Yacob Bizuneh (@jacobbizuneh) 's Twitter Profile
Yacob Bizuneh

@jacobbizuneh

Behind every patient's story is a thrilling microscopic world, waiting to be explored by those who understand the language of cells!
AAMC ID:16122402

ID: 1457188941430509574

calendar_today07-11-2021 03:31:49

194 Tweet

324 Followers

1,1K Following

Elizabeth Montgomery, MD (@lizmontgomerymd) 's Twitter Profile Photo

When inflammatory myofibroblastic tumor (IMT) extends into the submucosa and mucosa, it can mimic a gastrointestinal tract schwannoma because of its cuff of lymphoid aggregates. Generally, IMTs are located in the mesentery and schwannomas in the muscularis propria. #UMiamiPath

When inflammatory myofibroblastic tumor (IMT) extends into the submucosa and mucosa, it can mimic a gastrointestinal tract schwannoma because of its cuff of lymphoid aggregates.  Generally, IMTs are located in the mesentery and schwannomas in the muscularis propria. #UMiamiPath
Silvija Gottesman MD (@sgottesmanmd) 's Twitter Profile Photo

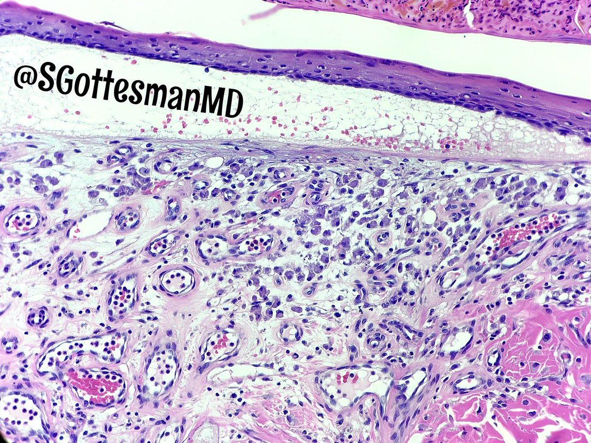
Lavender granular histiocytes also known as Aluminum Chloride Histiocytes 🪁 A really nice proof that this is the site of previous biopsy 🪁can be highlighted with PAS stain 🪁our paper with Junkins-Hopkins pubmed.ncbi.nlm.nih.gov/28875554/ #reallifedermpath #dermpath #pathology

Lavender granular histiocytes also known as Aluminum Chloride Histiocytes 
🪁 A really nice proof that this is the site of previous biopsy 
🪁can be highlighted with PAS stain 
🪁our paper with <a href="/JakkiPath/">Junkins-Hopkins</a> pubmed.ncbi.nlm.nih.gov/28875554/
#reallifedermpath #dermpath #pathology
UMiami Pathology (@umiamipathology) 's Twitter Profile Photo

Esophageal inflammatory fibroid polyps are rare and benign. They are generally submucosal-based but this one extended into the lamina propria. PMID: 39259144

Esophageal inflammatory fibroid polyps are rare and benign. They are generally submucosal-based but this one extended into the lamina propria. PMID: 39259144
Raza Hoda MD (@razahoda) 's Twitter Profile Photo

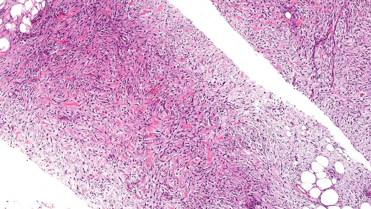
Let’s review some spindle cell breast lesions this week Case of Nodular Fasciitis (NF) 🔬 NF is a self-limited pseudosarcomatous benign neoplasm mimics malignant spindle cell lesions and harbors USP6 gene fusion. NF rarely involves the breast. #PathTwitter #PathX #breastpath

Let’s review some spindle cell breast lesions this week

Case of Nodular Fasciitis (NF) 🔬

NF is a self-limited pseudosarcomatous benign neoplasm mimics malignant spindle cell lesions and harbors USP6 gene fusion. NF rarely involves the breast.

#PathTwitter #PathX #breastpath
Vanda Torous MD (@vandatorousmd) 's Twitter Profile Photo

Cervical Pap w/ characteristic IUD effect 👉Glandular cells w/ vacuolated cytoplasm & w/ increased N:C (nucleoli a helpful benign feature) 👉Sometimes can see intracytoplasmic neuts so beware not to overinterpret as a glandular lesion in pts w/ IUDs #CytoPath #PathTwitter

Cervical Pap w/ characteristic IUD effect 

👉Glandular cells w/ vacuolated cytoplasm &amp; w/ increased N:C (nucleoli a helpful benign feature)

👉Sometimes can see intracytoplasmic neuts so beware not to overinterpret as a glandular lesion in pts w/ IUDs

#CytoPath #PathTwitter
Craig Horbinski (@craighorbinski) 's Twitter Profile Photo

This might LOOK like a metastatic mucinous adenocarcinoma, but it's actually a #glioblastoma. These tumors can be very tricky under the microscope. #pathology #neuropath #PathTwitter

This might LOOK like a metastatic mucinous adenocarcinoma, but it's actually a #glioblastoma. These tumors can be very tricky under the microscope. #pathology #neuropath #PathTwitter
Silvija Gottesman MD (@sgottesmanmd) 's Twitter Profile Photo

🔹Melan-A immuno stain of a normal hair follicle highlighting melanocytes that are responsible for color of hair shafts 🔹In #AlopeciaAreata, melanocytes get destroyed by the lymphocytic infiltrate, resulting in hair growing in white (colorless) after treatment #dermpath

🔹Melan-A immuno stain of a normal hair follicle highlighting melanocytes that are responsible for color of hair shafts
🔹In #AlopeciaAreata, melanocytes get destroyed by the lymphocytic infiltrate, resulting in hair growing in white (colorless) after treatment 

#dermpath
UMiami Pathology (@umiamipathology) 's Twitter Profile Photo

This classic Peutz-Jeghers polyp of the duodenum shows cords of smooth muscle that partition off zones of site specific mucosa. Detecting even a single such polyp can indicate that a patient has this cancer syndrome. PMID: 17667545.

This classic Peutz-Jeghers polyp of the duodenum shows cords of smooth muscle that partition off zones of site specific mucosa.  Detecting even a single such polyp can indicate that a patient has this cancer syndrome.
PMID: 17667545.
Wondweson64 Alemu (@_wondweson64) 's Twitter Profile Photo

[Primary Biliary Cholangitis] ❶ Autoimmune, 85% 👩 ❷ TRIADS: Cholestasis | Circulating Anitmitochondrial antibodies (+95%) | Nonsupurative destructive cholangitis ❸ 🩺: Fatigue, pruritis, jaundice ❹ 💊: Ursodeoxycholic acid CAPathologists #Pathresidents #PathX #MedTwitter

[Primary Biliary Cholangitis]
❶ Autoimmune, 85% 👩
❷ TRIADS: Cholestasis | Circulating Anitmitochondrial antibodies (+95%) | Nonsupurative destructive cholangitis
❸ 🩺: Fatigue, pruritis, jaundice
❹ 💊: Ursodeoxycholic acid 
<a href="/Pathologists/">CAPathologists</a> #Pathresidents #PathX #MedTwitter
Fouad Boulos (@fouad_boulos) 's Twitter Profile Photo

Happy Monday everyone! Let's go over case 4 of last week's series of p63 pitfalls. Tomorrow, we will tackle case 5. The diagnosis in this case is adenoid cystic carcinoma (ACC), tubular variant, which lacks the classic cribriform architecture of ACC and instead shows small

Happy Monday everyone!

Let's go over case 4 of last week's series of p63 pitfalls. Tomorrow, we will tackle case 5.

The diagnosis in this case is adenoid cystic carcinoma (ACC), tubular variant, which lacks the classic cribriform architecture of ACC and instead shows small
Yacob Bizuneh (@jacobbizuneh) 's Twitter Profile Photo

Sometimes, words fall short when trying to express the overwhelming joy and gratitude I feel toward God! "Bless the Lord, O my soul! " Psalms 103:1 Grateful beyond words for this opportunity and ready to give my best in this next chapter Penn Path & Lab Medicine #Match2025 #pathmatch2025