Cameron (@cxrctmr) 's Twitter Profile
Cameron

@cxrctmr

Associate Prof ## Cardiothoracic Rad is the best job in the world

ID: 139307984

calendar_today02-05-2010 05:51:38

422 Tweet

123 Takipçi

256 Takip Edilen

Cameron (@cxrctmr) 's Twitter Profile Photo

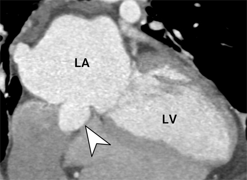
Few weeks ago I showed an acute MI on CT during lecture. Said they would probably not see this again depending on where they go Well you know how that goes, shortly after this pops up!!🫠 STEMI ➡️ Low attenuation (lack of perfusion) of the inferolateral LV wall and papillary mm

Few weeks ago I showed an acute MI on CT during lecture. Said they would probably not see this again depending on where they go

Well you know how that goes, shortly after this pops up!!🫠

STEMI ➡️ Low attenuation (lack of perfusion) of the inferolateral LV wall and papillary mm
Cameron (@cxrctmr) 's Twitter Profile Photo

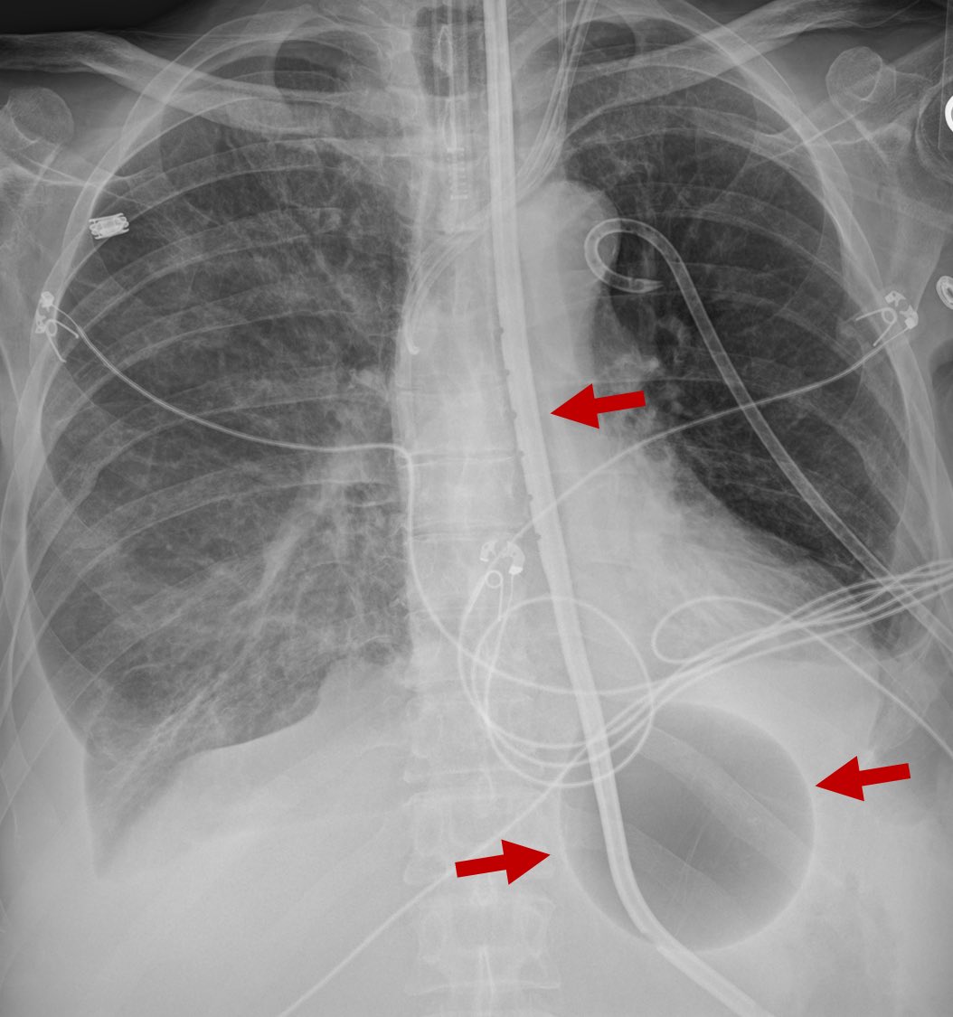
This is a blakemore tube. A sengstaken-blakemore tube. It’s used to tamponade UGI hemorrhage due to varices in emergency situations. Notice the large air bubble that’s been insufflated to tamponade those bleeders

This is a blakemore tube. A sengstaken-blakemore tube. 

It’s used to tamponade UGI hemorrhage due to varices in emergency situations. 

Notice the large air bubble that’s been insufflated to tamponade those bleeders
Dr. Filippo Cademartiri (@fcademartiri) 's Twitter Profile Photo

CARDIAC PHOTON COUNTING CT Coronary stent imaging is the most difficult task for CT stents are small, metallic and moving with the heart. Ex.: 768x768 matrix - proximal RCA coronary stent (n. 2 stent overlapping) with 0.2mm/0.1mm. Kernel Bv72. Maximum QIR level 4.

Dr. Longissimus (@drlongissimus) 's Twitter Profile Photo

"I could never do radiology, I can't imagine myself sitting and staring at a screen the whole day" Tom, internist, typing up his 47th Epic note of the day

RadioGraphics (@radiographics) 's Twitter Profile Photo

A systematic approach to cardiac pouchings and outpouchings can help radiologists maximize diagnostic accuracy and guide patient management or further workup. bit.ly/42HCBY3 UCLA Radiology Radiology of USC

A systematic approach to cardiac pouchings and outpouchings can help radiologists maximize diagnostic accuracy and guide patient management or further workup. bit.ly/42HCBY3 <a href="/RadiologyUcla/">UCLA Radiology</a> <a href="/RadiologyUSC/">Radiology of USC</a>