CitoTweet (@cito_tuiter) 's Twitter Profile
CitoTweet

@cito_tuiter

Espacio dedicado a la curiosidad hematológica. Compartir cito diagnósticos, imágenes, casos y comentarios. Citofreaks. Cytolovers. 🇪🇸.

ID: 1517988209703145474

calendar_today23-04-2022 22:06:24

131 Tweet

992 Followers

358 Following

Instituto de Salud Carlos III (ISCIII) (@saludisciii) 's Twitter Profile Photo

📍 Lanzamiento del proyecto ALMA sobre inteligencia artificial y medicina personalizada en enfermedades hematológicas, impulsado por el #ISCIII y @CDTI_innovacion en el marco del #PERTE_SaludDeVanguardia. 📰 Más información en #NoticiasISCIII ➡️ bit.ly/43PQtzI

📍 Lanzamiento del proyecto ALMA sobre inteligencia artificial y medicina personalizada en enfermedades hematológicas, impulsado por el #ISCIII y <a href="/CDTI_innovacion/">@CDTI_innovacion</a> en el marco del #PERTE_SaludDeVanguardia.

📰 Más información en #NoticiasISCIII ➡️ bit.ly/43PQtzI
NEJM (@nejm) 's Twitter Profile Photo

A 63-year-old man with a history of follicular lymphoma presented with 2 weeks of fatigue and 3 days of dyspnea. On physical examination, he had decreased breath sounds at the base of both lungs. 1/3

A 63-year-old man with a history of follicular lymphoma presented with 2 weeks of fatigue and 3 days of dyspnea. On physical examination, he had decreased breath sounds at the base of both lungs. 1/3
𝗡𝗶𝗵𝗮𝗿 𝗗𝗲𝘀𝗮𝗶 MD, DM (@nihardesai7) 's Twitter Profile Photo

β1 = transferrin β2 = β lipoprotein (LDL) Now look at the image again. The albumin is ⤵️, α2 and β are ⤴️ It's either loss (or underproduction) of albumin and an ⤴️ production of lipoproteins and α2 components! Can you join the dots and make the diagnosis? 5/16

β1 = transferrin
β2 = β lipoprotein (LDL)

Now look at the image again. The albumin is ⤵️, α2 and β are ⤴️

It's either loss (or underproduction) of albumin and an ⤴️ production of lipoproteins and α2 components!

Can you join the dots and make the diagnosis?

5/16
Benlazar S M A (@smbenlazar) 's Twitter Profile Photo

Plasma cells with Auer-rod-like inclusions in a patient with MGUS and acute myeloid leukaemia with NPM1 mutation |British Journal of Haematology | Wiley Online Library onlinelibrary.wiley.com/doi/full/10.11…

Plasma cells with Auer-rod-like inclusions in a patient with MGUS and acute myeloid leukaemia with NPM1 mutation |British Journal of Haematology | Wiley Online Library onlinelibrary.wiley.com/doi/full/10.11…
Sanam Loghavi, MD صنم لغوی 🔬🧬 (@sanamloghavi) 's Twitter Profile Photo

This mast cell.. very casually releasing its gorgeous granules on the surrounding dysplastic granulocytes I think it’s trying to fight the MDS… 🥷 or maybe it’s just pretending to be good 😈 #hemepath #MDSSM

This mast cell.. very casually releasing its gorgeous granules on the surrounding dysplastic granulocytes
I think it’s trying to fight the MDS… 🥷 or maybe it’s just pretending to be good 😈
#hemepath #MDSSM
Grupo Español de Citología Hematológica (@ghematologica) 's Twitter Profile Photo

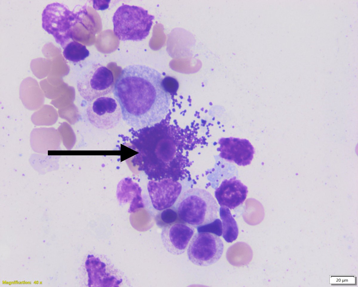
Esta imagen es muy típica de un tipo concreto de leucemia aguda ¿Qué hallazgos no son sugestivos de esta entidad? a. Reacción de mieloperoxidasa muy intensa b. Marcados rasgos de mielodisplasia c. Núcleos en hachazo o partidos d. HLA-DR y CD34 negativos por citometría

Esta imagen es muy típica de un tipo concreto de leucemia aguda ¿Qué hallazgos no son 
sugestivos de esta entidad? 
a. Reacción de mieloperoxidasa muy intensa 
b. Marcados rasgos de mielodisplasia 
c. Núcleos en hachazo o partidos 
d. HLA-DR y CD34 negativos por citometría
Salvador Payán-Pernía 🇵🇸 (@salvadorpayan) 's Twitter Profile Photo

🔴¡ATENCIÓN MADRILEÑOS! El día 19 de junio en el H. Severo Ochoa, de la mano de Sysmex España, hablaremos de hematimetría, de esos parámetros del hemograma que no sabes bien para qué sirven y de cómo utilizarlos en el diagnóstico de la #anemia. ¡No faltéis!

🔴¡ATENCIÓN MADRILEÑOS! El día 19 de junio en el H. Severo Ochoa, de la mano de <a href="/Sysmex_Es/">Sysmex España</a>, hablaremos de hematimetría, de esos parámetros del hemograma que no sabes bien para qué sirven y de cómo utilizarlos en el diagnóstico de la #anemia. ¡No faltéis!