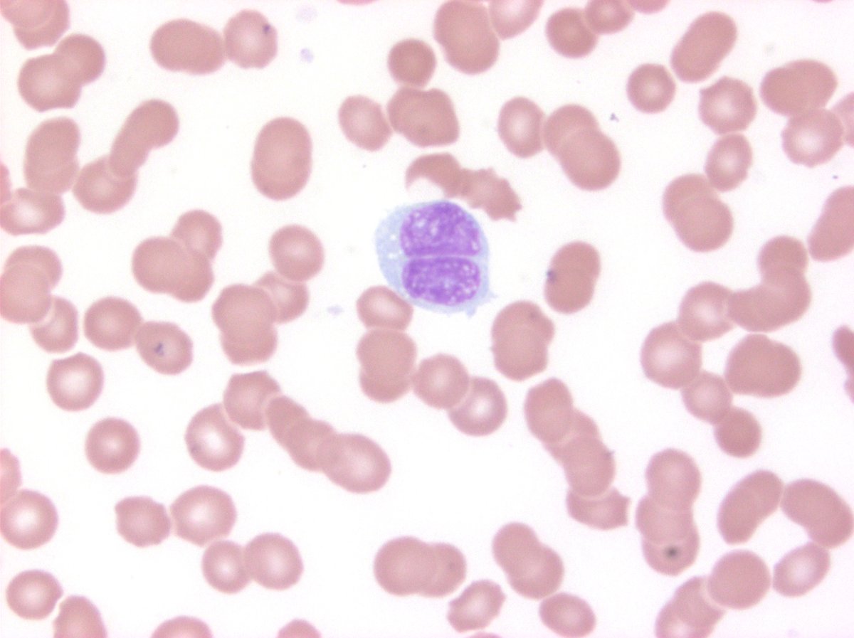
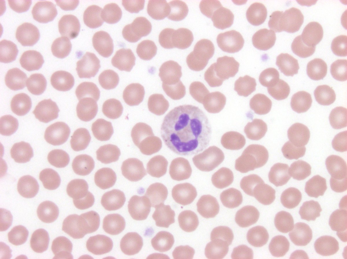
Some shots of hairy cell leukemia-variant, from my colleague Ants. CD103+, CD11c+; negative CD25. No BRAF. Positive TP53 mutation #hemepath

Some shots of hairy cell leukemia-variant, from my colleague Ants. CD103+, CD11c+; negative CD25. No BRAF. Positive TP53 mutation #hemepath