
Rui Caetano Oliveira
@caetano_pathol
Liver/GI/Pancreas/Sarcoma/👁️ Pathologist MD PhD 🐁 models/Translational research #PathoUniverse From Escapães➡️Coimbra➡️World Father of 2(+1) ❤️Manga/Anime
ID: 1451571868130058254
22-10-2021 15:31:29
334 Tweet
658 Followers
254 Following






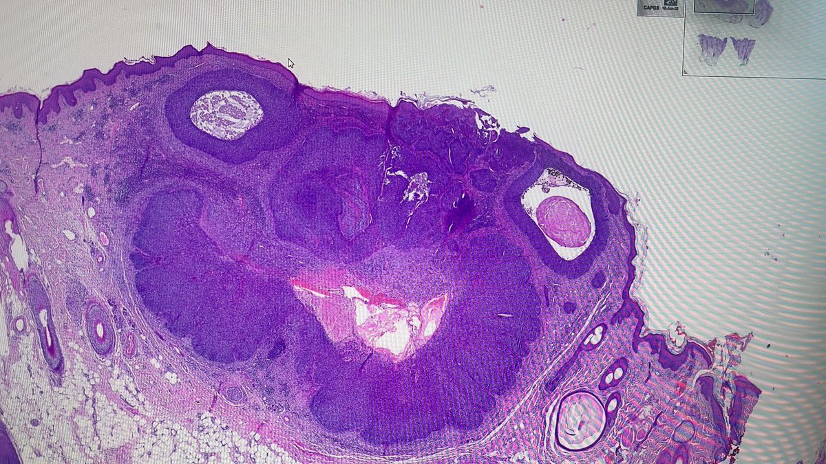
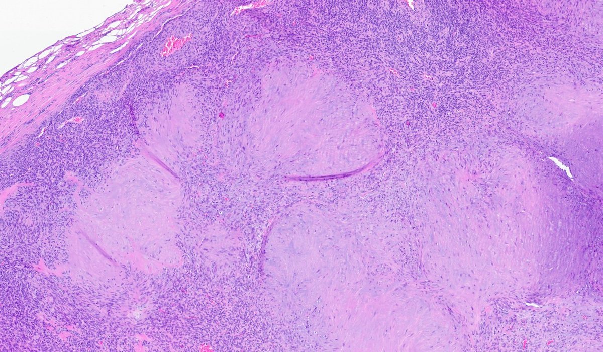
Please find enclosed the schedule for the upcoming IMPERAS Sarcoma session. We look forward to your participation and encourage you to share this invitation with colleagues who may be interested. For the Zoom link feel free to contact us at [email protected].














