
cssigel
@carliesigel
pathologist with mild to moderate atypia
ID: 1052617733874044928
17-10-2018 17:49:59
49 Tweet
193 Followers
108 Following



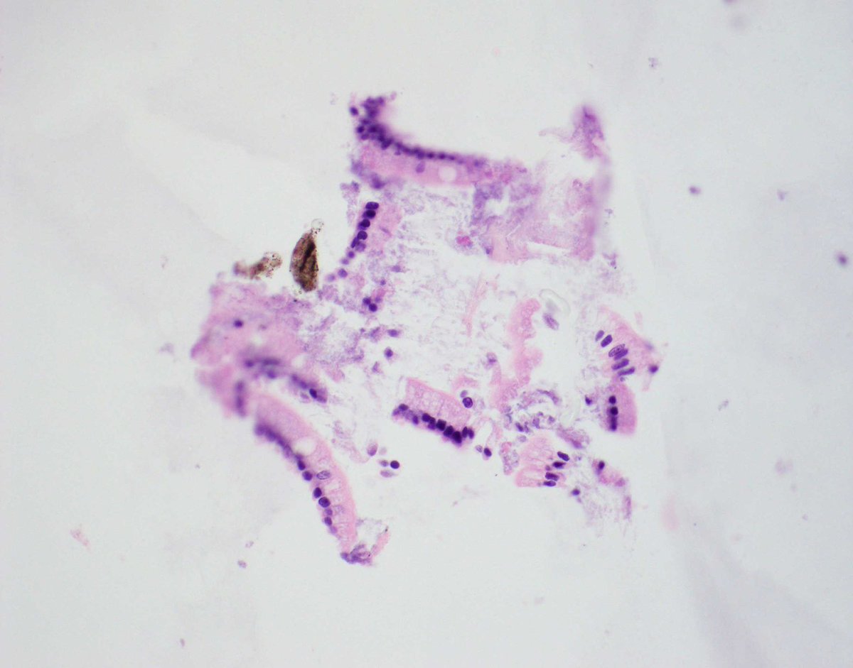
Fluids Friday @ my desk today! Here's a classic: Peritoneal Washing. Diagnosis: Serous Ovarian Borderline Tumor! #PathTwitter #Cytology Taryn Waraksa-Deutsch, DHSc, SCT(ASCP), CMIAC Xiaoyin "Sara" Jiang, MD (She/Her) Momin Siddiqui Syed Z. Ali Patricia Wasserman Jillian @dannyjlubinpath




Visit us at the USCAP2021 Fellowship Fair Sunday 3/14 to learn more about our New Fellowships starting in 2023 - Bone & Soft tissue pathology - Head & Neck pathology MSK Department of Pathology & Laboratory Medicine @NoraKatabi Narasimhan Agaram @RonaldGhossein Meera Hameed Bin Xu Kay J. Park


Got questions about MsK Gi pathology fellowship? I will be available from 3:30-4 pm at the USCAP2021 fellowship fair on 3/14. Melissa Murray @NoraKatabi Kay J. Park #gipath



In taking a moment to reflect on how I have been able to work with so many amazing Cytotechs MSK Department of Pathology & Laboratory Medicine, I feel so lucky! So much talent! Happy Cytotechnology day!


.Mount Sinai Health System Receives NCI Grant to Study Anal Cancer Screening in High-Risk Women Keith Sigel MD Anderson Cancer Center UT Houston_IR #oncology #MedTwitter ow.ly/mAzH50FOrJp

Learn from top notch pathologist. MSKCC Surg Path fellowship opening July 2022 Marina K Baine, MD, PhD MSK Department of Pathology & Laboratory Medicine Samson W. Fine, MD Hikmat Al Ahmadie Kay J. Park Hannah Wen Matthew G Hanna Bin Xu 18 Marc Ladanyi Edi Brogi Jennifer Sauter, MD Natasha Rekhtman MD PhD Narasimhan Agaram



Applications for the 2025-26 MSK Department of Pathology & Laboratory Medicine fellowships are open, including for our GI pathology program where you'll have the opportunity to work with amazing faculty! Olca Basturk, Dr. Laura Tang, Dr. Evi Vakiani, Dr. Amitabh Srivastava, Dr. Jinru Shia, and myself!

#FNAFriday and Free Access! Diagnostic features of low- and high-grade mucinous neoplasms in pancreatic cyst #FNA #cytology acsjournals.onlinelibrary.wiley.com/doi/10.1002/cn… #CytoPath cssigel Weill Cornell Medicine Pathology Rema (Rao) Chaari
